Series (7)
Illustration

Phân độ chấn thương gan (sơ đồ)
Nguồn gốc
Bệnh sử lâm sàng
Chẩn đoán & Phát hiện
Sơ đồ đơn giản mô tả các tổn thương tương ứng với từng mức độ chấn thương gan theo bản cập nhật phân loại chấn thương cơ quan AAST 2018.
THẢO LUẬN:
Các sơ đồ phân độ chấn thương gan theo AAST dựa trên bản cập nhật năm 2018. Xem các bài viết liên quan để biết thêm thông tin.
Chẩn đoán
Phân độ chấn thương gan (sơ đồ)
Chẩn đoán phân biệt
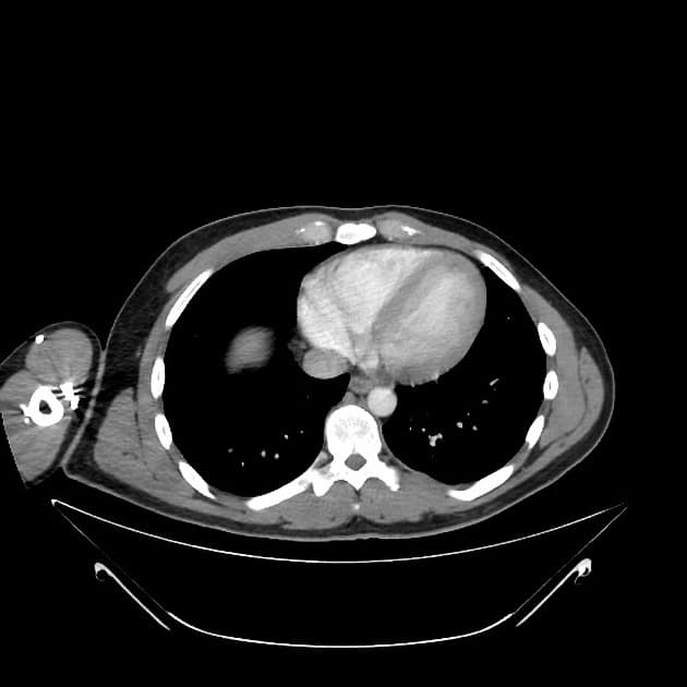
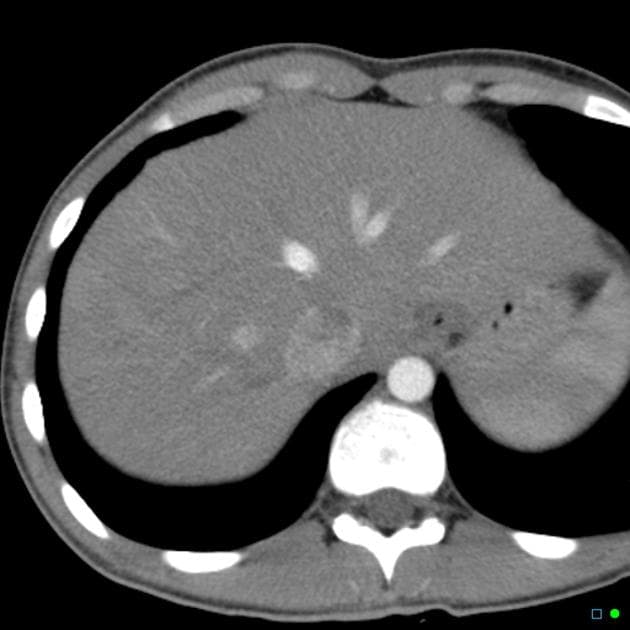
- 1.Vết rách gan kèm máu tụ dưới vỏ
- 2.Tổn thương nhu mô gan với thoát thuốc cản quang hoạt động
- 3.Tổn thương mạch trung tâm liên quan tĩnh mạch gan hoặc nhánh cửa
Điểm giảng dạy
- "Hệ thống phân độ chấn thương gan AAST 2018 kết hợp cả dạng tổn thương hình thái và mức độ liên quan mạch máu để phân loại chính xác hơn."
- "Độ I–III biểu hiện các vết rách hoặc máu tụ ngoại biên, trong khi độ IV–V liên quan tổn thương nhu mô trung tâm hoặc chấn thương mạch máu lớn."
- "Thoát thuốc cản quang hoạt động trên CT là dấu hiệu hình ảnh quan trọng cho thấy chảy máu đang diễn ra và có thể ảnh hưởng đến quyết định điều trị."
Thảo luận
Bài viết liên quan
Ca bệnh liên quan

Traumatic Liver Laceration (Gross Pathology) (Vết rách gan do chấn thương (giải phẫu bệnh đại thể))

Liver Laceration - AAST Grade IV (Vết rách gan - độ IV theo phân loại AAST)

Bile Leak from Traumatic Liver Laceration (Rò dịch mật do vỡ gan do chấn thương)

Liver Laceration Due to Laparoscopic Port Insertion (Vết rách gan do chèn dụng cụ nội soi ổ bụng)

Traumatic Liver Laceration: Importance of Portal Venous Phase CT (Vết rách gan do chấn thương – tầm quan trọng của chụp CT thì tĩnh mạch cửa)

Traumatic Rib Fractures, Pneumothorax, and Liver Laceration (Gãy xương sườn do chấn thương, tràn khí màng phổi và rách gan)

