Series (17)
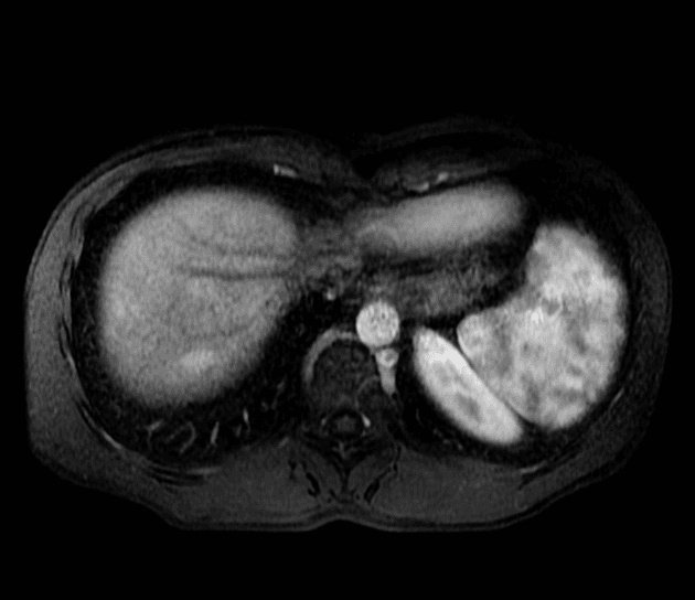
Axial DWI

Tăng sản khu trú dạng nốt trên cộng hưởng từ Primovist và cắt lớp vi tính 4 thì
Nguồn gốc
Dữ liệu bệnh nhân
Bệnh sử lâm sàng
Hai tổn thương gan được phát hiện tình cờ trên cắt lớp vi tính thực hiện để tìm nguyên nhân đổ mồ hôi về đêm.
Chẩn đoán & Phát hiện
Chụp cộng hưởng từ theo dõi
Không có bằng chứng của bệnh lý nhu mô gan.
Hai tổn thương khu trú ở gan được xác định:
Một tổn thương rất nhỏ thấy ở vùng dưới màng gan của phân đoạn IVa phía trước, chỉ quan sát thấy rõ ở thì động mạch, nguyên nhân và ý nghĩa chưa rõ.
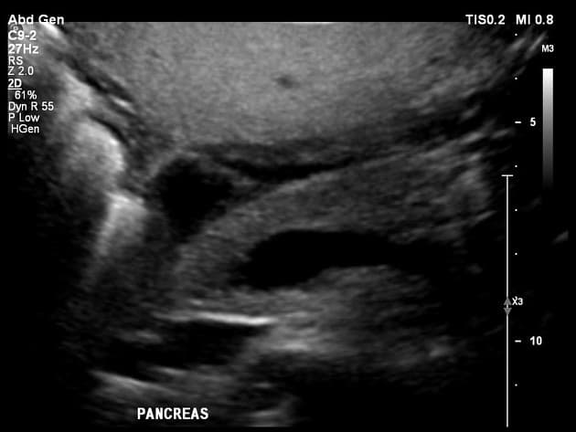
Đường mật không giãn. Tụy, thận, tuyến thượng thận, lách có hình dạng bình thường. Không có dịch tự do hoặc bệnh lý hạch.
Kết luận: Hai tổn thương khu trú ở gan, hình ảnh cộng hưởng từ phù hợp với tăng sản khu trú dạng nốt (focal nodular hyperplasia).
Hai tổn thương bắt thuốc ở phân đoạn 6 và 3, vùng trung tâm giảm tỷ trọng (không bắt thuốc) và không có hiện tượng thải thuốc (washout).
THẢO LUẬN:
Hình ảnh điển hình của tăng sản khu trú dạng nốt (focal nodular hyperplasia), là một trong số ít các tổn thương có khả năng tích tụ mạnh thuốc cản quang đặc hiệu tế bào gan.
Chẩn đoán
Focal nodular hyperplasia on Primovist MR and 4‑phase CT
Chẩn đoán phân biệt
- 1.Ung thư tế bào gan dạng tuyến
- 2.Vùng gan chứa mỡ khu trú
- 3.Di căn tăng tưới máu
Điểm giảng dạy
- "Tăng sản khu trú dạng nốt (FNH) thường cho thấy tăng cường mạnh ở thì động mạch, kèm sẹo trung tâm và bắt thuốc đồng đều ở thì cửa và thì muộn."
- "Trên hình ảnh thì gan-mật với Primovist, FNH thường giữ thuốc cản quang do sự hiện diện của tế bào gan hoạt động, giúp phân biệt với ung thư tế bào gan dạng tuyến."
- "FNH là tổn thương gan lành tính và thường không cần cắt bỏ trừ khi có triệu chứng hoặc chưa rõ chẩn đoán."










