Thu, Apr 9
AI Trực tuyến
Series (4)
Axial T1 C+

MRI•Axial T1 C+•1 / 29
Ca bệnhTăng sản khu trú dạng nốt – nhiều ổ
Tăng sản khu trú dạng nốt – nhiều ổ
Nguồn gốc
Dữ liệu bệnh nhân
Giới tínhMale
Bệnh sử lâm sàng
Chẩn đoán & Phát hiện
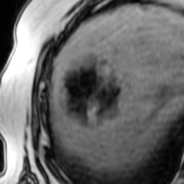
MRI gan
- Tổn thương lớn nhất nằm ở thuỳ trái gan, phân đoạn 3, có tín hiệu đồng tín hiệu (isointense) so với nhu mô gan trên hình ảnh cộng hưởng từ (MRI) trọng T1 và không giảm tín hiệu trên hình ảnh out-of-phase, điều này không gợi ý có sự hiện diện của mỡ.
- Trên hình ảnh trọng T2, tổn thương có tín hiệu đồng tín hiệu đến hơi tăng tín hiệu so với gan, với vùng trung tâm tăng tín hiệu, phù hợp với sẹo trung tâm.
- Tổn thương cho thấy tăng quang động mạch, trong đó vùng sẹo trung tâm không tăng quang, nhưng đến thì muộn thì sẹo trung tâm xuất hiện tăng quang chậm.
DISCUSSION:
Nhiều tổn thương tăng sản khu trú dạng nốt (FNH) có thể xuất hiện trong hội chứng FNH nhiều ổ (multiple FNH syndrome) hoặc bệnh di truyền giãn mạch máu dạng telangiectasia xuất huyết (hereditary hemorrhagic telangiectasia).
Chẩn đoán
Tăng sản khu trú dạng nốt – nhiều ổ (Focal nodular hyperplasia - multiple)
Chẩn đoán phân biệt
- 1.U tuyến tế bào gan
- 2.U máu gan
- 3.Ung thư tế bào gan dạng sợi lá
Điểm giảng dạy
- "Tăng sản khu trú dạng nốt (FNH) thường tăng quang động mạch, có sẹo trung tâm và sẹo này tăng quang chậm ở thì muộn trên MRI."
- "Nhiều tổn thương FNH cần nghĩ đến hội chứng FNH nhiều ổ hoặc bệnh di truyền giãn mạch máu dạng telangiectasia xuất huyết (HHT)."
- "FNH không có nguy cơ ác tính và thường được theo dõi bảo tồn."
Thảo luận
Tăng sản khu trú dạng nốt (FNH) là tổn thương gan lành tính, thường gặp ở phụ nữ trẻ đến trung niên, thường được phát hiện tình cờ khi chụp hình. Tổn thương đặc trưng bởi sẹo trung tâm với các vách xơ tỏa ra và cấu trúc mạch máu bất thường. Trên MRI, FNH có tín hiệu đồng tín hiệu ở T1, hơi tăng tín hiệu ở T2, tăng quang mạnh ở thì động mạch và tăng quang chậm ở sẹo trung tâm ở thì muộn. Nhiều ổ FNH có thể xuất hiện đơn độc hoặc trong hội chứng FNH nhiều ổ hoặc bệnh di truyền giãn mạch máu dạng telangiectasia xuất huyết (HHT), bệnh này liên quan đến các dị dạng mạch máu ở cơ quan khác. Việc phân biệt với u tuyến tế bào gan rất quan trọng vì u tuyến có nguy cơ xuất huyết và ác tính hóa. Việc không có mỡ, có sẹo trung tâm và kiểu tăng quang đặc trưng giúp nghi ngờ FNH. Sinh thiết hiếm khi cần thiết nếu hình ảnh điển hình.
Bài viết liên quan
Ca bệnh liên quan

Hepatic adenoma - lipid-poor

Focal Nodular Hyperplasia of the Liver (Tăng sản tuyến foca)

Hepatic adenoma

Renal Oncocytoma (U oncocytoma thận)

Focal Nodular Hyperplasia on Primovist MRI and 4-Phase CT (Tăng sản khu trú dạng nốt trên cộng hưởng từ Primovist và cắt lớp vi tính 4 thì)

Focal nodular hyperplasia (FNH)





