Series (8)
Axial C+ arterial phase

Gãy xương sườn do chấn thương, tràn khí màng phổi và rách gan
Nguồn gốc
Dữ liệu bệnh nhân
Bệnh sử lâm sàng
Tài xế ô tô bị tai nạn giao thông. Đau ngực.
Chẩn đoán & Phát hiện
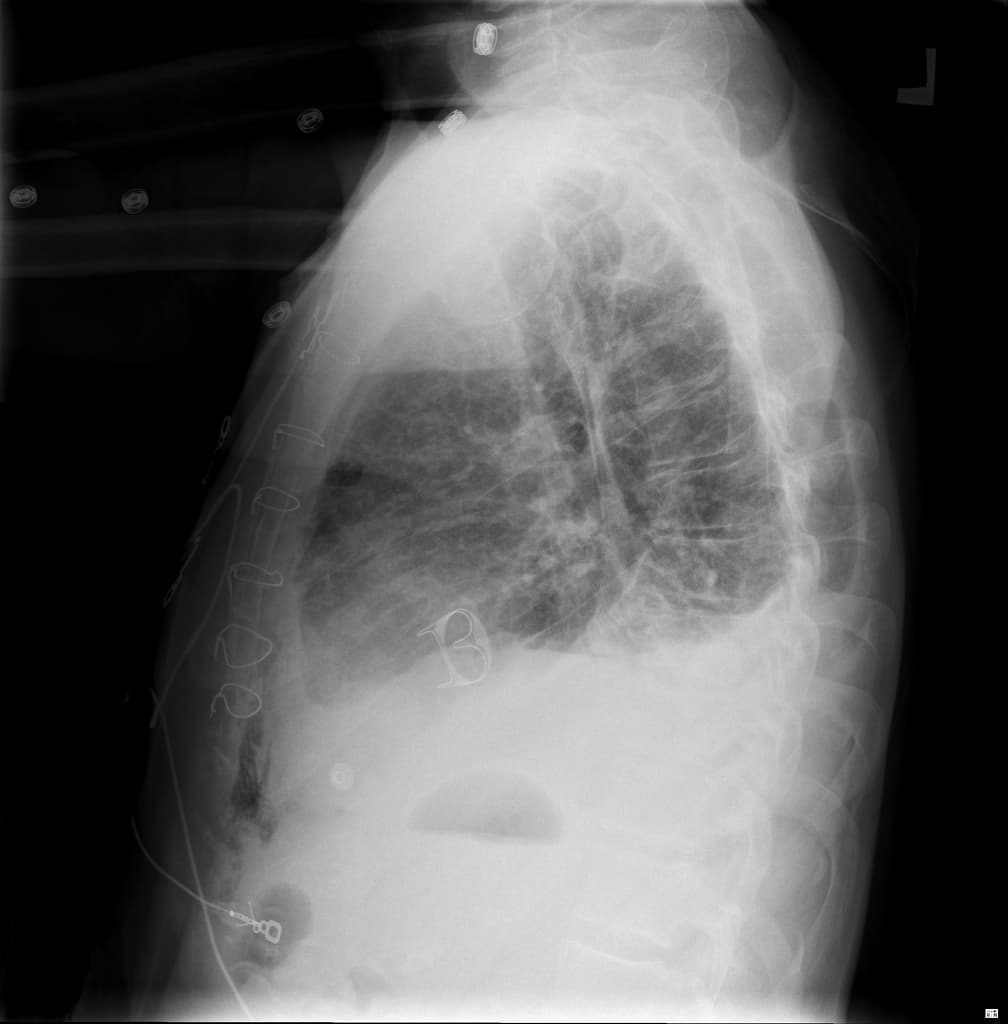
- Tràn khí màng phổi đỉnh bên phải mức độ nhẹ.
- Dịch màng phổi nhỏ bên phải, trong bối cảnh chấn thương, đây nhiều khả năng là tràn máu màng phổi (hemothorax).
- Không thấy rõ gãy xương sườn.
Chụp CT theo quy trình chấn thương (Trauma protocol CT):
- Tràn khí màng phổi bên phải mức độ nhẹ và dịch màng phổi.
- Gãy xương sườn phải các số 10, 11 và 12, nhưng không có đoạn xương chìm (flail segment).
- Xẹp một phần thùy dưới phổi phải, kèm các khoảng chứa khí dạng nang trong nhu mô phổi, đại diện cho các tổn thương rách phổi (lung lacerations).
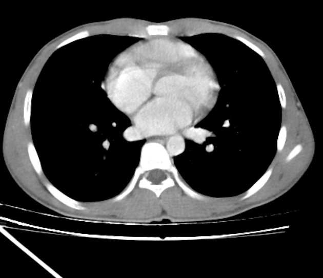
- Dấu hình cành cây giảm tỷ trọng trong gan, lan từ hõm túi mật đến phân đoạn V, đại diện cho tổn thương rách nhu mô gan/huyết khối nhu mô gan (laceration/parenchymal hematoma).
- Vùng tổn thương tương tự nhưng nhỏ hơn nằm liền kề dây chằng liềm.
- Không có dấu hiệu tổn thương thận hoặc ruột.
Chẩn đoán
- Gãy xương sườn do chấn thương (traumatic rib fractures)
- Tràn khí màng phổi (pneumothorax)
- Rách gan (liver laceration)
[DISCUSSION]
Tổn thương gan được phân loại là độ II theo thang điểm đánh giá tổn thương gan của Hiệp hội Phẫu thuật Chấn thương Hoa Kỳ (American Association for the Surgery of Trauma - AAST) (tổn thương rách <10cm về chiều dài). Có sự liên quan giữa tổn thương gan và các phát hiện chấn thương bên phải khác như gãy xương sườn, tổn thương phổi, tràn khí màng phổi, tổn thương thận và thượng thận.
Chẩn đoán phân biệt
- 1.Dập phổi kèm rò khí
- 2.Huyết khối gan do chấn thương không phải tai nạn
- 3.Vỡ cơ hoành kèm thoát vị phổi
Điểm giảng dạy
- "Dấu hình cành cây giảm tỷ trọng ở gan trên CT sau chấn thương đại diện cho rách nhu mô hoặc huyết khối, thường gặp trong tổn thương độ II theo thang AAST."
- "Gãy các xương sườn dưới bên phải (số 10–12) có liên quan mạnh đến tổn thương gan ẩn, cần đánh giá kỹ gan khi gặp các tổn thương này."
- "Tổn thương rách phổi kèm hình ảnh nang và xẹp phổi có thể nhầm với nhiễm trùng hoặc bệnh phổi tăng tạo nang, nhưng sẽ hồi phục theo thời gian trong bối cảnh chấn thương."
Thảo luận
Bài viết liên quan
Ca bệnh liên quan

Anterior shoulder dislocation with Hill-Sachs lesion

Traumatic Liver Laceration (Gross Pathology) (Vết rách gan do chấn thương (giải phẫu bệnh đại thể))

Anterior shoulder dislocation with fracture of greater tuberosity of humeral head

Liver Trauma Grading According to the 2018 AAST Classification (Phân độ chấn thương gan (sơ đồ))

Bilateral anterior shoulder dislocation

Comminuted humeral fracture
Chẩn đoán phân biệt

Inferior Vena Cava Laceration Following Blunt Trauma (Vết rách tĩnh mạch chủ dưới)

Unilateral pulmonary edema from acute mitral regurgitation

Aspiration Pneumonia in a Trauma Patient (Viêm phổi hít do chấn thương)

Hepatic Laceration Due to Penetrating Abdominal Trauma (Vết rách gan do chấn thương xuyên thủng)

Liver Laceration - AAST Grade IV (Vết rách gan - độ IV theo phân loại AAST)

Liver Trauma - AAST Grade IV (Chấn thương gan - độ IV theo phân loại AAST)