Series (3)
Axial DWI

Bệnh lý thoái hóa trắng sau thiếu oxy chậm
Nguồn gốc
Dữ liệu bệnh nhân
Bệnh sử lâm sàng
Bệnh nhân 9 ngày sau khi cố tự tử bằng cách thắt cổ, có ngừng tim ngoài bệnh viện. Lâm sàng ghi nhận bệnh nhân trong tình trạng hôn mê, không có phản xạ thức tỉnh, không có phản xạ thân não, ngoại trừ duy trì hoạt động hô hấp, kèm theo các cơn co giật lặp đi lặp lại.
Chẩn đoán & Phát hiện
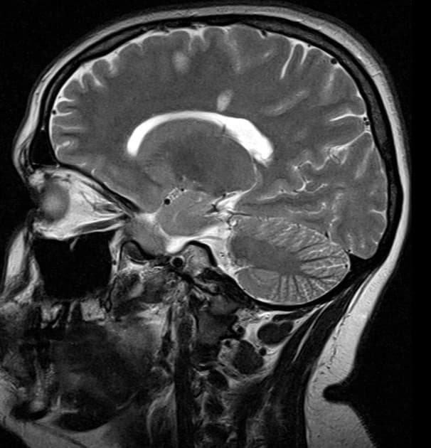
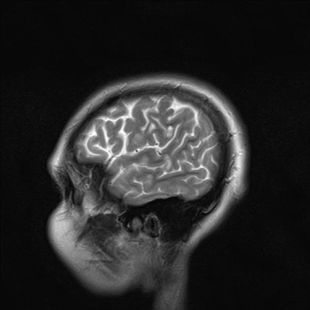
- Hạn chế khuếch tán (restricted diffusion) lan tỏa ở chất trắng vùng trên lều tiểu não, tương ứng với các vùng tăng tín hiệu trên hình ảnh FLAIR.
- Ngoài ra, có các vùng tăng tín hiệu trên FLAIR ở dải vỏ não (cortical ribbon) và các nhân nền (basal ganglia) hai bên, với hạn chế khuếch tán tương ứng nhẹ ở vùng vỏ quanh vận động (peri-rolandic cortex).
Xét theo tiền sử bệnh lý, các phát hiện hình ảnh này phù hợp với bệnh lý thoái hóa trắng sau thiếu oxy chậm (delayed posthypoxic leukoencephalopathy) sau tổn thương não do thiếu oxy-thiếu máu (hypoxic-ischemic encephalopathy).
Chẩn đoán
Bệnh lý thoái hóa trắng sau thiếu oxy chậm (delayed posthypoxic leukoencephalopathy)
Chẩn đoán phân biệt
- 1.Viêm não tủy rải rác cấp tính
- 2.Bệnh lý chất trắng do độc chất
- 3.Bệnh Creutzfeldt-Jakob
Điểm giảng dạy
- "Bệnh lý thoái hóa trắng sau thiếu oxy chậm thường xuất hiện sau vài ngày đến vài tuần kể từ chấn thương thiếu oxy-thiếu máu, sau một giai đoạn hồi phục tạm thời."
- "Chụp cộng hưởng từ cho thấy hạn chế khuếch tán lan tỏa ở chất trắng và tăng tín hiệu trên FLAIR, thường kèm theo tổn thương ở vỏ não và nhân nền."
- "Cơ chế bệnh sinh được cho là liên quan đến thoái hóa myelin thứ phát do tổn thương chọn lọc các tế bào oligodendrocyte ở chất trắng sau tình trạng thiếu oxy."
Thảo luận
Bài viết liên quan
Ca bệnh liên quan
Chẩn đoán phân biệt

Multiple Sclerosis with Dissemination in Space and Time on MRI (Xơ cứng rải rác)

Multiple Sclerosis of the Spine (Xơ cứng rải rác ở tủy sống)

Multiple Sclerosis (Xơ cứng rải rác)

Multiple Sclerosis Involving Brain and Spinal Cord (Xơ cứng rải rác - não và tủy sống)

Multiple Sclerosis (Xơ cứng rải rác)

Multiple Sclerosis (Xơ cứng rải rác)




