Series (4)
Coronal C+ arterial phase
U mạch tim
Nguồn gốc
Dữ liệu bệnh nhân
Bệnh sử lâm sàng
Đau ngực không đặc hiệu, không có dấu hiệu suy tim
Chẩn đoán & Phát hiện
Trước thủ thuật, đã tiêm 5 mg metoprolol.
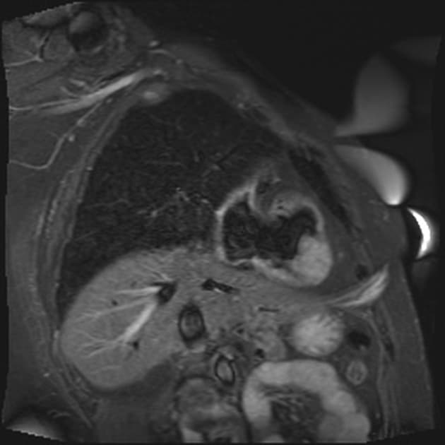
Chụp hình ghi nhận các hình ảnh sau:
-
Trong màng ngoài tim (pericardium), thấy một cấu trúc tăng tưới máu (hypervascular), đường kính tối đa 4,9 cm.
-
Ở trung tâm, ghi nhận các ổ vôi hóa (calcification) giảm tỷ trọng (hypodense).
-
Ngoài ra, tổn thương nằm giữa thân động mạch phổi (pulmonary trunk), động mạch chủ lên (ascending aorta) và tĩnh mạch phổi trái (left pulmonary vein).
-
Tổn thương dường như được dẫn lưu qua nhiều cấu trúc tĩnh mạch, cuối cùng đổ vào xoang vành (coronary sinus).
-
Không thấy rõ nguồn cấp máu động mạch.
-
Cũng không thấy kết nối trực tiếp với các động mạch vành (coronaries).
-
Một số nhánh nhỏ của động mạch vành phải (right coronary artery) có thể nuôi dưỡng tổn thương, nhưng không thấy kết nối rõ ràng nào.
-
So với động mạch chủ và các động mạch vành, tổn thương này có tỷ trọng thấp hơn.
-
Tổn thương không có biểu hiện xâm lấn.
-
Các động mạch vành không thấy hẹp (stenosis) hay bất thường thành mạch.
Lưu ý: Các động mạch vành không có biểu hiện tăng sản (hyperplastic), như thường thấy trong các dị dạng động tĩnh mạch (arteriovenous malformations) hoặc dò động tĩnh mạch (fistulas).
- Tổn thương đồng nhất (homogeneous) với vôi hóa trung tâm, có hiện tượng tăng quang muộn (late enhancement), gợi ý thành phần tĩnh mạch.
DISCUSSION:
U mạch tim (cardiac hemangioma) là các dị dạng mạch máu, gồm nhiều ống mạch thành mỏng được lót bởi tế bào nội mô, xen kẽ là mô mỡ và vách xơ. Bệnh thường gặp ở bệnh nhân không có triệu chứng. Tuy nhiên, do không có khuynh hướng vị trí đặc hiệu, các triệu chứng lâm sàng có thể xuất hiện tùy theo vị trí và kích thước khối u. Điều trị phẫu thuật được khuyến cáo ở bệnh nhân có triệu chứng, vì tiên lượng sau khi cắt bỏ rất tốt.
Dịch tễ học:
U mạch tim là tổn thương lành tính hiếm gặp, chiếm tỷ lệ 1–10% trong tất cả các khối u tim lành tính được phát hiện.
Liên quan lâm sàng:
U mạch tim có thể xuất hiện trong hội chứng Kasabach-Merritt, đặc trưng bởi nhiều u mạch hệ thống kết hợp với giảm tiểu cầu tái phát và rối loạn đông máu tiêu hao.
Triệu chứng lâm sàng:
Hầu hết u mạch tim không có triệu chứng. Tuy nhiên, chúng có thể gây tràn dịch màng ngoài tim (pericardial effusion), tiếng thổi tim không triệu chứng, rối loạn nhịp tim (arrhythmias), tràn máu màng ngoài tim (hemopericardium), chèn ép tim (cardiac tamponade), bloc nhĩ thất hoàn toàn hoặc thậm chí đột tử. Ngoài ra, các khối u này cũng được cho là có liên quan đến các biểu hiện thần kinh.
Giải phẫu bệnh:
Các dị dạng mạch máu này gồm nhiều ống mạch thành mỏng được lót bởi tế bào nội mô, xen kẽ là mô mỡ và vách xơ. Phân loại mô học dựa trên kích thước các ống mạch thành ba dạng:
- Dạng mao mạch (capillary): gồm các mạch nhỏ giống mao mạch.
- Dạng hang (cavernous): gồm nhiều mạch thành mỏng, giãn rộng.
- Dạng động-tĩnh mạch (arteriovenous): gồm các động mạch dạng loạn sản thành dày, mạch giống tĩnh mạch và mao mạch.
Dạng hang và dạng mao mạch là hai thể thường gặp nhất; ngoài ra, thể kết hợp cả ba dạng cũng được ghi nhận, cùng với thành phần xơ và mỡ.
Vị trí:
U mạch tim có thể xuất hiện ở bất kỳ vị trí nào trong tim, liên quan đến bất kỳ lớp nào của tim: nội tâm mạc (endocardium), cơ tim (myocardium) hoặc màng ngoài tim (pericardium). Trước đây, tâm nhĩ trái được cho là vị trí hay gặp nhất của các khối u tim. Tuy nhiên, bằng chứng gần đây cho thấy không có khuynh hướng đặc hiệu về buồng tim. Do đó, u mạch tim có thể xuất hiện ở bất kỳ vị trí nào từ màng ngoài tim đến nội tâm mạc.
Đặc điểm hình ảnh:
Siêu âm / Siêu âm tim (Echocardiography):
- Trên siêu âm, u mạch tim thường tăng âm (hyperechoic).
Chụp động mạch vành (Angiography):
- Chụp động mạch vành cho thấy nguồn cấp máu cho khối u, đặc trưng bởi hình ảnh tưới máu dạng "blush", đặc biệt ở thể mao mạch và thể động-tĩnh mạch – các thể có lưu lượng máu nhanh.
- Thể hang có các khoang mạch lớn với lưu lượng rất chậm, do đó thường không tăng quang rõ trên chụp động mạch.
Chụp CT ngực:
- Trên CT không tiêm thuốc cản quang: hình ảnh không đồng nhất (heterogeneous).
- Trong hầu hết các trường hợp, tổn thương tăng quang mạnh sau khi tiêm thuốc cản quang.
- Các ổ vôi hóa cũng có thể thấy.
Chụp MRI:
- U mạch được thấy như một khối không đồng nhất (heterogeneous), có tín hiệu trung bình đến cao trên hình ảnh cộng hưởng từ trọng T1 do lưu lượng máu chậm.
- Trên hình ảnh trọng T2, tín hiệu lan tỏa tăng cao (diffusely high signal).
- Tăng quang sau tiêm thuốc: không đồng nhất, mạnh và kéo dài, trừ các tổn thương lưu lượng máu thấp.
Các biến chứng có thể xảy ra:
- Rối loạn nhịp tim (cardiac arrhythmias)
- Tăng trưởng trong buồng tim có thể gây:
- Chèn ép đường ra thất (ventricular outflow tract obstruction)
- Tổn thương van tim (valvular compromise)
- Làm gián đoạn dòng máu trong tim, dẫn đến suy tim sung huyết và cổ trướng (hydrops)
Điều trị và tiên lượng:
U mạch tim có thể được cắt bỏ thành công. Phẫu thuật cắt bỏ là phương pháp điều trị lựa chọn đối với các tổn thương có triệu chứng hoặc khi chẩn đoán còn nghi ngờ. Tiên lượng dài hạn ở bệnh nhân được phẫu thuật do tổn thương có triệu chứng là rất tốt. Đã có báo cáo về hiện tượng teo tự phát của u mạch tim, do đó phẫu thuật không phải lúc nào cũng cần thiết, đặc biệt với các u rộng nhưng không triệu chứng, mà việc cắt bỏ sẽ phức tạp và tiềm ẩn nguy cơ.
Chẩn đoán phân biệt:
Việc phân biệt với các khối ác tính và huyết khối rất quan trọng, vì ảnh hưởng lớn đến tiên lượng và nhu cầu điều trị (cấp tính hay không).
Chẩn đoán phân biệt bao gồm:
- Huyết khối (thrombus)
- Khối u lành tính nguyên phát
- u nhầy (myxoma)
- u mô đệm sợi đàn hồi (fibroelastoma)
- u mỡ (lipoma)
- u paraganglioma
- u xơ (fibroma)
- Khối u ác tính nguyên phát
- sarcoma
- lymphoma
- u tổ chức bào xơ ác tính (malignant fibrous histiocytoma)
- Khối u ác tính màng ngoài tim (pericardial malignancy)
- Di căn (metastasis)
Chẩn đoán
U mạch gan (Hepatic hemangioma)
Chẩn đoán phân biệt
- 1.Huyết khối
- 2.U nhầy tim
- 3.Di căn màng ngoài tim
Điểm giảng dạy
- "U mạch tim là khối u mạch lành tính hiếm gặp, có thể biểu hiện bằng các triệu chứng không đặc hiệu hoặc được phát hiện tình cờ."
- "Các đặc điểm hình ảnh như tăng quang muộn trên CT/MRI và vôi hóa trung tâm giúp phân biệt u mạch với các khối u tim khác."
- "Phẫu thuật cắt bỏ được khuyến nghị trong các trường hợp có triệu chứng, trong khi các tổn thương không triệu chứng có thể được theo dõi do tiên lượng tốt sau khi cắt bỏ."
Thảo luận
Bài viết liên quan
Chẩn đoán phân biệt

Pericardial Metastasis from Breast and Ovarian Carcinoma (Di căn màng ngoài tim)

Tuberous Sclerosis with Cardiac Rhabdomyomas (Xơ cứng tuber và u cơ vân tim)

Cardiac Tumor - Undifferentiated Pleomorphic Sarcoma (Ung thư tim - sarcoma đa hình không biệt hóa)

Left Atrial Posterior Wall Intramural Hematoma (Khối máu tụ thành trong thành sau tâm nhĩ trái)

Cardiac Angiosarcoma with Pulmonary Metastases (U ác tính mạch máu tim)

Intracardiac Metastasis from Known Renal Cell Carcinoma (Di căn nội tâm thất từ ung thư tế bào thận đã biết)