Series (1)
Axial C+ portal venous phase

Vết rách gan do chèn dụng cụ nội soi ổ bụng
Nguồn gốc
Dữ liệu bệnh nhân
Bệnh sử lâm sàng
Đau vùng thượng vị vào ngày đầu tiên sau phẫu thuật cắt túi mật nội soi.
Chẩn đoán & Phát hiện
Đã cắt túi mật. Có dịch và khí tụ tại giường túi mật, phù hợp với tình trạng sau phẫu thuật. Dãn ống mật trong gan và ngoài gan không thay đổi so với hình ảnh trước mổ. Không thấy sỏi.
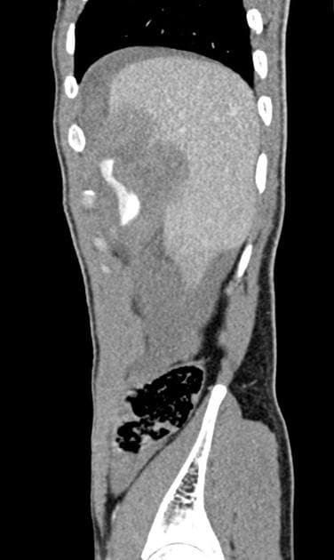
Có vùng giảm tỷ trọng (hypodense) dưới màng gan, tổ chức mô đệm không đồng nhất tại phân đoạn 3 gan. Vùng này nằm ngay dưới vị trí chèn dụng cụ nội soi tại vùng thượng vị trung tuyến, gợi ý vết rách do chèn dụng cụ. Có hiện tượng phồng màng gan tại chỗ, biểu hiện của một khối máu tụ nhỏ dưới màng gan. Vùng tổn thương có mật độ không đồng nhất, không đặc hiệu trên nghiên cứu một thì, và lan xuống phía các nhánh tĩnh mạch cửa trái. Khuyến cáo thực hiện chụp CT gan nhiều thì (multiphase CT) để loại trừ chảy máu hoạt động và các biến chứng mạch máu do vết rách.
Có 2 tổn thương gan giảm tỷ trọng (hypodense), kích thước nhỏ, chưa xác định được bản chất tại phân đoạn 6 dưới màng gan.
Thận, lách và tuyến thượng thận không bất thường. Thay thế mỡ lan tỏa toàn bộ tụy.
Không thấy các quai ruột giãn. Không thấy tổn thương xương khu trú.
Có vôi hóa lan tỏa tại cây khí phế quản. Nhiều ổ tắc nghẽn đàm nhầy, kèm xẹp thùy dưới bên phải và tràn dịch màng phổi nhỏ bên phải. Xẹp đáy phổi trái.
-
Vết rách gan phân đoạn 3 nằm ngay dưới vị trí chèn dụng cụ nội soi thượng vị, lan dọc theo các nhánh của tĩnh mạch cửa trái (segment 3 hepatic laceration subjacent the epigastric port site and extends down the branches of the left portal vein). Không thấy xuất huyết hoạt động (active hemorrhage) trên nghiên cứu một thì, tuy nhiên do tổn thương gần các mạch máu gan và hình ảnh không đồng nhất, khuyến cáo đánh giá bằng chụp CT gan chuyên biệt nhiều thì để loại trừ biến chứng mạch máu (vascular complication).
-
Các tổn thương giảm tỷ trọng chưa xác định tại phân đoạn VI gan (indeterminate hypodense lesions segment VI of the liver) cũng có thể được đánh giá thêm trong lúc chụp CT gan nhiều thì.
-
Xẹp hoàn toàn thùy dưới phải kèm tắc nghẽn phế quản nhiều ổ (complete collapse of the right lower lobe with multifocal bronchial plugging), nghi ngờ do hít phải (aspiration).
[DISCUSSION]
Bệnh nhân hồi phục từ từ và không cần thực hiện thêm hình ảnh học do cơn đau đã thuyên giảm và các xét nghiệm máu không có bất thường. Sau khi xuất viện, bệnh nhân trở về nước ngoài, nơi cư trú ban đầu, do đó mất theo dõi (lost to follow-up).
Chẩn đoán
Vết rách gan do chèn dụng cụ nội soi ổ bụng (liver laceration from laparoscopic port insertion)
Chẩn đoán phân biệt
- 1.Khối máu tụ dưới màng gan
- 2.Nhồi máu gan do tổn thương mạch máu
- 3.Áp xe sau phẫu thuật tại vị trí chèn dụng cụ
Điểm giảng dạy
- "Vết rách gan có thể xảy ra trong quá trình chèn dụng cụ nội soi, đặc biệt ở bệnh nhân có giải phẫu bất lợi hoặc kỹ thuật chèn không đúng."
- "Vùng giảm tỷ trọng dưới màng gan kèm phồng màng gan trên hình ảnh sau mổ gợi ý khối máu tụ dưới màng gan do vết rách gan."
- "Chụp CT một thì có thể không loại trừ được xuất huyết hoạt động hay tổn thương mạch máu; cần chụp CT gan nhiều thì để đánh giá chính xác."
Thảo luận
Bài viết liên quan
Ca bệnh liên quan

Chronic Subcapsular Hepatic Hematoma (Khối máu tụ dưới vỏ gan mạn tính)

Hepatic Hematoma in HELLP Syndrome (Khối máu tụ gan trong hội chứng HELLP)

Hepatic adenoma - with spontaneous rupture

Traumatic Liver Laceration (Gross Pathology) (Vết rách gan do chấn thương (giải phẫu bệnh đại thể))

Liver Trauma Grading According to the 2018 AAST Classification (Phân độ chấn thương gan (sơ đồ))

Scar endometriosis


