Series (3)
Axial T2

Bệnh Von Hippel-Lindau - biểu hiện tụy
Nguồn gốc
Dữ liệu bệnh nhân
Bệnh sử lâm sàng
Bệnh Von Hippel-Lindau và các triệu chứng của suy chức năng ngoại tiết tụy.
Chẩn đoán & Phát hiện
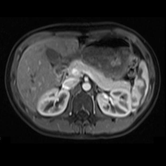
- Mô đệm tụy (pancreatic parenchyma) bị thay thế bởi nhiều nang tụy với số lượng vô số (innumerable pancreatic cysts).
- Các tổn thương nang không thông với ống tụy chính (main pancreatic duct).
DISCUSSION:
Chụp cộng hưởng từ (MRI) và cộng hưởng từ mật tụy (MRCP) tụy ở bệnh nhân mắc bệnh Von Hippel-Lindau cho thấy các nang tụy vô số (innumerable pancreatic cysts).
Ca lâm sàng do Dr. Fateme Hosseinabadi cung cấp.
Chẩn đoán
Bệnh Von Hippel-Lindau - biểu hiện tụy (Von Hippel-Lindau disease - pancreatic manifestations)
Chẩn đoán phân biệt
- 1.U nang tuyến nước (serous cystadenoma)
- 2.Tổn thương nang nhầy ác tính tiềm năng (mucinous cystic neoplasm)
- 3.U nhú nội ống tiết nhầy (intraductal papillary mucinous neoplasm)
Điểm giảng dạy
- "Bệnh Von Hippel-Lindau là một rối loạn di truyền đa hệ thống, đặc trưng bởi sự phát triển của các khối u lành tính và ác tính ở nhiều cơ quan."
- "Tổn thương tụy trong VHL thường biểu hiện dưới dạng nhiều nang không thông với ống tụy chính hoặc u nang tuyến nước."
- "Phân biệt với các tổn thương nang nhầy và u nhú nội ống tiết nhầy là rất quan trọng do nguy cơ ác tính."
Thảo luận
Bài viết liên quan
Ca bệnh liên quan

Von Hippel-Lindau disease (Bệnh Von Hippel Lindau)

Von Hippel-Lindau Disease with Spinal Hemangioblastoma (Bệnh Von Hippel-Lindau với u mạch bào ở tủy sống)

Von Hippel-Lindau Disease with Pancreatic and Renal Involvement (Bệnh Von Hippel-Lindau)

Von Hippel-Lindau Disease with Multisystem Involvement (Bệnh Von Hippel-Lindau)

Von Hippel-Lindau Disease with Bilateral Pheochromocytomas and Pancreatic Neuroendocrine Tumor (Bệnh Von Hippel-Lindau - pheochromocytoma hai bên)

Von Hippel-Lindau Syndrome - Renal Manifestations (Hội chứng Von Hippel-Lindau - biểu hiện tại thận)
Chẩn đoán phân biệt

Von Hippel Lindau Disease with Pancreatic Cysts (Von Hippel Lindau - nang tụy)

Choledochocoele (U nang ống mật chủ type III (Choledochocoele))

Insulinoma in Multiple Endocrine Neoplasia Type 1 (MEN1) (U insulin - Hội chứng đa u tuyến nội tiết type 1 (MEN type 1))

Pancreatic Endocrine Tumor (U tuyến nội tiết tụy)