Series (5)
Coronal T2

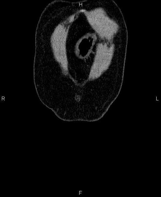
Khối nang thận - phân loại Bosniak IV
Nguồn gốc
Dữ liệu bệnh nhân
Bệnh sử lâm sàng
Đau hông phải và tiểu máu vi thể.
Chẩn đoán & Phát hiện
- Một khối nang khu trú một phần lồi ra ngoài (exophytic) kích thước 48 mm, thành dày ngấm thuốc (enhancement) và có các vách ngăn cùng các nốt ngấm thuốc lệch tâm (eccentric enhancing nodules) được ghi nhận ở phần giữa của thận phải.
- Một vài mạch máu tuần hoàn bàng hệ (collateral circulation) nhỏ giãn được ghi nhận trong khoảng gian thận (perinephric space).
- Ngoài ra, thấy một vài nang đơn thuần (simple cortical cysts) ở vỏ thận hai bên.
- Một vài nang nhỏ ở gan (tương quan với phát hiện siêu âm).
- Một dị dạng túi thừa (diverticulum) kích thước 30 mm được ghi nhận ở thành trong của đoạn D2 tá tràng.
Chẩn đoán
Khối nang thận - phân loại Bosniak IV (Renal cystic mass - Bosniak class IV)
Chẩn đoán phân biệt
- 1.Ung thư biểu mô tế bào thận (dạng tế bào sáng hoặc dạng nhú)
- 2.U nang nhiều ngăn ở thận có nguy cơ ác tính thấp
- 3.Nang thận bị nhiễm trùng
Điểm giảng dạy
- "Các khối nang thận phân loại Bosniak IV có nguy cơ ác tính từ 70-90% và thường là ung thư biểu mô tế bào thận dạng nang."
- "Các đặc điểm hình ảnh chính bao gồm thành dày ngấm thuốc, vách ngăn ngấm thuốc và các nốt ngấm thuốc lệch tâm."
- "Phẫu thuật cắt bỏ (cắt thận bán phần hoặc toàn phần) là phương pháp điều trị tiêu chuẩn cho tổn thương Bosniak IV."
Thảo luận
Bài viết liên quan
Ca bệnh liên quan

Renal Cyst - Bosniak IV (U nang thận - Bosniak IV)

Renal Cell Carcinoma with Cystic Changes (Ung thư biểu mô tế bào thận có biến đổi dạng nang)

Renal Cystic Mass (Bosniak Class IIF) in an Ectopic Kidney (Khối nang thận (Bosniak class IIF))

Renal Cyst - Bosniak Class IV (U nang thận - phân loại Bosniak IV)

Renal Cell Carcinoma with Cystic Changes (Ung thư biểu mô tế bào thận có biến đổi dạng nang)

Bosniak Type IV Renal Cyst (U nang thận loại IV theo phân loại Bosniak)
Chẩn đoán phân biệt

Renal Cell Carcinoma with Collecting System Involvement (Ung thư tế bào thận xâm lấn hệ thống đài bể thận)

Renal Cell Carcinoma with Dominant Necrotic Changes (Ung thư biểu mô tế bào thận với thay đổi hoại tử chiếm ưu thế)

Renal Angiomyolipoma (U mỡ cơ mạch thận)

Bilateral Giant Renal Angiomyolipomas in Tuberous Sclerosis (U tuyến cơ mỡ thận hai bên khổng lồ)

Renal Angiomyolipoma (U cơ mỡ mạch thận)

Renal Cell Carcinoma in Horseshoe Kidney (Ung thư biểu mô tế bào thận trên thận móng ngựa)