Series (5)
Axial T1 C+ fat sat

Tăng sản tuyến gan
Nguồn gốc
Dữ liệu bệnh nhân
Bệnh sử lâm sàng
Đang sử dụng thuốc tránh thai uống. Phát hiện tình cờ trên siêu âm bụng.
Chẩn đoán & Phát hiện
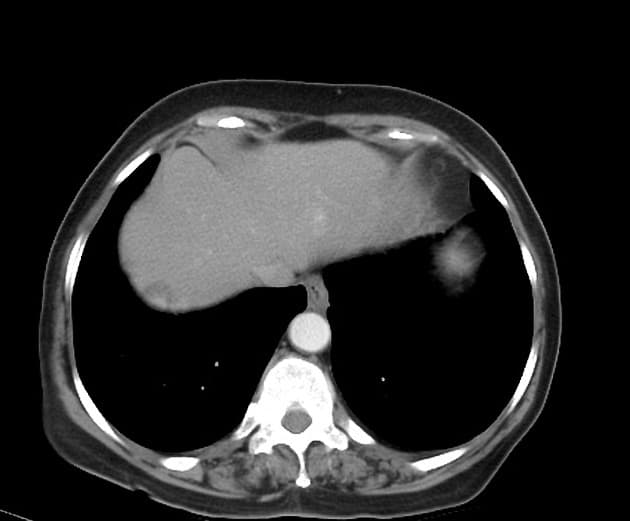
- Nhiều tổn thương khối mờ tăng quang khuếch tán khắp gan trên thì tĩnh mạch cửa.
- Các khối này tăng tín hiệu nhẹ trên T1 và T2, ranh giới không rõ trên hình ảnh thông thường sau tiêm thuốc cản quang, nhưng hiện rõ là nhiều tổn thương giảm tín hiệu trên chụp chậm với Primovist (chỉ điểm không có tế bào gan, do đó loại trừ u tăng sản khu trú - FNH).
- Gan nhiễm mỡ, giảm tín hiệu trên pha out-phase.
DISCUSSION:
Nhiều tổn thương khối tăng quang, không có tế bào gan dựa trên hình ảnh chụp chậm sau tiêm thuốc cản quang. Chẩn đoán phân biệt bao gồm: bệnh di căn, ung thư biểu mô tế bào gan đa ổ (HCC) và u tuyến gan. Bệnh nhân đã được sinh thiết 3 tổn thương riêng biệt, kết quả đều cho thấy u tuyến gan (adenoma). Vì có trên 10 tổn thương, nên được gọi là tăng sản tuyến gan (adenomatosis). Tình trạng này có thể liên quan đến việc sử dụng thuốc tránh thai uống (OCP). Không thấy hình ảnh xuất huyết cấp, một biến chứng có thể xảy ra trong bệnh lý này.
Chẩn đoán
Tăng sản tuyến gan (Hepatic adenomatosis)
Chẩn đoán phân biệt
- 1.Bệnh di căn
- 2.Ung thư biểu mô tế bào gan đa ổ (HCC)
- 3.U tăng sản khu trú (FNH)
Điểm giảng dạy
- "Tăng sản tuyến gan được định nghĩa là tình trạng có hơn 10 u tuyến gan."
- "Việc không có bắt thuốc trên pha chụp chậm với Primovist giúp phân biệt u tuyến gan với u tăng sản khu trú (FNH)."
- "Sử dụng lâu dài thuốc tránh thai uống (OCP) là yếu tố nguy cơ đã biết gây u tuyến gan và tăng sản tuyến gan."
Thảo luận
Ca bệnh liên quan

Multiple liver adenomas with signs of bleeding

Focal Nodular Hyperplasia on Primovist MRI and 4-Phase CT (Tăng sản khu trú dạng nốt trên cộng hưởng từ Primovist và cắt lớp vi tính 4 thì)

Hepatic adenoma - multiple

Focal Nodular Hyperplasia of the Liver (Tăng sản khu trú dạng nốt)

Hepatic adenoma - multiple

Intrahepatic Cholangiocarcinoma with Multisystem Metastases (Ung thư đường mật)





