Series (18)
Axial T2

Ung thư biểu mô tuyến tụy - có thể cắt bỏ được ở mức giới hạn
Nguồn gốc
Dữ liệu bệnh nhân
Bệnh sử lâm sàng
Đau vùng thượng vị kéo dài 4 tuần, nhập viện cách đây 2 tuần do men lipase tăng (1220 đơn vị/L).
Chẩn đoán & Phát hiện
MRCP
Tình trạng sau cắt túi mật, còn lại nang mỏng thành kích thước 7 mm liền kề đầu còn lại của ống túi mật. Không giãn đường mật hay khuyết khuyết tạo hình để gợi ý sỏi trong ống mật.
Có một vài nang gan đơn thuần nhỏ ở các phân đoạn sáu và bảy. Gan có hình ảnh giảm tín hiệu lan tỏa trên T1 out of phase, phù hợp với thoái hóa mỡ (steatosis).
Có hiện tượng tắc nghẽn ống tụy chính tại mức cổ tụy, kèm giãn nhẹ ống chính phía trên (2 mm). Một vùng tròn giới hạn không rõ kích thước khoảng 2 cm ở đầu tụy có tín hiệu T2 tăng nhẹ, nằm gần vị trí tắc ống tụy chính. Tín hiệu hình ảnh khuếch tán (DWI) tăng nhẹ lan tỏa và thể tích tụy tăng nhẹ. Không có dịch quanh tụy hay viêm khu trú.
Adenoma tuyến thượng thận trái ổn định so với CT cách đây 10 năm (không hiển thị). Tuyến thượng thận phải, thận và lách bình thường.
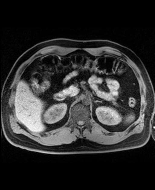
Tụy
Có khối kích thước 3 x 2 cm ở đầu tụy, tăng quang chậm và tiến triển, giảm tăng quang so với phần còn lại của tụy. Ống tụy chính phía trên giãn nhẹ, có hiện tượng tắc đột ngột như thấy trên MRCP gần đây. Không có vôi hóa tụy. Không thấy hình ảnh tắc mật (no evidence of biliary obstruction).
Khối lan xuống dưới vào mạc treo ruột non. Có hẹp nặng khu trú động mạch mạc treo tràng trên (SMV). Tiếp xúc giữa khối và SMV trên đoạn dài 42 mm. Tiếp xúc giữa khối và tĩnh mạch cửa trên đoạn dài 25 mm. Có xâm lấn nhánh tá tràng đầu tiên và thứ hai. Trục tạng, động mạch gan, động mạch mạc treo tràng trên thông thoáng. Động mạch vị tá tràng (GDA) bị bao quanh.
Các nốt nhỏ 4 mm thấy trong mạc treo ruột non. Không có hạch bất thường khác về kích thước hay hình thái ở ổ bụng hay vùng chậu.
Gan có tình trạng xâm nhập mỡ lan tỏa dạng địa lý. Không có di căn gan. Có adenoma tuyến thượng thận trái giàu lipid, kích thước 20 mm. Đây không phải là di căn. Tuyến thượng thận phải bình thường.
Sẹo khu trú ở thận phải. Các nang vỏ thận nhỏ. Không có khối đặc ở thận. Lách hình dạng bình thường. Không có dịch tự do. Ruột non và đại tràng hình ảnh không bất thường. Xương thấy trên phim bình thường. Thoái hóa khớp cùng chậu thắt lưng.
DISCUSSION:
Hình ảnh học gợi ý ung thư biểu mô tuyến đầu tụy (pancreatic head adenocarcinoma), về mặt giải phẫu ở mức giới hạn có thể cắt bỏ được do có xâm lấn SMV và các nhánh tá tràng.
Chẩn đoán
Ung thư biểu mô tuyến tụy - có thể cắt bỏ được ở mức giới hạn (borderline resectable)
Chẩn đoán phân biệt
- 1.Viêm tụy tự miễn
- 2.U tuyến nội tiết tụy
- 3.Viêm tụy mạn tính có thành phần khối giả
Điểm giảng dạy
- "Ung thư biểu mô tuyến tụy có thể cắt bỏ ở mức giới hạn được định nghĩa là sự xâm lấn mạch máu vào tĩnh mạch mạc treo tràng trên (SMV) hoặc tĩnh mạch cửa mà không có bao quanh động mạch vượt quá điểm xuất phát của động mạch vị tá tràng (GDA)."
- "Tiếp xúc SMV >180 độ hoặc hẹp khu trú cho thấy xâm lấn mạch máu, có thể cần cắt và tái tạo tĩnh mạch."
- "Việc không có di căn xa và không xâm lấn động mạch (trục tạng, động mạch mạc treo tràng trên) hỗ trợ khả năng cắt bỏ được sau điều trị trước mổ."
Thảo luận
Bài viết liên quan
Ca bệnh liên quan

Metastatic Pancreatic Cancer (Ung thư tụy di căn)

Pancreatic Adenocarcinoma Arising in the Setting of Chronic Pancreatitis (Ung thư biểu mô tuyến tụy trên nền viêm tụy mạn tính)

Pancreatic Carcinoma (Gross Pathology) (Ung thư tụy (giải phẫu bệnh đại thể))

Unresectable Pancreatic Ductal Adenocarcinoma with Celiac Axis Involvement (Ung thư biểu mô ống tụy - không cắt bỏ được)

Pancreatic Adenocarcinoma Presenting with Obstructive Jaundice (Ung thư biểu mô tuyến tụy)

Pancreatic Adenocarcinoma with Superior Mesenteric Vessel Involvement (Ung thư biểu mô tuyến tụy)
Chẩn đoán phân biệt

Pancreatic Sarcoidosis (U sarcoid ở tụy)

Distal Cholangiocarcinoma (Ung thư biểu mô tế bào gan đoạn xa)

Biliary Stenting for Lower Common Bile Duct Cholangiocarcinoma (Đặt stent đường mật – ung thư biểu mô ống mật chủ đoạn dưới)

Pancreatic Metastasis from Renal Cell Carcinoma (Di căn tụy từ ung thư biểu mô tế bào thận)

Insulinoma (Insulinoma)

Klatskin Tumor - Hilar Cholangiocarcinoma (U Klatskin - ung thư đường mật cửa gan)