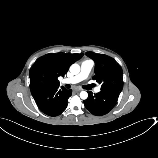
Series (4)
Axial C+ portal venous phase

Ung thư biểu mô tuyến di căn ở đuôi tụy kèm tắc ruột già
Nguồn gốc
Dữ liệu bệnh nhân
Bệnh sử lâm sàng
Bụng chướng, nghi ngờ tắc ruột.
Chẩn đoán & Phát hiện
- Khối dạng thùy, không đồng nhất (lobulated heterogeneous mass) ở đuôi tụy, phát triển vào và gây tắc đại tràng tại khúc nối lách (splenic flexure).
- Khối cũng xâm lấn tĩnh mạch thận trái và bể thận trên cực thận trái, dẫn đến hình ảnh thận trái chậm (delayed left nephrogram).
- Tĩnh mạch lách bị tắc kèm theo giãn tĩnh mạch vị ngắn (short gastric varices).
- Nhiều tổn thương di căn lan tỏa ở thuỳ gan trái.
- Có thể có cục huyết khối nhỏ gây thuyên tắc động mạch phân thùy ở phân thuỳ dưới thùy dưới phải (subsegmental right lower lobe artery) – hình ảnh đầu tiên.
- Các nốt nhỏ ở các thuỳ dưới được ghi nhận trên hình ảnh, gợi ý tổn thương di căn.
[DISCUSSION]
CHẨN ĐOÁN CUỐI CÙNG: Gan, khối, sinh thiết kim xuyên da dưới hướng dẫn CT – Ung thư biểu mô tuyến (adenocarcinoma), phù hợp với nguồn gốc từ tụy (consistent with pancreatic primary).
Trường hợp này là biểu hiện muộn của ung thư biểu mô tuyến tụy (pancreatic adenocarcinoma), với vị trí khối u nằm ở đuôi tụy. Khi khối u nguyên phát nằm ở đầu tụy, bệnh nhân thường có biểu hiện sớm như vàng da hoặc viêm tụy. Tuy nhiên, trong trường hợp này, bệnh nhân lại đến khám do tắc đại tràng. Ngoài ra, còn có tình trạng tắc tĩnh mạch lách kèm giãn tĩnh mạch vị ngắn, tắc tĩnh mạch thận trái và bể thận trên cực thận trái dẫn đến hình ảnh thận trái chậm, cùng với các tổn thương di căn rộng ở thuỳ gan trái.
Chẩn đoán
Ung thư biểu mô tuyến di căn ở đuôi tụy kèm tắc đại tràng (Metastatic pancreatic adenocarcinoma of the tail with colon obstruction)
Chẩn đoán phân biệt
- 1.Ung thư đại tràng nguyên phát xâm lấn vào tụy
- 2.U tế bào nội tiết ở đuôi tụy
- 3.Ung thư tế bào ống thận di căn vào tụy và đại tràng
Điểm giảng dạy
- "Ung thư biểu mô tuyến tụy ở đuôi thường biểu hiện muộn do không gây vàng da tắc mật sớm."
- "U đuôi tụy xâm lấn trực tiếp vào khúc nối lách có thể gây tắc đại tràng, một biểu hiện hiếm nhưng có thể xảy ra."
- "Tắc tĩnh mạch lách do ung thư tụy có thể dẫn đến tăng áp lực cửa trái và giãn tĩnh mạch vị ngắn."
Thảo luận
Bài viết liên quan
Ca bệnh liên quan

Metastatic Pancreatic Cancer (Ung thư tụy di căn)

Pancreatic Adenocarcinoma Arising in the Setting of Chronic Pancreatitis (Ung thư biểu mô tuyến tụy trên nền viêm tụy mạn tính)

Pancreatic Carcinoma (Gross Pathology) (Ung thư tụy (giải phẫu bệnh đại thể))

Unresectable Pancreatic Ductal Adenocarcinoma with Celiac Axis Involvement (Ung thư biểu mô ống tụy - không cắt bỏ được)

Complicated indirect inguinal hernia

Pancreatic Adenocarcinoma Presenting with Obstructive Jaundice (Ung thư biểu mô tuyến tụy)
Chẩn đoán phân biệt

Pancreatic Sarcoidosis (U sarcoid ở tụy)

Pancreatic Metastasis from Renal Cell Carcinoma (Di căn tụy từ ung thư biểu mô tế bào thận)

Insulinoma (Insulinoma)

Pancreatic Tubular Adenoma (U tuyến ống tụy)

Adenosquamous Carcinoma of the Pancreas (Ung thư biểu mô tuyến vảy của tụy)

Insulinoma in Multiple Endocrine Neoplasia Type 1 (MEN1) (U insulin - Hội chứng đa u tuyến nội tiết type 1 (MEN type 1))