Series (9)
Axial T2

Đa xơ cứng khởi phát ở nhi khoa
Nguồn gốc
Dữ liệu bệnh nhân
Bệnh sử lâm sàng
Đau đầu.
Chẩn đoán & Phát hiện
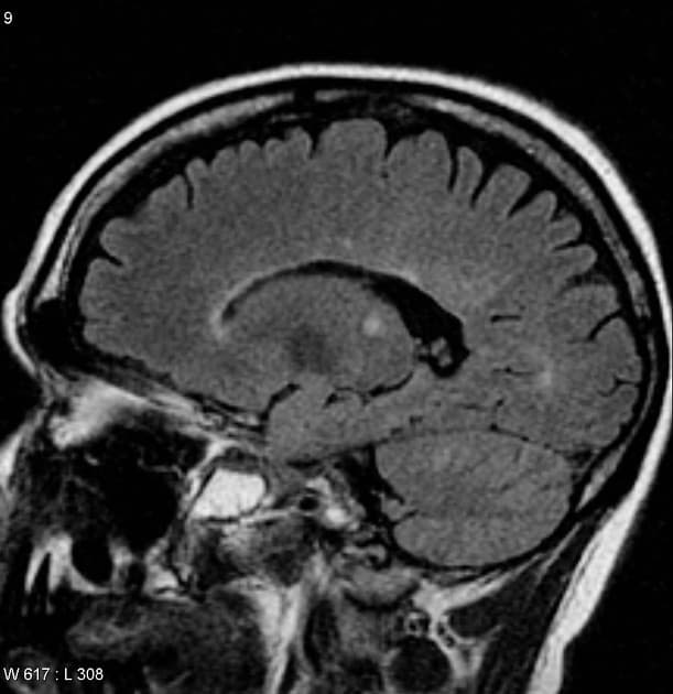
- Ghi nhận nhiều tổn thương kích thước thay đổi, ở hai bên tại vùng quanh não thất (periventricular), vùng cận vỏ (juxtacortical), vùng tiểu não, chi sau bên trái của bao trong (left posterior limb of the internal capsule) và cánh cầu bên trái (left brachium pontis).
- Các tổn thương vùng quanh não thất định hướng vuông góc với não thất (Dawson fingers).
- Các tổn thương biểu hiện tín hiệu giảm trên T1, tăng tín hiệu trên T2 và FLAIR.
- Một số tổn thương cho thấy hiện tượng T2 shine-through (tín hiệu tăng trên DWI và ADC tăng), trong khi một số khác, chủ yếu là các tổn thương quanh não thất, biểu hiện tín hiệu sáng dạng viền trên DWI với ADC ngoại vi giảm (hạn chế khuếch tán thật sự – true restriction).
- SWI phát hiện dấu hiệu tĩnh mạch trung tâm (central vein sign) tại tổn thương ở chi sau của bao trong (PLIC).
DISCUSSION:
- Đa xơ cứng khởi phát ở nhi khoa (pediatric-onset multiple sclerosis – POMS) chiếm ít hơn 5% tổng số ca đa xơ cứng (multiple sclerosis – MS), nhưng những cá thể khởi phát bệnh trong thời thơ ấu có xu hướng phát triển tàn phế vĩnh viễn ở độ tuổi trẻ hơn so với những người khởi phát bệnh ở tuổi trưởng thành 1.
- Các tổn thương mất bao myelin cấp tính trong dạng tái phát – thuyên giảm của đa xơ cứng (relapsing–remitting multiple sclerosis – RRMS) thường biểu hiện phù vận mạch (vasogenic edema) với khuếch tán tăng và ADC tăng (hiện tượng T2 shine-through). Tuy nhiên, một số báo cáo cho thấy một số tổn thương đa xơ cứng cấp tính có thể biểu hiện hạn chế khuếch tán thật sự (true diffusion restriction) 2.
- Ở trẻ em, chẩn đoán phân biệt của đa xơ cứng (MS) bao gồm hội chứng lâm sàng cô lập (clinically isolated syndrome – CIS), viêm não tủy rải rác cấp tính (acute disseminated encephalomyelitis – ADEM) và các rối loạn trong phổ viêm thần kinh thị – tủy (neuromyelitis optica spectrum disorders – NMOSD) 1.
- Mặc dù không có hình ảnh trước đó để so sánh và chưa thực hiện chụp có tiêm thuốc cản quang, các phát hiện ghi nhận rất gợi ý bệnh đa xơ cứng đang hoạt động. Thực tế, bệnh nhân này đã được chẩn đoán xác định đa xơ cứng trước thời điểm thực hiện chụp.
Chẩn đoán
Đa xơ cứng khởi phát ở nhi khoa (pediatric-onset multiple sclerosis)
Chẩn đoán phân biệt
- 1.Viêm não tủy rải rác cấp tính (ADEM)
- 2.Rối loạn trong phổ viêm thần kinh thị – tủy (NMOSD)
- 3.Hội chứng lâm sàng cô lập (CIS)
Điểm giảng dạy
- "Đa xơ cứng khởi phát ở nhi khoa (POMS) chiếm dưới 5% các trường hợp đa xơ cứng nhưng dẫn đến tàn phế sớm hơn."
- "Các tổn thương mất myelin cấp tính trong RRMS thường biểu hiện hiện tượng T2 shine-through; tuy nhiên, hạn chế khuếch tán thật sự có thể xảy ra ở một số tổn thương hoạt động."
- "Sự hiện diện của ngón Dawson và dấu hiệu tĩnh mạch trung tâm trên MRI hỗ trợ mạnh cho chẩn đoán đa xơ cứng."
Thảo luận
Bài viết liên quan
Ca bệnh liên quan

Multiple Sclerosis with Dissemination in Space and Time on MRI (Xơ cứng rải rác)

Multiple Sclerosis (Xơ cứng rải rác)

Multiple Sclerosis (Xơ cứng rải rác)

Advanced Multiple Sclerosis (Xơ cứng rải rác: giai đoạn tiến triển)

Multiple Sclerosis with T1 Hyperintense Lesions (Xơ cứng rải rác)

Multiple Sclerosis (Xơ cứng rải rác)
Chẩn đoán phân biệt

Multiple Sclerosis of the Spine (Xơ cứng rải rác ở tủy sống)

Multiple Sclerosis (Xơ cứng rải rác)

Multiple Sclerosis Involving Brain and Spinal Cord (Xơ cứng rải rác - não và tủy sống)

Multiple Sclerosis (Xơ cứng rải rác)

Toxic Leukoencephalopathy due to Methotrexate (Bệnh lý chất trắng do độc chất – methotrexate)

Multiple Sclerosis with Disseminated White Matter and Spinal Cord Lesions (Xơ cứng rải rác)