Series (6)
Axial FLAIR

Bệnh lý chất trắng do độc chất
Nguồn gốc
Dữ liệu bệnh nhân
Bệnh sử lâm sàng
Trường hợp đã biết u ác tính dạ dày, đang điều trị hóa trị (5-fluorouracil, oxaliplatin và docetaxel, kết hợp axit folinic), lơ mơ, nôn ói.
Chẩn đoán & Phát hiện
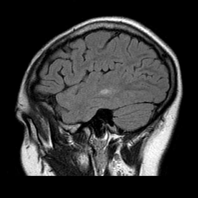
- Tăng tín hiệu trên hình ảnh T2/FLAIR kèm hạn chế khuếch tán rõ rệt, đối xứng hai bên, ảnh hưởng đến chất trắng, đặc biệt vùng trên lều (bán nguyệt phóng xạ, trung tâm bán nguyệt), cuống tiểu não giữa, và chi sau của bao trong, lan xuống đến cuống não.
- Các sợi U dưới vỏ được bảo tồn (nhận thấy rõ nhất trên FLAIR và T2).
DISCUSSION:
Bệnh nhân này có tiền sử u ác tính dạ dày đang hóa trị, biểu hiện lâm sàng là lơ mơ và nôn ói.
Hình ảnh tổn thương đặc trưng bởi tính đối xứng rõ rệt, khu trú ở những vùng chất trắng cụ thể và bảo tồn các sợi U dưới vỏ (subcortical U-fibers).
Tổn thương khu trú tại cuống tiểu não giữa hai bên (bilateral middle cerebellar peduncles) gợi ý một danh sách chẩn đoán phân biệt đặc hiệu; tuy nhiên, hầu hết các nguyên nhân khác không phù hợp với bối cảnh lâm sàng này.
Trong bối cảnh hóa trị, những thay đổi hình ảnh này gần như chắc chắn biểu hiện cho bệnh lý chất trắng do độc chất (toxic leukoencephalopathy), nguyên nhân có khả năng nhất là do 5-fluorouracil.
Chẩn đoán
Bệnh lý chất trắng do độc chất (toxic leukoencephalopathy)
Chẩn đoán phân biệt
- 1.Hội chứng não sau ngược (PRES)
- 2.Viêm não tủy rải rác cấp (ADEM)
- 3.Bệnh lý chất trắng do rối loạn chuyển hóa liên quan đến thiếu hấp thu methionine
Điểm giảng dạy
- "Bệnh lý chất trắng do độc chất có thể do các thuốc hóa trị, đặc biệt là 5-fluorouracil, với hình ảnh tổn thương chất trắng đối xứng."
- "Việc bảo tồn các sợi U dưới vỏ là đặc điểm hình ảnh quan trọng giúp phân biệt bệnh lý chất trắng do độc chất hoặc chuyển hóa với các bệnh mất myelin."
- "Tổn thương đối xứng hai cuống tiểu não giữa là dấu hiệu đặc trưng của độc tính thần kinh do fluorouracil."
Thảo luận
Bài viết liên quan
Ca bệnh liên quan

PI-RADS 4 lesion

Cerebellar Abscess (Áp xe tiểu não)

Cerebral Abscess in a Patient with Sickle Cell Anemia (Áp xe não)

Cervical carcinoma - stage IIIC1

Acute Toxic Encephalopathy Due to 5-FU Chemotherapy (Bệnh não độc cấp tính)

Cerebral Abscesses due to Streptococcus intermedius (Áp xe não (cerebral abscesses))
Chẩn đoán phân biệt

Multiple Sclerosis with Dissemination in Space and Time on MRI (Xơ cứng rải rác)

Multiple Sclerosis of the Spine (Xơ cứng rải rác ở tủy sống)

Multiple Sclerosis (Xơ cứng rải rác)

Multiple Sclerosis Involving Brain and Spinal Cord (Xơ cứng rải rác - não và tủy sống)

Multiple Sclerosis (Xơ cứng rải rác)

Multiple Sclerosis (Xơ cứng rải rác)