Series (14)
Lateral

Ung thư tim - sarcoma đa hình không biệt hóa
Nguồn gốc
Dữ liệu bệnh nhân
Bệnh sử lâm sàng
Sụt cân và đổ mồ hôi đêm. Siêu âm tim bất thường.
Chẩn đoán & Phát hiện
Chụp X-quang ngực phim trước-sau và nghiêng cho thấy bóng tim to. Không thấy tràn dịch màng ngoài tim (pericardial effusion) hay khối bất thường.
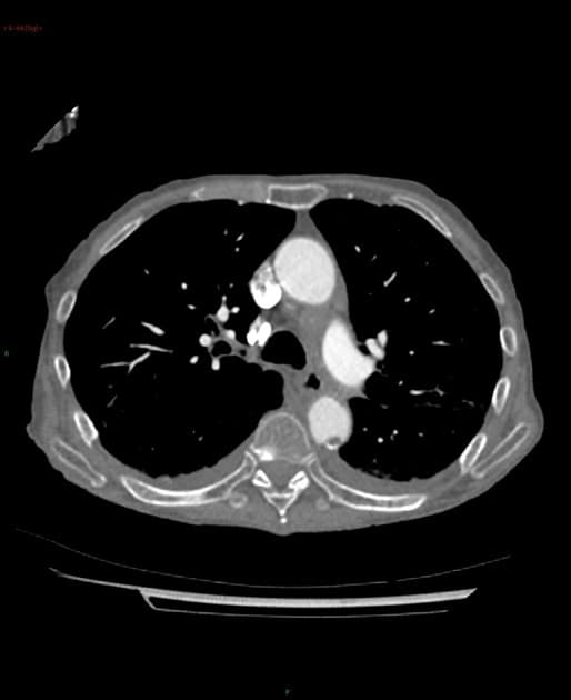
Có một khối mô mềm giới hạn không rõ (ill-defined soft tissue mass) gần như chiếm toàn bộ tâm nhĩ trái, xuyên qua vách liên nhĩ vào tâm nhĩ phải và dường như lồi vào tĩnh mạch chủ dưới (inferior vena cava - IVC) gần đoạn đầu. Khối này có độ cản âm tương đối đồng nhất (homogeneous hypoattenuation). Không thấy tăng quang đáng kể, không thấy hình ảnh hoại tử trung tâm hay vôi hóa.
Cũng ghi nhận tràn dịch màng ngoài tim mức độ trung bình, đo được độ sâu tối đa 4 cm, chủ yếu tập trung dọc theo bờ dưới của tim; chưa rõ có tổ chức đặc không tăng quang trong khoang màng ngoài tim hay không.
Đoạn gốc tĩnh mạch phổi dưới trái bị hẹp nhẹ. Nhánh sau bên của động mạch vành phải dường như bị bao quanh bởi mô mềm.
Một vài nốt nhỏ không đặc hiệu và xẹp phổi (atelectasis) dạng dải ở thuỳ dưới phổi trái. Phổi còn lại rõ. Không có tràn dịch màng phổi (pleural effusion). Không thấy tổn thương xương nghi ngờ.
Bụng và tiểu khung: gan, lách, tuyến thượng thận, tụy và thận hình dạng bình thường. Không thấy hạch to. Ruột bình thường, không giãn. Không có dịch tự do hay hơi tự do trong ổ bụng. Không thấy tổn thương xương nghi ngờ.
Kết luận: Hình ảnh phù hợp với khối u tim khu trú ở tâm nhĩ trái, xuyên qua vách liên nhĩ vào tâm nhĩ phải, kèm tràn dịch màng ngoài tim và lan vào tĩnh mạch chủ dưới (IVC extension). Đặc điểm này không điển hình cho myxoma nhĩ; cần cân nhắc sarcoma, di căn (metastasis), lymphoma hoặc huyết khối (thrombus).
Trên cộng hưởng từ (MRI): khối tổ chức mềm đồng tín hiệu T1 (T1 isointense) và tăng tín hiệu nhẹ trên T2 so với cơ, có tính chất xâm lấn, khu trú ở phần dưới tâm nhĩ trái, xuyên qua vách liên nhĩ vào tâm nhĩ phải và lan ra ngoài vòng van hai lá vào thành thất trái dưới phần nền. Thành phần nhỏ dạng thùy, dạng lá ở tâm nhĩ phải di động nhẹ, không sa xuống thất phải. Không thấy tăng tín hiệu trên T1 để gợi ý mỡ trong khối.
Chụp tưới máu (perfusion imaging) cho thấy khối kém tưới máu (hypovascularity), tăng quang nhẹ trên cả hình ảnh gadolinium sớm và muộn. Chức năng thất trái bình thường, phân suất tống máu 62%. Không thấy thành phần đặc trong tràn dịch màng ngoài tim mức độ trung bình đến nhiều.
Kết luận: Khối mô mềm kém tưới máu (hypovascular), tăng quang nhẹ, đồng tín hiệu T1 và tăng tín hiệu nhẹ trên T2 so với cơ, khu trú ở tâm nhĩ trái, xâm lấn qua vách liên nhĩ vào tâm nhĩ phải và qua vòng van hai lá vào thành nền thất trái dưới. Tràn dịch màng ngoài tim mức độ trung bình, không có hình ảnh cộng hưởng từ gợi ý chèn ép tim (tamponade).
Bệnh nhân sau đó được phẫu thuật.
MÔ TẢ HIỂN VI: Các mẫu mô cho thấy một khối u ác tính đa hình (malignant pleomorphic tumor). Khối u tạo thành các ổ và dây. Không thấy cấu trúc tuyến. Không thấy các kênh mạch máu nối thông. Tế bào khối u chủ yếu có hình biểu mô (epithelioid) với nhân to, đa hình, nhân cầu rõ và bào tương khan, giới hạn không rõ. Một số tế bào có inclusion nhân giả (intranuclear pseudoinclusions). Không thấy sắc tố nâu trong bào tương. Các hình ảnh phân bào ít gặp. Không thấy xâm lấn mạch máu hoặc bạch mạch. Một vài tế bào ưa acid được ghi nhận trong nền mô.
Tế bào khối u bắt màu dương tính với CD31 (dấu ấn tổ chức bào và mạch máu) và CD99, một phần có thể bắt màu yếu với CD10. Có bắt màu dạng hạt, khu trú bào tương với melan-A, ý nghĩa chưa rõ. Tất cả các dấu ấn hắc tố khác đều âm tính (S-100, SOX-10, HMB-45, Tyrosinase). Chỉ số Ki-67 khoảng 20%. Các dấu ấn CAM5.2, AE1/3, CK7, CK20, CDX-2, TTF-1, p40, calretinin, CD34, c-kit, desmin, actin, myogenin, CD3, CD15, CD20, CD30, CD43, CD68 và ALK-1 cũng âm tính. Loại trừ được ung thư biểu mô (carcinoma), u hắc tố (melanoma) và lymphoma. Đặc điểm này phù hợp với sarcoma đa hình không biệt hóa (undifferentiated pleomorphic sarcoma), chẩn đoán loại trừ.
CHẨN ĐOÁN CUỐI CÙNG: Sarcoma đa hình không biệt hóa (undifferentiated pleomorphic sarcoma).
THẢO LUẬN:
Ca lâm sàng do bác sĩ Elaine Lui cung cấp.
Chẩn đoán
Ung thư tim - sarcoma đa hình không biệt hóa (cardiac tumor - undifferentiated pleomorphic sarcoma)
Chẩn đoán phân biệt
- 1.U xơ nhầy tâm nhĩ
- 2.U di căn tại tim
- 3.U lympho ác tính nguyên phát tại tim
Điểm giảng dạy
- "Sarcoma đa hình không biệt hóa là một khối u ác tính nguyên phát hiếm gặp tại tim, có tính chất xâm lấn cao hơn u xơ nhầy tâm nhĩ."
- "Các sarcoma tim thường khởi phát với các triệu chứng không đặc hiệu như sụt cân, đổ mồ hôi đêm, suy tim hoặc các biến cố tắc mạch."
- "Chụp cộng hưởng từ (MRI) và CT giúp đánh giá mức độ lan rộng, tưới máu và xâm lấn của khối u; tuy nhiên, chẩn đoán xác định cần dựa vào giải phẫu bệnh và miễn dịch hóa học."
Thảo luận
Bài viết liên quan
Ca bệnh liên quan
Chẩn đoán phân biệt

Tuberous Sclerosis with Cardiac Rhabdomyomas (Xơ cứng tuber và u cơ vân tim)

Left Atrial Posterior Wall Intramural Hematoma (Khối máu tụ thành trong thành sau tâm nhĩ trái)
Cardiac Hemangioma (U mạch tim)

Right Atrial Angiosarcoma (U ác tính mạch máu tâm nhĩ phải (angiosarcoma))

Cardiac Angiosarcoma with Pulmonary Metastases (U ác tính mạch máu tim)


