Series (3)
Sagittal FLAIR

Xơ cứng rải rác
Nguồn gốc
Bệnh sử lâm sàng
Chẩn đoán & Phát hiện
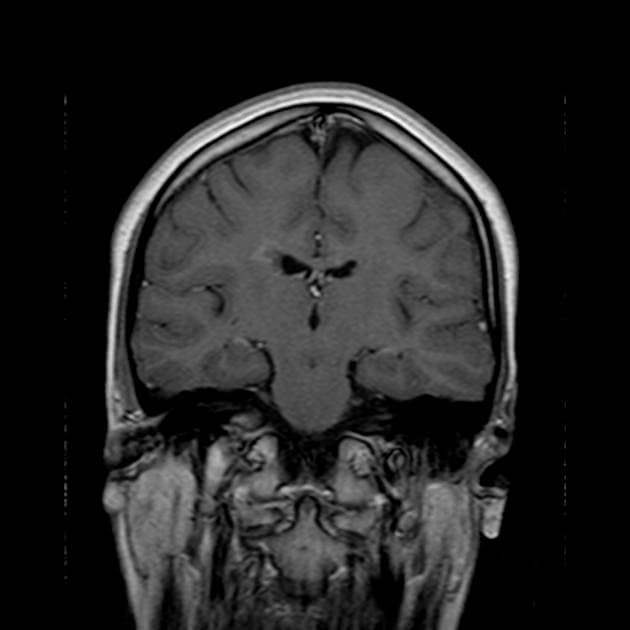
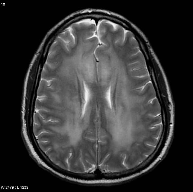
Chụp cộng hưởng từ (MRI) cho thấy các đặc điểm điển hình của bệnh xơ cứng rải rác. Ngoài ra, một số tổn thương có tín hiệu tăng trên hình ảnh T1 (T1 hyperintense).
Các phát hiện chính:
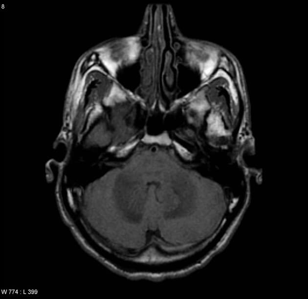
- Các tổn thương rải rác, dạng vệt hoặc hình tròn, tăng tín hiệu trên hình ảnh khuếch tán (diffusion-weighted imaging), khu trú chủ yếu ở vùng chất trắng quanh thất (periventricular white matter), chất trắng ở bán nguyệt (juxtacortical white matter), thân gai thị – giao thoa thị giác (optic radiation – optic chiasm), và thân não (brainstem) – phù hợp với đặc điểm của xơ cứng rải rác (multiple sclerosis).
- Một số tổn thương có tín hiệu tăng trên T1 (T1 hyperintense lesions) – gợi ý tổn thương mạn tính, liên quan đến mức độ tàn phế tăng và teo não (atrophy).
- Không có bằng chứng của phù độc tế bào (cytotoxic edema) cấp tính hay hạn chế khuếch tán (restricted diffusion) mới.
- Các cấu trúc não sâu như các nhân nền (basal ganglia) và thùy đảo (insula) không bị tổn thương.
- Đa giác Willis (Circle of Willis) và các động mạch não trước (anterior cerebral artery), động mạch não giữa (middle cerebral artery), động mạch não sau (posterior cerebral artery) thông thoáng, không thấy tắc mạch (occlusion), bóc tách (dissection) hay tuần hoàn bàng hệ (collateral circulation) bất thường.
- Không thấy xuất huyết (hemorrhagic), tăng tỷ trọng (hyperdense) hay huyết khối thành mạch (mural thrombus).
- Thể chai (corpus callosum) có tổn thương dạng dải ngang (Dawson's fingers) – đặc trưng của xơ cứng rải rác (multiple sclerosis).
- Không có tổn thương màng não (leptomeningeal) hay ngấm thuốc viền (rim enhancement).
- Các não thất và khe não bình thường về kích thước, không thấy giãn não thất (hydrocephalus) hay xóa (rãnh não/bể não) (effacement).
Chẩn đoán
Xơ cứng rải rác (multiple sclerosis)
Chẩn đoán phân biệt
- 1.Rối loạn thần kinh thị - tủy (neuromyelitis optica spectrum disorder)
- 2.Viêm tủy não lan tỏa cấp tính
- 3.Lupus hệ thần kinh trung ương
Điểm giảng dạy
- "Tổn thương tăng tín hiệu trên T1 trong xơ cứng rải rác liên quan đến tính chất mạn tính, mức độ tàn phế tăng và teo não."
- "Dawson's fingers là các tổn thương ở chất trắng quanh thất, định hướng vuông góc với não thất, đặc trưng cho xơ cứng rải rác."
- "Việc không có hạn chế khuếch tán, xuất huyết hay ngấm thuốc viền màng não giúp phân biệt xơ cứng rải rác với các bệnh viêm hoặc nhiễm trùng khác."
Thảo luận
Bài viết liên quan
Ca bệnh liên quan

Multiple Sclerosis with Dissemination in Space and Time on MRI (Xơ cứng rải rác)

Multiple Sclerosis of the Spine (Xơ cứng rải rác ở tủy sống)

Multiple Sclerosis and Trigeminal Neuralgia with Neurovascular Contact (Xơ cứng rải rác và đau dây thần kinh sinh ba)

Multiple Sclerosis (Xơ cứng rải rác)

Multiple Sclerosis Involving Brain and Spinal Cord (Xơ cứng rải rác - não và tủy sống)

Multiple Sclerosis (Xơ cứng rải rác)
Chẩn đoán phân biệt

Toxic Leukoencephalopathy due to Methotrexate (Bệnh lý chất trắng do độc chất – methotrexate)

Delayed Posthypoxic Leukoencephalopathy (Bệnh lý thoái hóa trắng sau thiếu oxy chậm)

Toxic Leukoencephalopathy Due to Chemotherapy (Bệnh lý chất trắng do độc chất)

Myelin Oligodendrocyte Glycoprotein Antibody-Associated Disease (MOGAD) (Bệnh liên quan đến kháng thể myelin oligodendrocyte glycoprotein (MOGAD))

Toxic Leukoencephalopathy (Bệnh não độc chất)

Leukoencephalopathy due to Heroin Inhalation (Chasing the dragon)