Series (4)
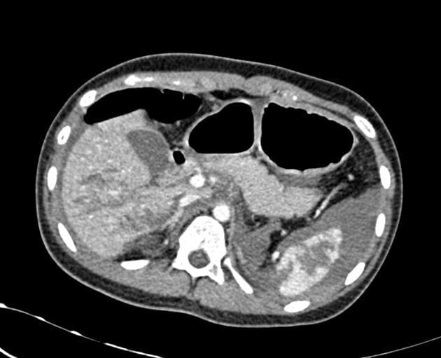
Axial C+ portal venous phase

Chấn thương gan - độ IV theo phân loại AAST
Nguồn gốc
Dữ liệu bệnh nhân
Bệnh sử lâm sàng
Đau bụng sau chấn thương bụng kín do tai nạn giao thông. Men gan tăng (ALT/AST = 451/505 U/L).
Chẩn đoán & Phát hiện
- Ghi nhận một vết rách gan kèm theo huyết khối trong nhu mô gan, ảnh hưởng đến các phân đoạn IV, V và VIII theo phân loại Couinaud, kích thước khoảng 82 x 65 x 82 mm, có điểm chảy máu hoạt động (active bleeding site) bên trong.
- Có một lượng nhỏ huyết khối dưới vỏ (subcapsular hematoma) ở mặt trước gan.
- Chấn thương đụng dập thận phải nghi ngờ (suspected renal contusion) kèm theo huyết khối dưới vỏ (subcapsular hematoma), độ I theo phân loại AAST.
- Dịch tự do (free fluid) có độ cản quang thấp (<10 HU) được quan sát thấy trong ổ bụng chậu.
- Nhiều nang nhỏ ở thận trái, bao gồm cả nang đơn thuần và nang phức tạp.
- Không phát hiện liềm hơi dưới hoành (pneumoperitoneum).
THẢO LUẬN:
Hình ảnh học phù hợp với tổn thương gan độ IV theo phân loại AAST, có chảy máu hoạt động (active hemorrhage), kèm theo tổn thương thận phải độ I.
Tình trạng lâm sàng và huyết động của bệnh nhân ổn định, kết quả xét nghiệm máu, bao gồm số lượng hồng cầu và nồng độ hemoglobin, trong giới hạn bình thường. Điều trị bảo tồn nội khoa được khuyến nghị.
Chẩn đoán
Chấn thương gan - độ IV theo phân loại AAST (Liver trauma - AAST grade IV)
Chẩn đoán phân biệt
- 1.Vỡ gan với chảy máu hoạt động
- 2.Vết rách gan độ IV kèm huyết khối trong nhu mô
- 3.Chấn thương gan do lực đụng dập với mất ổn định huyết động
Điểm giảng dạy
- "Tổn thương gan độ IV theo AAST liên quan đến hơn 25% thùy gan hoặc vết rách sâu xâm lấn nhánh lớn của tĩnh mạch cửa hoặc tĩnh mạch gan."
- "Sự hiện diện của chảy máu hoạt động trên CT có cản quang cho thấy tổn thương nguy cơ cao, cần theo dõi sát hoặc can thiệp."
- "Điều trị bảo tồn khả thi ở bệnh nhân ổn định huyết động dù bị chấn thương gan độ IV."
Thảo luận
Bài viết liên quan
Ca bệnh liên quan

Chronic Subcapsular Hepatic Hematoma (Khối máu tụ dưới vỏ gan mạn tính)

Hepatic Hematoma in HELLP Syndrome (Khối máu tụ gan trong hội chứng HELLP)

Hepatic adenoma - with spontaneous rupture

Liver Laceration - AAST Grade IV (Vết rách gan - độ IV theo phân loại AAST)

Multiorgan Trauma with Grade V Renal Injury (Chấn thương đa cơ quan với tổn thương thận độ V)

Liver Laceration Due to Laparoscopic Port Insertion (Vết rách gan do chèn dụng cụ nội soi ổ bụng)
Chẩn đoán phân biệt

Inferior Vena Cava Laceration Following Blunt Trauma (Vết rách tĩnh mạch chủ dưới)

Hepatic Laceration Due to Penetrating Abdominal Trauma (Vết rách gan do chấn thương xuyên thủng)

Traumatic Liver Laceration (Gross Pathology) (Vết rách gan do chấn thương (giải phẫu bệnh đại thể))

Liver Trauma Grading According to the 2018 AAST Classification (Phân độ chấn thương gan (sơ đồ))

Traumatic Liver Contusion and Right Adrenal Hematoma (Chấn thương gan và tuyến thượng thận)

Gunshot Injury with Hepatic Laceration, Perinephric Hematoma, and Urinoma (Chấn thương do đạn súng)