Series (11)
Coronal T1

Bệnh Von Hippel Lindau
Nguồn gốc
Dữ liệu bệnh nhân
Bệnh sử lâm sàng
Nam giới trẻ tuổi. Không có tiền sử gia đình.
Từng đến bệnh viện trước đó và sinh thiết u mạch máu nhân dạng tế bào (hemangioblastoma) ở hố sau.
Chẩn đoán & Phát hiện
-
Nhiều tổn thương nội sọ bắt thuốc (enhancing intracerebral lesions), chủ yếu ở vùng hố sau.
-
Các tổn thương có dạng đặc, thay vì dạng nang với nốt đặc thành nang (cystic with a solid mural nodule).
-
Nhiều tổn thương bắt thuốc trong màng cứng dọc theo cột sống cổ - ngực.
-
Hình ảnh tương tự như các tổn thương trong não.
-
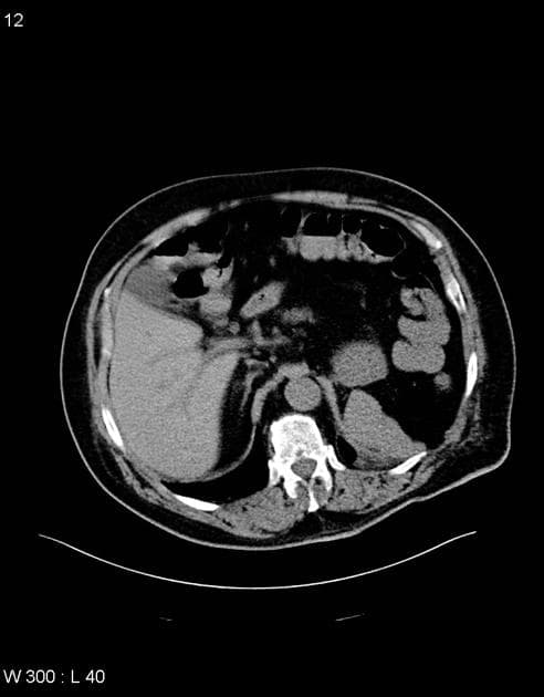
Khối đặc ở cực dưới thận trái, nằm ở vùng vỏ thận, nghi ngờ cao là khối u (high suspicion of tumor).
-
Các nang đơn giản ở thận.
-
Nhiều nang thận hai bên.
-
Nhiều nang nhỏ ở tụy.
-
Khối bắt thuốc ở cực dưới thận trái.
[DISCUSSION]
Bệnh Von Hippel-Lindau (vHL) là một rối loạn hệ thống đa cơ quan, đặc trưng bởi sự phát triển của nhiều khối u lành tính và ác tính cũng như một số tổn thương không phải ung thư.
Khối u thần kinh đặc trưng là u mạch máu nhân dạng tế bào (hemangioblastoma), có thể xuất hiện ở não hoặc tủy sống.
U tế bào ống thận (Renal cell carcinoma - RCC) có thể xuất hiện ở đến 40% trường hợp và là một trong những biến chứng đáng lo ngại nhất. RCC ở bệnh nhân vHL thường xuất hiện ở độ tuổi sớm hơn, như trong trường hợp này là bệnh nhân ở độ tuổi 20.
Tổn thương thận đã được xác nhận là u tế bào ống thận dạng nang (cystic renal cell carcinoma) qua sinh thiết định hướng CT.
Chẩn đoán
Bệnh Von Hippel Lindau (Von Hippel Lindau disease)
Chẩn đoán phân biệt
- 1.Xơ cứng rải rác (đối với tổn thương tủy)
- 2.Bệnh lý di căn
- 3.U xơ thần kinh loại 2
Điểm giảng dạy
- "VHL là một rối loạn đa hệ thống di truyền trội trên nhiễm sắc thể thường, đặc trưng bởi u mạch máu và các khối u tạng."
- "U mạch máu trong VHL thường đa ổ và có thể xảy ra ở tiểu não, thân não và tủy sống."
- "Ung thư biểu mô tế bào thận (RCC) xảy ra ở khoảng 40% bệnh nhân VHL và thường khởi phát ở độ tuổi trẻ hơn."
Thảo luận
Bài viết liên quan
Ca bệnh liên quan

Renal Cell Carcinoma with Cystic Changes (Ung thư biểu mô tế bào thận có biến đổi dạng nang)

Von Hippel-Lindau Disease - Pancreatic Manifestations (Bệnh Von Hippel-Lindau - biểu hiện tụy)

Renal cell carcinoma (stage I) (Ung thư biểu mô tế bào thận (giai đoạn I))

Von Hippel-Lindau Disease with Spinal Hemangioblastoma (Bệnh Von Hippel-Lindau với u mạch bào ở tủy sống)

Renal Cell Carcinoma with Collecting System Involvement (Ung thư tế bào thận xâm lấn hệ thống đài bể thận)

Pancreatic Metastasis from Renal Cell Carcinoma (Di căn tụy từ ung thư biểu mô tế bào thận)
Chẩn đoán phân biệt

Ileocecal tuberculosis

Spinal cord ischaemia

Hepatic Epithelioid Hemangioendothelioma (Ung thư biểu mô mạch máu dạng biểu mô gan)

Myelin Oligodendrocyte Glycoprotein Antibody-Associated Disease (MOGAD) (Bệnh liên quan đến kháng thể myelin oligodendrocyte glycoprotein (MOGAD))

Chronic Migraine with New-Onset Left Hemiparesis (Migraine)