Series (4)
Frontal

Trật khớp vai trước hai bên
Nguồn gốc
Dữ liệu bệnh nhân
Bệnh sử lâm sàng
Bệnh nhân bị hành hung. Nhập viện với tình trạng đau khớp vai hai bên và hạn chế vận động.
Chẩn đoán & Phát hiện
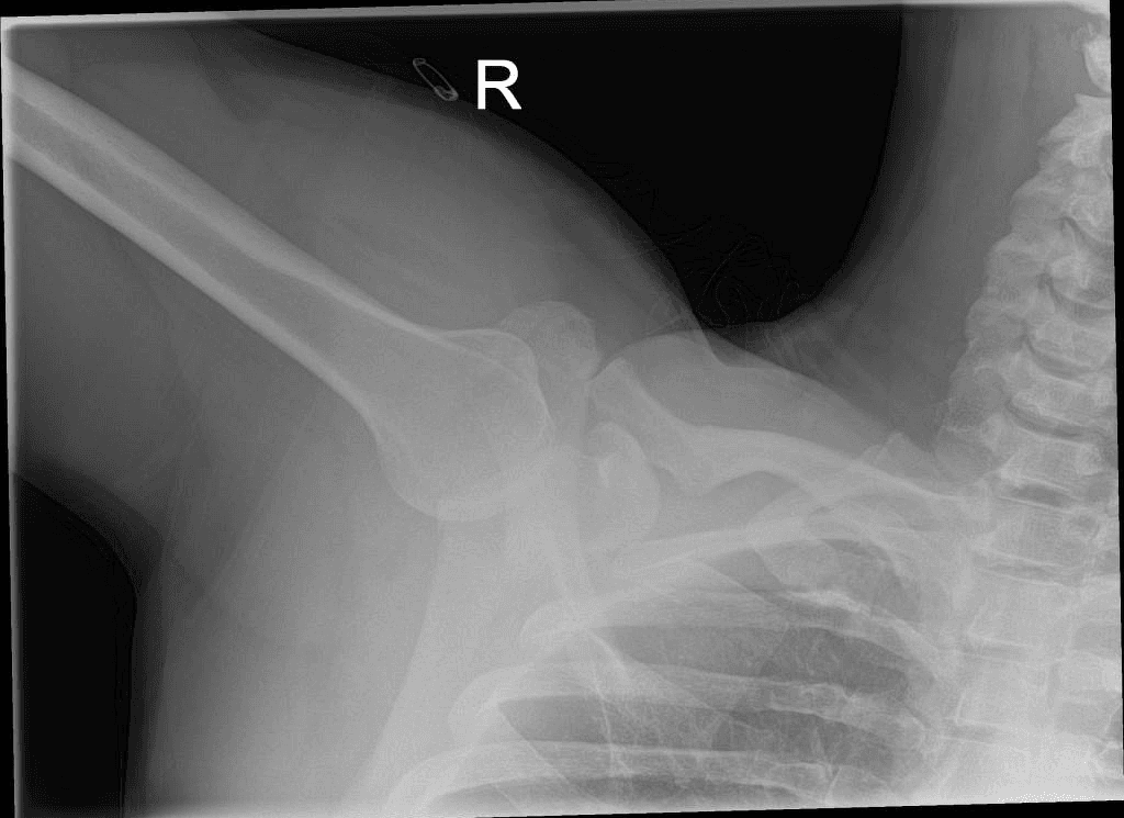
X-quang tại giường xác nhận trật khớp vai trước hai bên kèm theo khuyết xương Hill-Sachs. Các khớp vai khác bình thường. X-quang sau nắn xác nhận nắn chỉnh thành công các chỏm xương cánh tay kèm theo khuyết xương Hill-Sachs hai bên, đặc biệt rõ ở bên trái. THẢO LUẬN: Các đặc điểm phù hợp với trật khớp vai trước hai bên thứ phát sau chấn thương cùn trong một vụ hành hung nạn nhân. Rối loạn co giật là nguyên nhân phổ biến nhất gây trật khớp vai hai bên. Điện giật cũng có thể gây trật khớp vai hai bên. Trong cả hai trường hợp này, đây thường là trật khớp vai sau, tuy nhiên đôi khi cũng xảy ra trật khớp vai trước. Chấn thương trực tiếp là một nguyên nhân phổ biến gây trật khớp vai trước hai bên.
Chẩn đoán
Trật khớp vai trước hai bên
Chẩn đoán phân biệt
- 1.Trật khớp vai hai bên
- 2.Gãy đầu trên xương cánh tay
- 3.Gãy xương bả vai
- 4.Rối loạn co giật
- 5.Điện giật
- 6.Chấn thương trực tiếp
- 7.Trật khớp vai sau
- 8.Trật khớp vai kiểu dựng đứng
- 9.Gãy đầu trên xương cánh tay
Điểm giảng dạy
- "Trật khớp vai hai bên hiếm gặp và thường liên quan đến chấn thương năng lượng cao, co giật hoặc điện giật."
- "Trật khớp ra sau thường gặp hơn trong co giật, trong khi trật khớp ra trước thường gặp hơn trong chấn thương trực tiếp."
- "Các tư thế chụp nách và Y-scapular là cần thiết để xác định hướng trật khớp."
- "Trật khớp vai trước hai bên có thể do rối loạn co giật, điện giật hoặc chấn thương trực tiếp."
- "Khuyết xương Hill-Sachs thường gặp trong trật khớp vai."
- "Trật khớp vai hai bên hiếm gặp và thường liên quan đến co giật hoặc điện giật."
- "Trật khớp trước phổ biến hơn trật khớp sau nói chung, nhưng các trường hợp hai bên đòi hỏi chấn thương năng lượng cao hoặc co cơ mạnh."
- "Luôn đánh giá các tổn thương Hill-Sachs hoặc Bankart đi kèm."
Thảo luận
Bài viết liên quan
Ca bệnh liên quan

Lipohemarthrosis - shoulder

Anterior shoulder dislocation with Hill-Sachs lesion

Aspiration Pneumonia in a Trauma Patient (Viêm phổi hít do chấn thương)

Anterior shoulder dislocation with fracture of greater tuberosity of humeral head

Comminuted humeral fracture

Inferior shoulder dislocation (luxatio erecta)