Series (4)
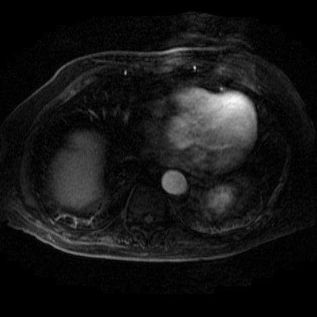
Axial C+ portal venous phase

U Klatskin
Nguồn gốc
Dữ liệu bệnh nhân
Bệnh sử lâm sàng
Vàng da và ngứa.
Chẩn đoán & Phát hiện
- Thấy khối tăng quang dần qua thì cửa và thì muộn tại vị trí nối của ống mật gan phải và gan trái (Klatskin tumor).
- Cholangiogram cho thấy hình khuyết đặc ở vị trí nối ống mật gan phải và gan trái.
- Trường hợp này đã được thực hiện dẫn lưu qua da loại trong – ngoài (internal-external percutaneous drainage).
[DISCUSSION]
- Tăng quang dần qua thì cửa và thì muộn (khoảng 15 phút sau tiêm thuốc cản quang) là đặc điểm của ung thư biểu mô tế bào gan đường mật (cholangiocarcinoma).
Chẩn đoán
U Klatskin (Klatskin tumor)
Chẩn đoán phân biệt
- 1.U cholangiocarcinoma vùng cửa gan
- 2.Viêm đường mật xơ hóa nguyên phát kèm hẹp
- 3.Di căn hạch chèn ép ống mật chủ gan
Điểm giảng dạy
- "U Klatskin là dạng ung thư biểu mô ống mật tại cửa gan, xuất phát tại vị trí nối ống mật gan phải và trái."
- "Đặc điểm hình ảnh điển hình là tăng quang dần và liên tục ở thì cửa và thì muộn trên CT hoặc MRI có tiêm thuốc cản quang."
- "Dẫn lưu mật qua da loại trong–ngoài thường được sử dụng để giảm áp đường mật trong các trường hợp không cắt bỏ được."
Thảo luận
Bài viết liên quan
Ca bệnh liên quan

Distal Cholangiocarcinoma (Ung thư biểu mô tế bào gan đoạn xa)

Biliary Stenting for Lower Common Bile Duct Cholangiocarcinoma (Đặt stent đường mật – ung thư biểu mô ống mật chủ đoạn dưới)

Cholangiocarcinoma (Ung thư tế bào ống mật (Cholangiocarcinoma))

Cholangiocarcinoma with Biliary Obstruction and Portal Vein Invasion (Ung thư đường mật)

Cholangiocarcinoma with Hepatic Metastases and Portal Vein Involvement (Ung thư tế bào gan đường mật)

Cholangiocarcinoma - Mass-Forming Pattern (Ung thư tế bào gan dạng khối – dạng hình thành khối)
Chẩn đoán phân biệt

Choledochal Cyst - Type 4a (Nang ống mật chủ - type 4a)

Pancreatic Adenocarcinoma Presenting with Obstructive Jaundice (Ung thư biểu mô tuyến tụy)
Choledochal Cyst - Type IV (Nang ống mật chủ - type IV)

Choledochal Cyst - Type I (MRCP) (Nang ống mật chủ - type I (MRCP))

Pancreatic Adenocarcinoma with Vascular Encasement (Ung thư biểu mô tuyến tụy)

Hepatic Carcinoid (Ung thư tuyến nội tiết gan)