Series (4)
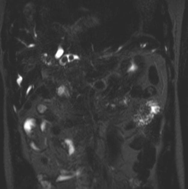
Coronal T2

Nang ống mật chủ - type 4a
Nguồn gốc
Dữ liệu bệnh nhân
Bệnh sử lâm sàng
Đau vùng bụng trên trong 6 tháng qua. Không có tiền sử sốt.
Chẩn đoán & Phát hiện
Gan: Kích thước to, hình dạng, đường bờ, biên độ và vị trí bình thường. Không thấy nang khu trú hay tổn thương chiếm chỗ (SOL) trong nhu mô gan. Các nhánh đường mật trong gan trung tâm và ngoại vi ở cả hai thùy đều giãn. Không thấy tổn thương lấp đầy giảm tín hiệu trên T2W trong lòng mạch. Chỗ nối các ống gan phải (RHD) và ống gan trái (LHD) tạo thành ống gan chung (CHD).
Túi mật: Phình to, thành dày bình thường. Không thấy tổn thương lấp đầy giảm tín hiệu trên T2W trong lòng túi mật. Ống túi mật giãn và thông nối với ống gan chung (CHD) tạo thành ống mật chủ (CBD). Ống túi mật có vẻ giãn.
Ống mật chung: Cả ống gan chung (CHD) và ống mật chủ (CBD) đều giãn dọc theo toàn bộ chiều dài, với đoạn hẹp đột ngột, nhẵn ở phần xa sau khi tạo thành nhú tá tràng (ampulla). Kích thước tối đa của ống mật chung là 14,4 mm. Không thấy tổn thương lấp đầy giảm tín hiệu trên T2W trong lòng ống.
Ống tụy: Ống tụy chính (MPD) và ống tụy phụ hợp lại với nhau rồi cùng nhập vào ống mật chủ (CBD) tạo thành nhú tá tràng (ampulla). MPD có vẻ giãn.
Chẩn đoán
Nang ống mật chủ - type 4a (choledochal cyst - type 4a)
Chẩn đoán phân biệt
- 1.Bệnh Caroli
- 2.Xơ gan bẩm sinh kèm dị dạng tấm ống mật
- 3.Viêm đường mật xơ hóa nguyên phát
Điểm giảng dạy
- "Nang ống mật chủ type 4a bao gồm tình trạng giãn cả ống mật trong gan và ngoài gan."
- "Việc không thấy tổn thương lấp đầy trong lòng ống giúp phân biệt nang ống mật chủ với các nguyên nhân tắc nghẽn như sỏi hay hẹp."
- "Sự liên quan đến tình trạng giãn ống tụy gợi ý dị dạng ống chung, một yếu tố phôi thai quan trọng trong hình thành nang ống mật chủ."
Thảo luận
Bài viết liên quan
Ca bệnh liên quan

Giant Choledochal Cyst (U nang ống mật chủ khổng lồ)

Choledochal Cyst Types (Todani Classification) (Các loại nang ống mật chủ (sơ đồ))
Choledochal Cyst - Type IV (Nang ống mật chủ - type IV)

Cholangiocarcinoma (Ung thư tế bào ống mật (Cholangiocarcinoma))

Choledochal Cyst - Type I (MRCP) (Nang ống mật chủ - type I (MRCP))

Cholangiocarcinoma with Biliary Obstruction and Portal Vein Invasion (Ung thư đường mật)
Chẩn đoán phân biệt

Biliary Stenting for Lower Common Bile Duct Cholangiocarcinoma (Đặt stent đường mật – ung thư biểu mô ống mật chủ đoạn dưới)

Klatskin Tumor (U Klatskin)

Caroli Disease with Medullary Sponge Kidney and Nephrocalcinosis (Bệnh Caroli kèm thận bọt tủy và vôi hóa thận)

Klatskin Tumor (U Klatskin)

Infiltrating Ductal Cholangiocarcinoma (Ung thư biểu mô tế bào gan dạng ống xâm lấn)

Ductal Cholangiocarcinoma (Ung thư biểu mô tế bào gan dạng ống mật (Ductal cholangiocarcinoma))