Thu, Apr 9
AI Trực tuyến
Series (8)
Lateral

X-ray•Lateral•1 Img
Ca bệnhU ác tính mạch máu tâm nhĩ phải (angiosarcoma)
U ác tính mạch máu tâm nhĩ phải (angiosarcoma)
Nguồn gốc
Dữ liệu bệnh nhân
Tuổi45 year
Giới tínhMale
Bệnh sử lâm sàng
Khó thở.
Chẩn đoán & Phát hiện
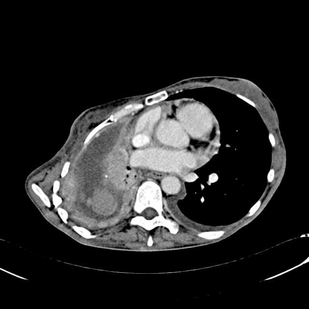
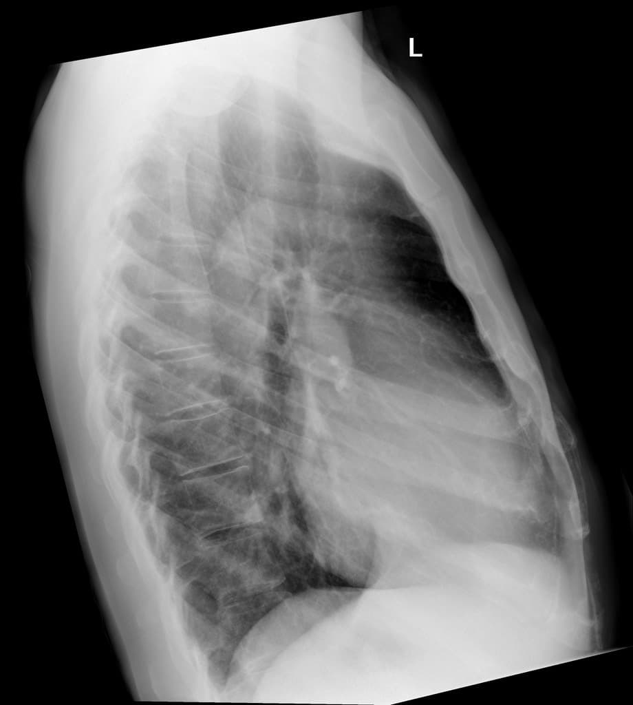
- Khối bất thường kích thước gần 9 cm ở tâm nhĩ phải, tăng quang không đồng nhất, gây hẹp đoạn nối giữa tĩnh mạch chủ trên và tâm nhĩ phải (superior cavoatrial junction).
- Khối xâm lấn màng ngoài tim với hình ảnh dày lên dạng nốt (nodular pericardial thickening) và vệt tăng tỷ trọng ở mỡ màng ngoài tim (pericardial fat stranding).
- Hơn 20 nốt nhỏ ở mỗi phổi, kích thước tối đa 6 mm, nhiều nốt có vùng mờ kính (ground-glass attenuation) xung quanh, gợi ý bệnh lý di căn xuất huyết (hemorrhagic metastatic disease).
- Tràn dịch màng phổi (pleural effusion) hai bên, lượng ít.
Kết quả giải phẫu bệnh lý
Kết quả giải phẫu bệnh lý cuối cùng.
DISCUSSION:
Hình ảnh điển hình của u ác tính mạch máu tim (angiosarcoma): các khối u ác tính nguyên phát tại tim thường gặp ở tâm nhĩ phải và xâm lấn màng ngoài tim. Các nốt phổi cho thấy bệnh lý di căn đến phổi (metastatic disease to lung).
Chẩn đoán
U ác tính mạch máu tâm nhĩ phải (angiosarcoma)
Chẩn đoán phân biệt
- 1.U lympho ác tính nguyên phát tại tim
- 2.Ung thư di căn đến tim
- 3.U trung biểu mô màng ngoài tim
Điểm giảng dạy
- "U ác tính mạch máu tim là khối u ác tính nguyên phát thường gặp nhất ở tim người lớn, thường khu trú ở tâm nhĩ phải."
- "Đặc điểm hình ảnh bao gồm khối xâm lấn ở tâm nhĩ phải, xâm lấn màng ngoài tim và thường có di căn theo đường máu, đặc biệt đến phổi."
- "Các nốt phổi kèm vùng mờ kính xung quanh gợi ý di căn xuất huyết, đặc trưng của u ác tính mạch máu."
Thảo luận
U ác tính mạch máu tâm nhĩ phải là một khối u ác tính nguyên phát hiếm gặp và rất ác tính, chiếm khoảng một phần ba các u sarcoma tim nguyên phát. Bệnh thường gặp ở người trung niên với các triệu chứng không đặc hiệu như khó thở, đau ngực hoặc tắc mạch hệ thống. Chẩn đoán hình ảnh cho thấy khối lớn, không đồng nhất, tăng quang ở tâm nhĩ phải, thường xâm lấn màng ngoài tim và đi kèm với tràn dịch màng ngoài tim. Di căn theo đường máu thường xảy ra, với phổi là vị trí phổ biến nhất. Sự hiện diện của nhiều nốt phổi kèm vùng mờ kính xung quanh rất gợi ý di căn xuất huyết, một đặc điểm đặc trưng của u ác tính mạch máu. Chẩn đoán được khẳng định bằng giải phẫu bệnh, với hình ảnh tế bào nội mô ác tính tạo thành các tiểu thể mạch máu bất thường. Tiên lượng rất xấu, thời gian sống trung bình dưới một năm, đòi hỏi chẩn đoán sớm và điều trị đa mô thức nếu khả thi.
Bài viết liên quan
Ca bệnh liên quan
Chẩn đoán phân biệt

Pericardial Metastasis from Breast and Ovarian Carcinoma (Di căn màng ngoài tim)

Tuberous Sclerosis with Cardiac Rhabdomyomas (Xơ cứng tuber và u cơ vân tim)

Cardiac Tumor - Undifferentiated Pleomorphic Sarcoma (Ung thư tim - sarcoma đa hình không biệt hóa)

Left Atrial Posterior Wall Intramural Hematoma (Khối máu tụ thành trong thành sau tâm nhĩ trái)




