bệnh von Hippel-Lindau (vHL) là một bệnh di truyền đặc trưng bởi sự phát triển của các khối u lành tính và ác tính khác nhau ở nhiều cơ quan – ít nhất 40 loại đã được mô tả 1.
Dịch tễ học
Bệnh hiếm gặp, với tỷ lệ lưu hành ước tính là 1:35.000-50.000 10,17. Hầu hết bệnh nhân được chẩn đoán khối u đầu tiên ở tuổi trưởng thành sớm (tuổi trung bình khi chẩn đoán khối u ban đầu là 26 tuổi) 10.
Triệu chứng lâm sàng
vHL thường biểu hiện bằng hemangioblastoma ở bệnh nhân trẻ tuổi, ví dụ như đau đầu, nôn mửa, rối loạn vận động, thiếu cảm giác và vận động hoặc mất thị lực 17. Pheochromocytoma có thể gây tăng huyết áp, nhưng thường không có chức năng.
Bệnh học
Di truyền học
Một biến thể dòng mầm trong gen ức chế khối u VHL (nhiễm sắc thể 3p25-26) mã hóa protein VHL, một thành phần của phức hợp làm thoái hóa yếu tố cảm ứng thiếu oxy alpha (HIFα), yếu tố này thúc đẩy sự tăng sinh tế bào bất thường, tạo mạch và hình thành khối u 17. Di truyền theo kiểu trội trên nhiễm sắc thể thường với mức độ biểu hiện và tính thấm cao, mặc dù bệnh cần sự bất hoạt thể bắt chước còn lại. Khoảng 80% các trường hợp xảy ra qua con đường này, với khoảng 20% xuất hiện mới (de novo) 10,15.
Vị trí
Bệnh nhân có thể phát triển một số hoặc tất cả các tổn thương sau:
Vùng bụng - chậu
-
thận (~70% bệnh nhân 10,17)
-
ung thư biểu mô tế bào thận (RCCs)
-
thường là thể tế bào sáng 7 và thường gặp hai bên 10
-
nguy cơ suốt đời là 70% 9
-
ung thư biểu mô tế bào thận xuất hiện ở độ tuổi trẻ hơn (trung bình = 39 tuổi) ở những người mắc vHL 10
-
nang thận
-
gặp ở tới 75% bệnh nhân 5
-
thường có khuynh hướng hai bên và nhiều nang
-
có thể là nang đơn giản, nang phức tạp hoặc ung thư biểu mô tế bào thận dạng nang 10
-
thượng thận
-
pheochromocytoma: 25-30% bệnh nhân 10
-
pheochromocytoma ngoài thượng thận / paraganglioma: 15% 8,10
-
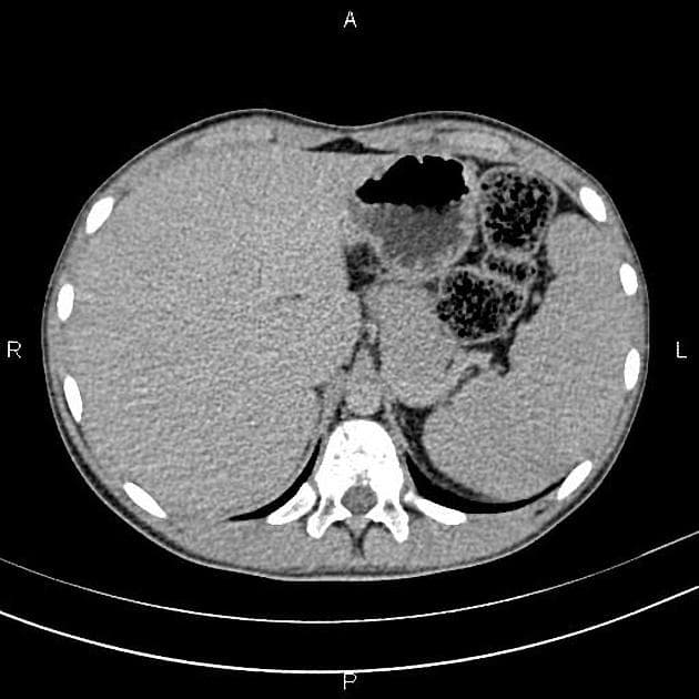
tụy (có thể là biểu hiện sớm nhất 3)
-
nang tụy: ~40% bệnh nhân 10
-
khối u thần kinh nội tiết tụy (pNET)
-
~12,5% bệnh nhân (khoảng 9-17%) 10
-
thường không có chức năng 9
-
thường gặp nhiều tổn thương
-
u nang tuyến thanh mạc tụy: ~12,5% bệnh nhân (khoảng 9-17%)
-
ung thư biểu mô tuyến tụy: hiếm gặp
-
gan
-
nang gan
-
phổi
-
nang phổi
-
khối u carcinoid phổi
-
hemangioblastoma (hiếm gặp) 16
Cơ quan sinh dục - tiết niệu
-
nang mào tinh 10
-
u nang tuyến nhú mào tinh: ~35% bệnh nhân (khoảng 25-60%) 10
-
u nang tuyến dây chằng rộng 10
Hệ thần kinh trung ương (CNS)
-
hemangioblastoma hệ thần kinh trung ương: ~70% bệnh nhân (khoảng 60-80%) 9,10,15
-
tiểu não (~60%; khoảng 44-72%); tủy sống (~30%; khoảng 13-50%) – thường gặp nhất ở tủy sống cổ và ngực; thân não (~12,5%; khoảng 10-25%)
-
nang quanh khối u của hemangioblastoma hệ thần kinh trung ương là do tăng tính thấm thành mạch vượt quá khả năng hấp thu của mô não xung quanh; các nang này thường phát triển nhanh hơn nhiều so với khối u
-
u nhú màng mạch não thất
Đầu và cổ
-
hemangioblastoma võng mạc
-
là biểu hiện khởi phát phổ biến nhất, gặp ở 45-60% bệnh nhân 9,10
-
mất thị lực ở 35-55% bệnh nhân 9
-
khối u túi nội dịch (ELST)
-
~10% (khoảng 4-16%) bệnh nhân 10,15
-
hai bên ở 30% 10; được coi là đặc hiệu cho vHL 9
Phân loại
vHL có thể được phân loại theo các kiểu hình lâm sàng, và phân loại này tương quan với các kiểu gen cụ thể 10:
-
type 1: nguy cơ thấp với pheochromocytoma nhưng nguy cơ cao hơn với hemangioblastoma hệ thần kinh trung ương, ung thư biểu mô tế bào thận, nang tụy và khối u thần kinh nội tiết tụy
-
type 2 vHL: nguy cơ cao với pheochromocytoma; một số chức năng protein VHL còn giữ lại
-
type 2A: nguy cơ cao với pheochromocytoma; nguy cơ thấp với ung thư biểu mô tế bào thận
-
type 2B: nguy cơ cao với pheochromocytoma và ung thư biểu mô tế bào thận
-
type 2C: chỉ có nguy cơ cao với pheochromocytoma
Đặc điểm hình ảnh học
Vui lòng tham khảo các bài viết về từng tổn thương riêng biệt để biết đặc điểm hình ảnh cụ thể.
Điều trị và tiên lượng
Hầu hết các tổn thương do vHL đều có thể điều trị được và việc theo dõi định kỳ được khuyến cáo theo các hướng dẫn khu vực khác nhau 10. Một số chuyên gia đề xuất sàng lọc định kỳ bắt đầu từ tuổi vị thành niên. Belzutifan, một chất ức chế HIF-2α, có thể được sử dụng cho bệnh nhân mắc hemangioblastoma hệ thần kinh trung ương và/hoặc võng mạc và ung thư biểu mô tế bào thận trong bệnh vHL mà không cần phẫu thuật ngay lập tức 15,17.
Tiên lượng xấu, nguyên nhân tử vong phổ biến nhất là do ung thư biểu mô tế bào thận và hemangioblastoma tiểu não 1,16.
Lịch sử và nguồn gốc tên gọi
Eugen von Hippel (1867-1939) là một bác sĩ nhãn khoa người Đức, người đã mô tả một rối loạn hiếm gặp ở võng mạc vào năm 1904 và bảy năm sau báo cáo cơ sở của bệnh này, đặt tên là "angiomatosis của võng mạc".
Arvid Vilhelm Lindau (1892-1958) là một nhà bệnh học và vi khuẩn học người Thụy Điển, người đã mô tả mối liên hệ giữa angiomatosis võng mạc và các hemangioblastoma ở tiểu não và các phần khác của hệ thần kinh trung ương cùng các thành phần nội tạng khác của một bệnh, gọi là "angiomatosis của hệ thần kinh trung ương".
Năm 1964, bệnh được đổi tên thành bệnh von Hippel-Lindau.
[SOURCE]https://radiopaedia.org/articles/von-hippel-lindau-disease-6[/SOURCE]