Ung thư biểu mô tuyến ống tụy, thường được gọi là ung thư tụy, chiếm phần lớn (~90%) tất cả các tân sinh tụy và vẫn là một bệnh lý có tiên lượng rất xấu cùng tỷ lệ bệnh tật cao.
Dịch tễ học
Ung thư tụy chiếm 22% số ca tử vong do ung thư đường tiêu hóa và 5% số ca tử vong do ung thư nói chung 1. Nhìn chung, đây là một bệnh ác tính thường gặp ở người cao tuổi, với hơn 80% trường hợp xảy ra sau tuổi 60 1.
Yếu tố nguy cơ
Các yếu tố nguy cơ bao gồm:
-
hút thuốc lá: yếu tố nguy cơ môi trường mạnh nhất
-
viêm tụy mạn tính 12
-
chế độ ăn giàu chất béo động vật và protein
-
béo phì
-
đái tháo đường
-
tiền sử gia đình: ba hoặc nhiều hơn ba người thân bậc một mắc ung thư tụy làm tăng nguy cơ lên khoảng 20 lần 8
-
các hội chứng di truyền 6
-
đột biến BRCA2 là nguyên nhân phổ biến nhất của ung thư tụy gia đình 12
-
HNPCC
-
ung thư vú gia đình
-
hội chứng u hắc tố nhiều nốt ruồi bất thường gia đình (FAMMM)
-
viêm tụy di truyền
-
ataxia-telangiectasia
-
hội chứng Peutz-Jeghers
Chỉ có mối liên hệ yếu, nếu có, giữa việc uống nhiều rượu bia đơn thuần với ung thư tụy, mặc dù viêm tụy mạn tính là yếu tố nguy cơ 1.
Triệu chứng lâm sàng
-
đau (phổ biến nhất)
-
túi mật Courvoisier: vàng da không đau và túi mật to
-
hội chứng Trousseau: viêm tắc tĩnh mạch di chuyển
-
đái tháo đường mới khởi phát
-
hội chứng tăng tiết lipase (10-15%) 9
-
đa khớp đau và hoại tử mô mỡ dưới da +/- tổn thương xương tiêu xương
-
tăng men lipase huyết thanh và tăng bạch cầu ái toan
Giải phẫu bệnh
Ba tổn thương tiền thân của ung thư biểu mô tuyến tụy đã được xác định 8:
-
tăng sản nội biểu mô tụy (PanIN): nguyên nhân gây hơn 90% các trường hợp ung thư tụy 12
-
tổn thương tân sinh nhầy dạng nhú trong ống (IPMN)
-
tổn thương tân sinh nang nhầy
Tế bào ung thư xuất phát từ biểu mô ống tụy. Phổ hình thái học của khối u dao động từ các cấu trúc tuyến/ống hình thành tốt trong ung thư biệt hóa tốt đến các cấu trúc ống bất toàn trong ung thư biệt hóa kém trên nền mô đệm phản ứng xơ hóa (desmoplastic stroma). Hầu hết các tuyến trong ung thư biệt hóa tốt sản xuất chất nhầy.
Hai đặc điểm hình thái đặc trưng của ung thư biểu mô tuyến tụy là:
-
hành vi xâm lấn mạnh của tế bào khối u dẫn đến xâm nhập vào các khoang quanh dây thần kinh và mạch máu 12
-
phản ứng xơ hóa rõ rệt, gây nên tính chất chắc cứng của khối u 12
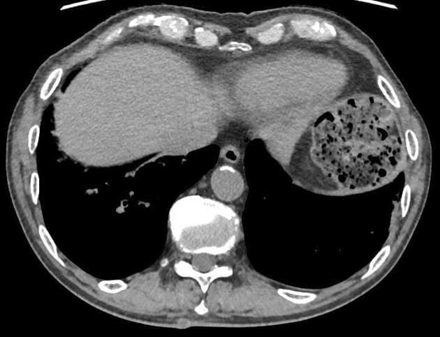
Do tính chất xâm lấn mạnh của khối u, tế bào ung thư thường lan trực tiếp vào lách, tuyến thượng thận, dạ dày và đại tràng ngang 12.
Vị trí
-
đầu và quá trình móc (uncinate process): hai phần ba trường hợp
-
thân và đuôi: một phần ba trường hợp 1
Các thể mô học
Các thể mô học bao gồm:
-
adenocarcinoma: chiếm đa số
-
ung thư tế bào vú tuyến tụy
-
ung thư biểu mô tuyến vảy tụy
-
ung thư thể keo tụy
-
ung thư dạng gan tụy
-
ung thư tủy sống tụy
-
ung thư tế bào hình nhẫn tụy
-
ung thư chưa biệt hóa và ung thư chưa biệt hóa kèm tế bào khổng lồ dạng tế bào hủy cốt (osteoclast-like giant cells) 12
Các dấu ấn khối u
-
CA19-9
-
CEA (kháng nguyên phôi thai)
Nồng độ huyết thanh của các kháng nguyên này thường tăng ở bệnh nhân ung thư tụy và có thể dùng để theo dõi đáp ứng điều trị. Tuy nhiên, các dấu ấn này không thể dùng để tầm soát quần thể do thiếu độ nhạy và độ đặc hiệu 12.
Di truyền học
Các thay đổi phân tử phổ biến nhất gây ung thư tụy là:
-
KRAS: gen tiền ung thư đột biến thường gặp nhất (>90%)
-
TP53: thay đổi ở 70-75%
-
SMAD4: mất hoạt tính ở 55%
-
CKN2A: thay đổi ở 30% 12
Phân độ
Xin xem phần phân độ ung thư biểu mô tuyến ống tụy. Tái phát có thể được đánh giá tốt hơn bằng điểm nguy cơ hơn là phân độ 10.
Đặc điểm hình ảnh học
Do đa số các khối u (90%) 1 không thể cắt bỏ được, chẩn đoán thường được thực hiện bằng hình ảnh học (thường là CT), mặc dù nội soi ổ bụng thường cần thiết để xác nhận khả năng cắt bỏ 1,2. Chìa khóa để phân độ chính xác là đánh giá động mạch mạc treo tràng trên và trục tạng, nếu bị xâm lấn thì bệnh nhân không còn chỉ định phẫu thuật cắt bỏ 1,2.
Chụp cản quang huỳnh quang (Fluoroscopy)
Chụp dạ dày – tá tràng cản quang / theo dõi nhu động ruột non: Nếu đủ lớn, có thể thấy hình ảnh ngược trên tá tràng: dấu hiệu Frostburg ngược 3 hoặc cung tá tràng rộng.
Siêu âm
Các hình ảnh không đặc hiệu và bao gồm:
-
khối giảm âm
-
có thể thấy dấu hiệu hai ống (double duct sign)
CT
CT là phương tiện hình ảnh chính ("workhorse") để đánh giá tụy:
-
hình ảnh ung thư biểu mô tuyến ống
-
các khối không giới hạn rõ với phản ứng xơ hóa rộng rãi xung quanh
-
thường giảm tỷ trọng trên pha động mạch ở 75-90% trường hợp, có thể đồng tỷ trọng trên các pha trễ (do đó cần chụp nhiều thì khi nghi ngờ ung thư tụy)
-
có thể thấy dấu hiệu hai ống
-
vôi hóa hiếm gặp và khi có, thường thứ phát do các bệnh lý nền (ví dụ: viêm tụy mạn tính)
-
tỷ lệ đường kính ống tụy mở rộng so với chiều rộng trước – sau của tuyến tụy khoảng 0,5 có thể xuất hiện, phản ánh sự giãn ống và teo nhu mô
-
đánh giá khả năng cắt bỏ
-
CT tương quan tốt với các phát hiện phẫu thuật trong dự đoán không thể cắt bỏ (giá trị dự đoán dương: 89-100%) ref
-
đặc điểm chính là mối quan hệ của khối u với các mạch máu xung quanh:
bao quanh động mạch mạc treo tràng trên và trục tạng >180 độ được phân loại là bệnh lý T4, cho thấy không thể cắt bỏ ref
MRI
Đặc điểm tín hiệu
-
T1/T1FS: giảm tín hiệu so với tụy bình thường 5
-
T1 C+ (Gd): tăng quang chậm hơn tụy bình thường, do đó tiêm thuốc động mạch có bão hòa mỡ là lý tưởng
-
T2/FLAIR: biến đổi (do đó không hữu ích nhiều), tùy thuộc vào mức độ phản ứng xơ hóa phản ứng 1,5
-
MRCP: có thể thấy dấu hiệu hai ống (double duct sign)
Điều trị và tiên lượng
-
khả năng cắt bỏ
-
đa số ung thư biểu mô tuyến ống tụy không thể cắt bỏ được tại thời điểm chẩn đoán
-
không thể cắt bỏ chủ yếu do sự hiện diện của di căn và/hoặc xâm lấn mạch máu, đặc biệt là bao quanh thân tạng và động mạch mạc treo tràng trên
-
can thiệp phẫu thuật
-
cắt bỏ phẫu thuật có thể chữa khỏi ở giai đoạn I và II (xem phân độ ung thư tụy); tuy nhiên, tỷ lệ biến chứng đáng kể (20-30%) và tỷ lệ tử vong (5%) 3
-
cắt bỏ khối u ở đầu tụy thường được thực hiện bằng phẫu thuật Whipple
-
tiên lượng
-
mặc dù đã cắt bỏ phẫu thuật, tái phát vẫn phổ biến, với cải thiện khiêm tốn về thời gian sống tổng thể (tăng từ 5% lên 10% sau 5 năm) 4
-
tỷ lệ sống sót khoảng 12 tháng của ung thư biểu mô tuyến ống tụy là 25% kể từ thời điểm chẩn đoán
Chẩn đoán phân biệt
Các chẩn đoán phân biệt hình ảnh học tổng quát bao gồm:
-
viêm tụy cấp tính
-
viêm tụy mạn tính
-
dấu hiệu ống xuyên qua (duct penetrating sign) là dấu hiệu quan trọng để phân biệt giữa viêm tụy khu trú mạn tính và ác tính tụy
-
tỷ lệ ống tụy : nhu mô thường < 0,5
-
các tân sinh tụy khác
-
lymphoma
-
xâm nhập mỡ ở đầu tụy
-
thường ảnh hưởng đến phần trước
-
không có các dấu hiệu thứ phát (ví dụ: giãn ống tụy hoặc ống mật chủ)
-
tín hiệu cao trên T1 và giảm tín hiệu trên các chuỗi dịch chuyển hóa học
-
ung thư ống mật
-
các khối u vùng hành tá tràng
-
di căn tụy
[SOURCE]https://radiopaedia.org/articles/pancreatic-ductal-adenocarcinoma-4[/SOURCE]