Thu, Apr 9
AI Trực tuyến
Series (14)
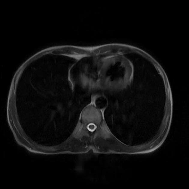
Axial T2

MRI•Axial T2•1 / 24
Ca bệnhUng thư cổ tử cung - giai đoạn IIIC1
Ung thư cổ tử cung - giai đoạn IIIC1
Nguồn gốc
Dữ liệu bệnh nhân
Tuổi45 year
Giới tínhFemale
Bệnh sử lâm sàng
Chảy máu âm đạo từng cơn, không đau.
Chẩn đoán & Phát hiện
- Một tổn thương khối lớn quanh cổ tử cung, lan tỏa, tín hiệu trên cộng hưởng từ trọng T2 là trung gian, có hạn chế khuếch tán nước rõ rệt.
DISCUSSION:
- Giai đoạn IIIC1 của ung thư cổ tử cung được xác định theo hệ thống phân giai đoạn FIGO.
- Báo cáo giải phẫu bệnh sau sinh thiết khối u cổ tử cung: ung thư tế bào vảy cổ tử cung (squamous cell carcinoma of the cervix).
Chẩn đoán
- Ung thư cổ tử cung - giai đoạn IIIC1 (cervical carcinoma - stage IIIC1)
Chẩn đoán phân biệt
- 1.Ung thư tuyến cổ tử cung
- 2.U lympho cổ tử cung
- 3.Viêm cổ tử cung do lao
Điểm giảng dạy
- "Ung thư cổ tử cung giai đoạn IIIC1 được xác định khi có di căn hạch vùng chậu theo hình ảnh học."
- "Ung thư tế bào vảy là dạng mô học phổ biến nhất của ung thư cổ tử cung."
- "Hạn chế khuếch tán nước rõ rệt trên cộng hưởng từ khuếch tán phản ánh tình trạng tế bào dày đặc trong khối u ác tính."
Thảo luận
Ung thư cổ tử cung giai đoạn IIIC1, theo hệ thống phân giai đoạn FIGO 2018, ám chỉ ung thư cổ tử cung có di căn hạch chậu được xác nhận bằng hình ảnh học hoặc giải phẫu bệnh, không có di căn xa. Giai đoạn này là điểm then chốt trong tiến triển bệnh, khi cần kết hợp kiểm soát tại chỗ với điều trị toàn thân. Dạng mô học chính trong trường hợp này là ung thư tế bào vảy, chiếm khoảng 70-80% các ca ung thư cổ tử cung, thường khởi phát từ vùng chuyển tiếp của cổ tử cung. Cộng hưởng từ (MRI) đóng vai trò quan trọng trong đánh giá giai đoạn tại chỗ, bao gồm kích thước khối u, xâm lấn tổ chức quanh cổ tử cung và hạch vùng. Hình ảnh hạn chế khuếch tán rõ rệt trên chuỗi DWI hỗ trợ chẩn đoán khối u ác tính dày đặc tế bào. Điều trị chủ yếu là hóa xạ trị đồng thời, sau đó xem xét điều trị bổ trợ tùy theo đáp ứng và tổn thương còn lại.
Bài viết liên quan
Ca bệnh liên quan

PI-RADS 4 lesion

Cerebellar Abscess (Áp xe tiểu não)

Cerebral Abscess in a Patient with Sickle Cell Anemia (Áp xe não)

Acute Toxic Encephalopathy Due to 5-FU Chemotherapy (Bệnh não độc cấp tính)

Cerebral Abscesses due to Streptococcus intermedius (Áp xe não (cerebral abscesses))

Cervical carcinoma - stage IIIC1
