Series (8)
Axial ADC

Khối u thứ phát ở não bắt thuốc dạng viền (ring-enhancing cerebral metastasis)
Nguồn gốc
Bệnh sử lâm sàng
Tiền sử xơ cứng bì (scleroderma)
Chẩn đoán & Phát hiện
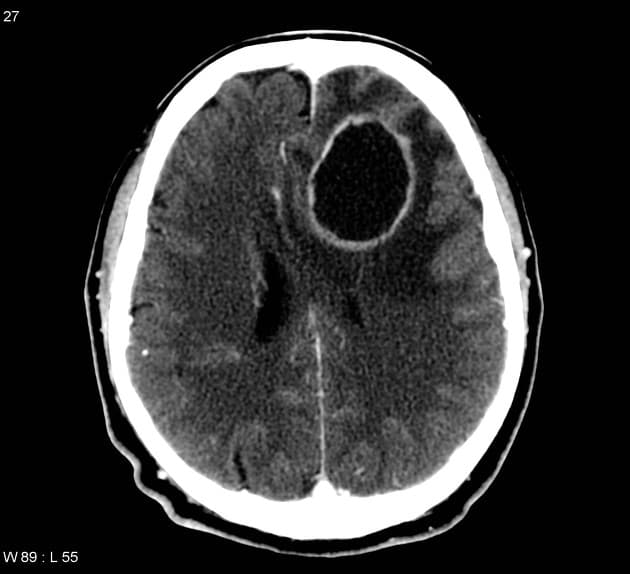
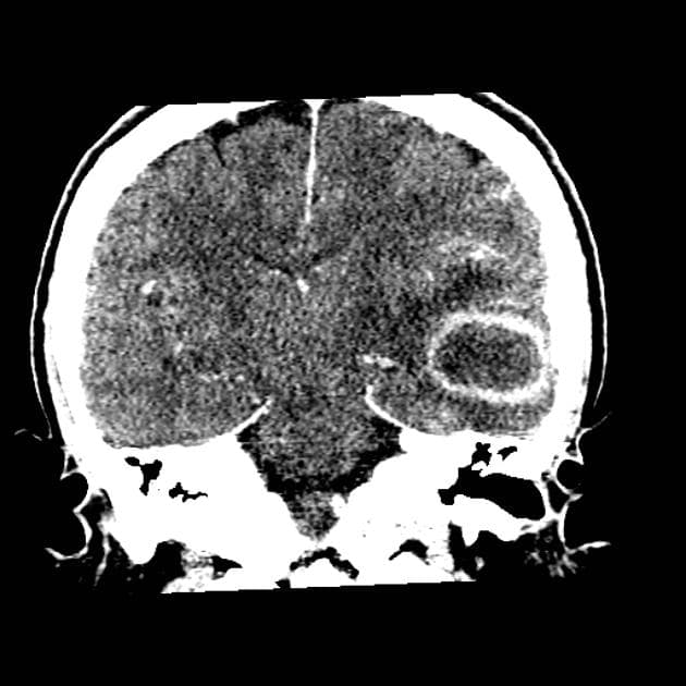
- Khối bắt thuốc dạng viền (ring-enhancing mass) ở thuỳ trán sau bên trái, kèm theo một lượng nhỏ phù vận mạch (vasogenic edema) xung quanh.
- Có một phần hạn chế khuếch tán (diffusion restriction) ở vùng ngoại vi, nhưng không có ở trung tâm.
DISCUSSION:
Lesion "hoàn hảo" bắt thuốc dạng viền, nhưng không phải là áp xe não (do không có hạn chế khuếch tán ở trung tâm trên hình ảnh khuếch tán – DWI và lượng phù tương đối ít). MAGIC DR là từ viết tắt gợi nhớ hữu ích cho hình ảnh này.
Chẩn đoán
Khối u thứ phát ở não bắt thuốc dạng viền (ring-enhancing cerebral metastasis)
Chẩn đoán phân biệt
- 1.Áp xe não
- 2.U nguyên bào thần kinh đệm độ cao (glioblastoma multiforme)
- 3.Tổn thương mất myelin (đa xơ cứng thể u)
Điểm giảng dạy
- "Các khối u thứ phát bắt thuốc dạng viền có thể bắt chước áp xe não trên hình ảnh, nhưng hạn chế khuếch tán ở trung tâm gợi ý áp xe hơn là u thứ phát."
- "Từ viết tắt MAGIC DR giúp phân biệt các tổn thương bắt thuốc dạng viền: U thứ phát, Áp xe, U thần kinh đệm, Nhồi máu, Chấn thương, Mất myelin, Hoại tử do xạ trị."
- "Lượng phù xung quanh tổn thương ít tương đối so với kích thước gợi ý u thứ phát hơn là u thần kinh đệm độ cao."
Thảo luận
Bài viết liên quan
Ca bệnh liên quan
Chẩn đoán phân biệt

Intracranial metastases

Cerebral Abscess Following Penetrating Trauma (Áp xe não)

Cerebral Abscess in a Patient with Sickle Cell Anemia (Áp xe não)

Cerebral Radiation Necrosis Following Radiosurgery for Brain Metastasis (Hoại tử não do tia xạ)

Cerebral Abscesses due to Streptococcus intermedius (Áp xe não (cerebral abscesses))

Pyogenic Brain Abscess in Late Capsular Stage (Áp xe não (brain abscess))





