Thu, Apr 9
AI Trực tuyến
Series (8)
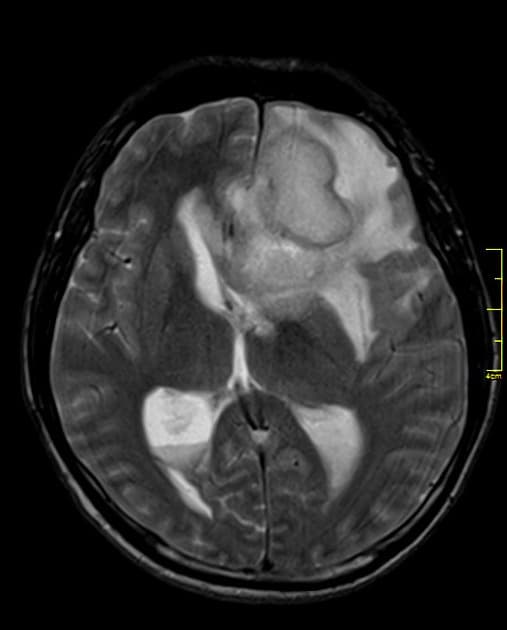
Axial DWI

MRI•Axial DWI•1 / 21
Ca bệnhUng thư phổi di căn lên não
Ung thư phổi di căn lên não
Nguồn gốc
Dữ liệu bệnh nhân
Giới tínhFemale
Bệnh sử lâm sàng
Tiền sử ung thư phổi, gần đây bệnh nhân than phiền đau đầu
Chẩn đoán & Phát hiện
- Nhiều tổn thương bắt thuốc dạng viền (ring-enhancing) rải rác ở cả hai bán cầu đại não (cerebrum) và tiểu não (cerebellum), các tổn thương này có tín hiệu giảm trên hình ảnh T1 WI, tín hiệu trung gian trên FLAIR WI, tăng quang viền sau tiêm thuốc cản quang, không hạn chế khuếch tán (no diffusion restriction), xung quanh các tổn thương có phù vận mạch (vasogenic edema) bao quanh.
- Nhiều tổn thương bắt thuốc dạng viền (ring-enhancing) rải rác ở cả hai bán cầu đại não (cerebrum) và tiểu não (cerebellum), có tín hiệu trung gian trên FLAIR WI, tăng quang viền sau tiêm thuốc cản quang, không hạn chế khuếch tán (no diffusion restriction), được bao quanh bởi phù vận mạch (vasogenic edema).
Chẩn đoán
Ung thư phổi di căn lên não (Metastatic lung cancer to the brain)
Chẩn đoán phân biệt
- 1.Áp xe não
- 2.U nguyên bào thần kinh đệm (glioblastoma) nguyên phát
- 3.U lympho có hoại tử
Điểm giảng dạy
- "Di căn là những khối u nội sọ phổ biến nhất ở người lớn và thường biểu hiện dưới dạng nhiều tổn thương bắt thuốc dạng viền kèm phù vận mạch xung quanh."
- "Ung thư phổi là nguồn nguyên phát phổ biến nhất gây di căn não, đặc biệt là ung thư phổi tế bào nhỏ và ung thư phổi không tế bào nhỏ."
- "Việc không có hạn chế khuếch tán giúp phân biệt di căn với áp xe mủ, vì áp xe thường biểu hiện hạn chế khuếch tán rõ rệt."
Thảo luận
Trường hợp này cho thấy nhiều tổn thương bắt thuốc dạng viền ở cả hai bán cầu đại não và tiểu não trên bệnh nhân có tiền sử ung thư phổi, rất gợi ý về di căn não. Các tổn thương di căn thường xuất hiện như những nốt tròn rõ ràng, tăng quang viền và kèm theo phù vận mạch lan rộng, mức độ phù thường nặng hơn so với kích thước tổn thương. Việc không có hạn chế khuếch tán giúp loại trừ áp xe não do vi khuẩn, trong khi tính chất đa ổ và phân bố rải rác làm tăng khả năng di căn hơn là u nguyên bào thần kinh đệm nguyên phát – thường là tổn thương đơn độc và nằm ở vùng đại não. Mặc dù u lympho có thể biểu hiện dạng tăng quang viền ở bệnh nhân suy giảm miễn dịch, nhưng thường gặp hơn là tăng quang đồng nhất và hạn chế khuếch tán. Chẩn đoán hình ảnh kết hợp với tiền sử bệnh lý đóng vai trò quan trọng trong việc thu hẹp chẩn đoán phân biệt. Chẩn đoán xác định thường cần sinh thiết, nhưng trong bối cảnh đã biết khối u nguyên phát, đặc điểm hình ảnh thường đủ để chẩn đoán.
Bài viết liên quan
Ca bệnh liên quan
Chẩn đoán phân biệt

Intracranial metastases

Cerebral Abscess Following Penetrating Trauma (Áp xe não)

Cerebral Abscess in a Patient with Sickle Cell Anemia (Áp xe não)

Cerebral Radiation Necrosis Following Radiosurgery for Brain Metastasis (Hoại tử não do tia xạ)

Cerebral Abscesses due to Streptococcus intermedius (Áp xe não (cerebral abscesses))

Pyogenic Brain Abscess in Late Capsular Stage (Áp xe não (brain abscess))





