Thu, Apr 9
AI Trực tuyến
Series (7)
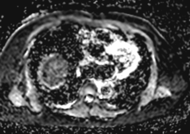
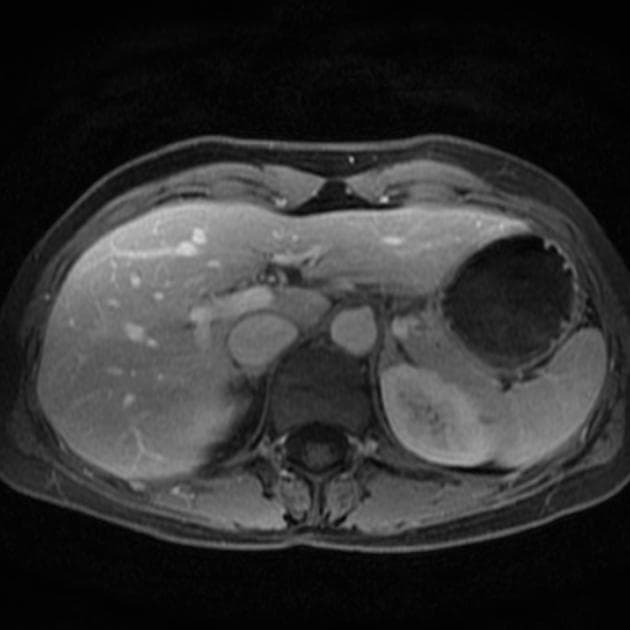
Axial T2

MRI•Axial T2•1 / 24
Ca bệnhU mạch gan
U mạch gan
Nguồn gốc
Dữ liệu bệnh nhân
Tuổi35 year
Giới tínhFemale
Bệnh sử lâm sàng
Một tổn thương gan phát hiện tình cờ ở thuỳ phải trên siêu âm.
Chẩn đoán & Phát hiện
- Tổn thương dạng thùy (lobulated) kích thước 35 x 45 mm nằm ở phân đoạn V của thuỳ phải, liền kề với túi mật (gallbladder).
- Tổn thương này tăng tín hiệu (hyperintense) trên hình ảnh T2-weighted MRI.
- Trên hình ảnh cộng hưởng từ có tiêm thuốc tương phản động (dynamic contrast-enhanced imaging), thấy tăng quang dạng nốt (nodular) ở vùng ngoài viền (peripheral) ban đầu, tiếp theo là quá trình lấp đầy dần từ ngoài vào trong (slow centripetal filling).
DISCUSSION:
Hình ảnh cộng hưởng từ (MRI) phù hợp điển hình với u sợi mạch gan (hepatic hemangioma).
Chẩn đoán
U sợi mạch gan (hepatic hemangioma)
Chẩn đoán phân biệt
- 1.Tăng sản mô nốt khu trú
- 2.U tuyến gan tế bào gan
- 3.Di căn
Điểm giảng dạy
- "U sợi mạch gan thường biểu hiện tăng tín hiệu T2 và tăng quang dạng nốt ở viền ngoài với quá trình lấp đầy từ từ từ ngoài vào trong trên cộng hưởng từ có tiêm thuốc tương phản động."
- "Đây là u gan lành tính phổ biến nhất và thường không cần điều trị trừ khi có triệu chứng."
- "Phân biệt với các tổn thương ác tính là rất quan trọng và chủ yếu dựa vào đặc điểm hình ảnh điển hình thay vì sinh thiết."
Thảo luận
U sợi mạch gan là khối u gan lành tính phổ biến nhất, thường được phát hiện tình cờ trên hình ảnh học. Bệnh xuất phát từ các mạch máu bất thường và gồm các khoang giãn chứa đầy máu được lót bởi tế bào nội mô. Trên cộng hưởng từ (MRI), hình ảnh điển hình bao gồm tăng tín hiệu rõ rệt trên T2 và kiểu tăng quang dạng nốt ở vùng ngoại vi trong thì động mạch, tiếp theo là quá trình lấp đầy dần từ ngoài vào trong ở các thì muộn. Dấu ấn hình ảnh này rất đặc hiệu, cho phép chẩn đoán chắc chắn không xâm lấn trong hầu hết các trường hợp. Mặc dù có thể sinh thiết, nhưng thủ thuật này tiềm ẩn nguy cơ chảy máu và thường được tránh. Điều trị mang tính bảo tồn, không cần cắt bỏ hay theo dõi định kỳ trong các trường hợp điển hình, trừ khi có nghi ngờ chẩn đoán hoặc bệnh nhân có triệu chứng.











