Series (10)
Axial T2

Di căn xuất huyết não
Nguồn gốc
Dữ liệu bệnh nhân
Bệnh sử lâm sàng
Đau đầu. Tiền sử ung thư vú phải, đã điều trị phẫu thuật.
Chẩn đoán & Phát hiện
-
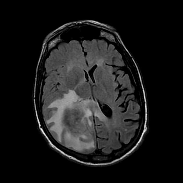
Phát hiện nhiều nốt (nodule) ở nhu mô não vùng đại não (cerebrum) và tiểu não (cerebellum), cả hai bên, trong đó tổn thương lớn nhất nằm ở thùy thái dương phải (temporal lobe), kích thước khoảng 17 × 16 mm.
-
Có phù vận mạch (vasogenic edema) quanh tổn thương. Tổn thương có tín hiệu không đồng nhất (heterogeneous signal intensity): chủ yếu giảm tín hiệu (hypointense) trên hình ảnh T1W, tăng tín hiệu (hyperintense) trên T2W và FLAIR, kèm theo hạn chế khuếch tán nhẹ (mild diffusion restriction).
-
Trên hình ảnh SWI, thấy các vùng giảm tín hiệu (hypointensities) rải rác, tương ứng với tăng tín hiệu trên hình ảnh pha (Phase imaging) – gợi ý xuất huyết (suggestive of haemorrhage).
-
Sau tiêm thuốc cản quang, tổn thương cho thấy tăng quang mạnh, không đồng nhất (strong, heterogeneous enhancement).
-
Thấy dày niêm mạc (mucosal thickening) các xoang cạnh mũi (paranasal sinuses).
-
Có tích tụ dịch (fluid accumulation) hai bên ở xoang hàm (maxillary sinuses) và xoang chũm (mastoid sinuses).
-
Ngoài ra, còn quan sát thấy hố yên rỗng (empty sella) và hốc Verga (cavum vergae).
Chẩn đoán
Di căn xuất huyết não (haemorrhagic brain metastases)
Chẩn đoán phân biệt
- 1.U nguyên bào thần kinh đệm với hoại tử và xuất huyết
- 2.Bệnh mạch amyloid não với các ổ vi xuất huyết
- 3.Áp xe não do nhiễm trùng kèm biến đổi xuất huyết
Điểm giảng dạy
- "Di căn não xuất huyết thường liên quan đến các khối u nguyên phát như u hắc tố, ung thư tế bào thận, ung thư tế bào nuôi, và ung thư vú."
- "Chụp cộng hưởng từ SWI rất nhạy trong việc phát hiện các sản phẩm của máu, hỗ trợ nhận diện các tổn thương di căn xuất huyết."
- "Sự hiện diện của nhiều tổn thương tăng quang kèm phù quanh tổn thương và xuất huyết ở bệnh nhân có khối u nguyên phát đã biết rất gợi ý bệnh lý di căn."
Thảo luận
Bài viết liên quan
Ca bệnh liên quan
Chẩn đoán phân biệt

Intracranial metastases

Cerebral Abscess Following Penetrating Trauma (Áp xe não)

Cerebral Radiation Necrosis Following Radiosurgery for Brain Metastasis (Hoại tử não do tia xạ)

Cerebral Abscesses due to Streptococcus intermedius (Áp xe não (cerebral abscesses))

Pyogenic Brain Abscess in Late Capsular Stage (Áp xe não (brain abscess))

Primary CNS lymphoma in HIV/AIDS patient --- Tiếng Việt --- Lymphoma hệ thần kinh trung ương nguyên phát ở bệnh nhân HIV/AIDS





