Series (4)
Axial non-contrast

Metastatic hepatoid adenocarcinoma of the stomach
Nguồn gốc
Dữ liệu bệnh nhân
Bệnh sử lâm sàng
Đau bụng mơ hồ kèm theo sụt cân gần đây, khó tiêu và nôn. Nồng độ AFP huyết thanh tăng cao và các xét nghiệm chức năng gan bất thường.
Chẩn đoán & Phát hiện
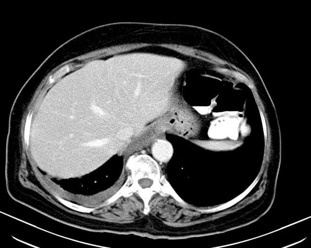
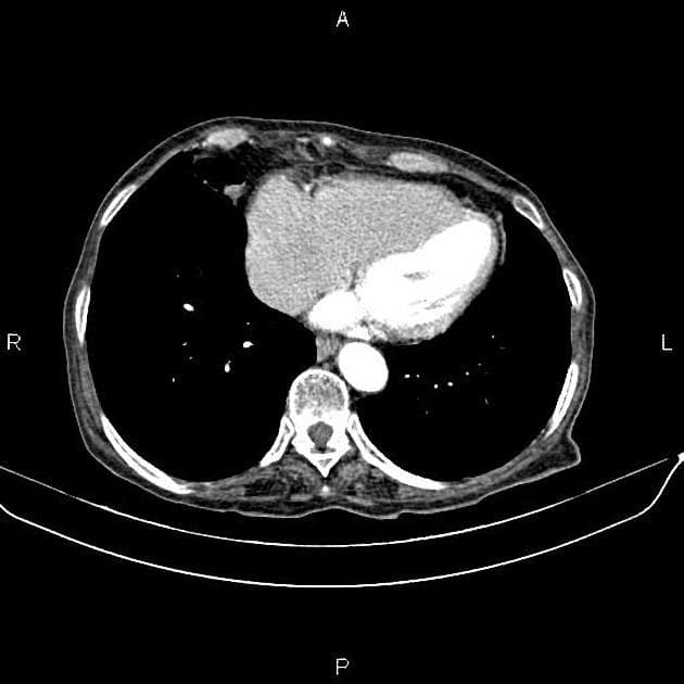
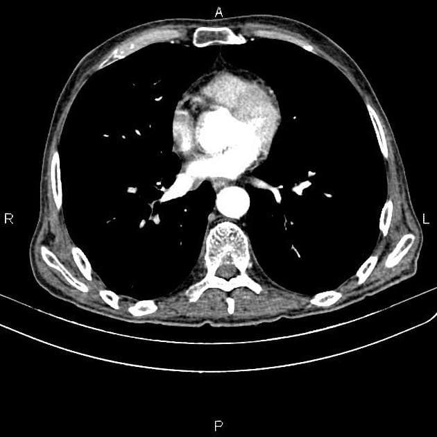
Thành dạ dày dày không đối xứng và tăng quang mạnh do thâm nhiễm u tại tâm vị và phần gần bờ cong nhỏ, kèm theo nhiều hạch bạch huyết lớn quanh dạ dày. Các hạch bạch huyết lớn này tiếp xúc sát với thùy gan trái và tuyến thượng thận trái, cùng với tình trạng tuyến thượng thận trái lớn nhẹ, gợi ý có sự xâm lấn tại chỗ. Có một hạch bạch huyết lớn nằm ở chuỗi hạch dưới hoành phải. Ngoài ra, có một khối lớn, không đồng nhất với bờ không đều ở gan, biểu hiện tăng quang ngoại vi sớm kèm washout muộn và hoại tử trung tâm rộng. Có tình trạng giãn nhẹ ống mật trong gan ở vùng ngoại vi của khối u. Phần còn lại của gan bình thường và không có dấu hiệu của xơ gan nền. Có một nang kích thước 8 mm ở lách. Một vài nang nhỏ cạnh bể thận được ghi nhận ở cả hai thận, quan sát rõ hơn trên các hình ảnh thì bài tiết. Bệnh nhân đã được thực hiện sinh thiết khối u dạ dày qua nội soi và sinh thiết kim lõi khối u gan dưới hướng dẫn siêu âm. Kết quả giải phẫu bệnh và hóa mô miễn dịch xác nhận ung thư biểu mô tuyến dạng tế bào gan nguyên phát của dạ dày kèm di căn gan. THẢO LUẬN: Trường hợp này minh họa một ca ung thư biểu mô tuyến dạng tế bào gan tiến triển ác tính của dạ dày, xuất phát từ tâm vị và phần gần bờ cong nhỏ ở một bệnh nhân lớn tuổi, biểu hiện với di căn hạch vùng tiến triển và di căn gan lớn, nồng độ AFP huyết thanh cao, cùng các đặc điểm hình ảnh có thể rất giống với ung thư biểu mô tế bào gan nguyên phát. Ung thư biểu mô tuyến dạng tế bào gan của dạ dày là một loại ung thư dạ dày hiếm gặp, có độ ác tính cao, về mặt mô học giống với ung thư biểu mô tế bào gan và thường sản sinh alpha-fetoprotein (AFP). Nó chiếm khoảng 1% các trường hợp ung thư dạ dày và thường được phát hiện ở giai đoạn muộn với di căn gan và di căn hạch. Ung thư biểu mô tế bào gan nguyên phát và ung thư biểu mô tuyến dạng tế bào gan của dạ dày di căn gan có thể có hình thái rất giống nhau; tuy nhiên, chúng khác nhau về bối cảnh lâm sàng, đặc điểm hình thái và hóa mô miễn dịch.
Chẩn đoán
Ung thư biểu mô tuyến dạng tế bào gan của dạ dày di căn
Chẩn đoán phân biệt
- 1.Ung thư biểu mô tế bào gan
- 2.Ung thư đường mật trong gan
- 3.Di căn gan
- 4.U tuyến gan
- 5.Ung thư biểu mô tế bào gan
- 6.Ung thư biểu mô tuyến dạ dày (loại thường gặp)
- 7.U túi noãn hoàng
- 8.Ung thư biểu mô tế bào gan nguyên phát
- 9.Ung thư biểu mô tuyến dạ dày di căn gan
- 10.Ung thư biểu mô tế bào gan-đường mật kết hợp
Điểm giảng dạy
- "Nồng độ AFP huyết thanh tăng cao trong bối cảnh rối loạn chức năng gan gợi ý mạnh mẽ đến ung thư biểu mô tế bào gan."
- "Các triệu chứng toàn thân như sụt cân kết hợp với xét nghiệm gan bất thường cần phải thực hiện chẩn đoán hình ảnh cắt lớp (CT hoặc MRI)."
- "Ung thư biểu mô tuyến dạng tế bào gan của dạ dày (HAS) là một biến thể hiếm gặp của ung thư dạ dày với các đặc điểm giống ung thư biểu mô tế bào gan."
- "Nó thường biểu hiện với nồng độ alpha-fetoprotein (AFP) trong huyết thanh tăng cao."
- "Bệnh lý này có tiên lượng xấu và khả năng di căn gan cao."
- "Ung thư biểu mô tuyến dạng tế bào gan của dạ dày là một phân nhóm ung thư dạ dày hiếm gặp (1%) và ác tính cao."
- "Về mặt mô học, nó giống HCC và thường xuyên sản sinh AFP."
- "Hình ảnh di căn gan có thể giống HCC nguyên phát với tăng quang sớm và washout muộn."
Thảo luận
Bài viết liên quan
Ca bệnh liên quan

Metastatic Pancreatic Cancer (Ung thư tụy di căn)

Calcified lung metastasis - osteosarcoma (Di căn phổi vôi hóa – u sụn xương)

Hepatic Neuroendocrine Tumor (U thần kinh nội tiết gan)

Adenocarcinoma of the Gastric Antrum (Ung thư biểu mô tuyến vùng môn vị dạ dày)

Pancreatic Cancer with Vascular Invasion and Hepatic Metastases (Ung thư tụy)

Gastric Cancer with Signet Ring Cell Histology (Ung thư dạ dày)