Series (12)
Axial non-contrast

Áp xe não (brain abscess)
Nguồn gốc
Dữ liệu bệnh nhân
Bệnh sử lâm sàng
Đau đầu, sốt nhẹ và rối loạn ngôn ngữ Wernicke trong hai tuần.
Tiền sử: viêm tai tái phát. Công thức bạch cầu trong giới hạn bình thường và xét nghiệm HIV âm tính.
Chẩn đoán & Phát hiện
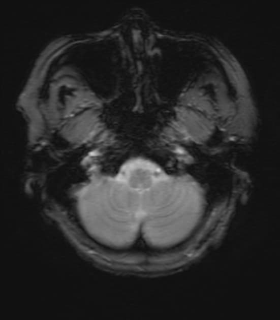
- Tổn thương nội trục dạng tròn với phù vận mạch (vasogenic edema).
- Chụp cộng hưởng từ có tiêm thuốc đối quang cho thấy ngấm thuốc viền (rim enhancement) mỏng, đều, trơn.
- Các mặt cắt bổ sung theo mặt phẳng vành và trục cho thấy không có nốt thành (mural nodule).
- Tổn thương nội trục dạng tròn với phù vận mạch, thành mỏng tăng tín hiệu (hyperintense) ở chuỗi xung T1 và giảm tín hiệu (hypointense) ở T2.
- Chụp cộng hưởng từ sau tiêm gadolinium cho thấy ngấm thuốc viền (rim enhancement).
Chẩn đoán
Áp xe não (brain abscess)
Chẩn đoán phân biệt
- 1.Di căn não với tâm hoại tử
- 2.U thần kinh đệm ác tính thể đa hình
- 3.Áp xe não do lao
Điểm giảng dạy
- "Áp xe não do vi khuẩn mủ ở giai đoạn muộn thường biểu hiện bằng viền ngấm thuốc mỏng, đều và phù vận mạch xung quanh."
- "Việc không có nốt thành giúp phân biệt áp xe với các khối u hoại tử."
- "Tiền sử viêm tai tái phát hỗ trợ cơ chế lan truyền huyết hành của nhiễm trùng lên não."
Thảo luận
Bài viết liên quan
Ca bệnh liên quan

Cerebral Abscess Following Penetrating Trauma (Áp xe não)

Cerebral Abscesses with Ventriculitis (Áp xe não (cerebral abscesses))

Cerebral Abscess in a Patient with Sickle Cell Anemia (Áp xe não)

Cerebral Abscesses due to Streptococcus intermedius (Áp xe não (cerebral abscesses))

Cerebral Abscess with Ventriculitis (Áp xe não kèm viêm não thất)

Cerebral Abscess in the Left Temporal Lobe (Áp xe não)
Chẩn đoán phân biệt

Intracranial metastases

Brain metastases from breast cancer

Cerebellar Abscess (Áp xe tiểu não)

Von Hippel-Lindau Disease with Spinal Hemangioblastoma (Bệnh Von Hippel-Lindau với u mạch bào ở tủy sống)

Cerebral Radiation Necrosis Following Radiosurgery for Brain Metastasis (Hoại tử não do tia xạ)

Haemorrhagic brain metastases