Series (4)
Axial C+ delayed

Ung thư biểu mô tế bào thận với thay đổi hoại tử chiếm ưu thế
Nguồn gốc
Dữ liệu bệnh nhân
Bệnh sử lâm sàng
Đau hông trái.
Chẩn đoán & Phát hiện
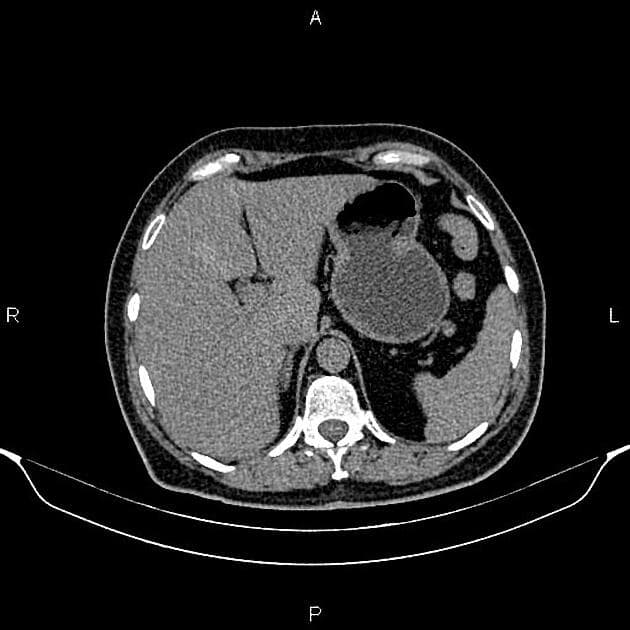
- Ghi nhận khối tổn thương bán lồi ra ngoài (exophytic), dị tỷ trọng (hetero-dense), kích thước 133 × 114 × 122 mm, ở mặt trước thận trái. Sau tiêm thuốc cản quang, khối cho thấy ngấm thuốc không đồng nhất (heterogeneous enhancement) với vùng hoại tử trung tâm (central necrosis) rộng lớn. Không có dấu hiệu xâm lấn tại chỗ và không có lan rộng vào mạch máu.
- Hai hạch bạch huyết nổi bật với đường kính trục ngắn (SAD) nhỏ hơn 10 mm ở vị trí quanh động mạch chủ (para-aortic).
- Ghi nhận nang đơn thuần thành mỏng, không ngấm thuốc (non-enhanced), kích thước 20 mm ở thuỳ gan trái.
- Hiện diện thoát vị quanh rốn (para-umbilical hernia) nhỏ chứa mỡ.
- Tuyến tiền liệt phì đại.
DISCUSSION:
Bệnh nhân đã được thực hiện phẫu thuật cắt bỏ thận trái, và kết quả giải phẫu bệnh học (histopathology) xác nhận ung thư biểu mô tế bào thận (renal cell carcinoma) với thành phần hoại tử (necrosis) lớn.
Cần lưu ý rằng hoại tử trung tâm (central necrosis) là tổn thương thường gặp trong các khối ung thư biểu mô tế bào thận (renal cell carcinoma) lớn và có thể bắt chước khối nang thận phân loại Bosniak IV. Do đó, theo nguyên tắc, nếu thể tích thành phần đặc ngấm thuốc (enhancing solid component) của một tổn thương nang thận vượt quá 25% tổng thể tích khối, thì không nên áp dụng phân loại Bosniak, mà thay vào đó nên xếp khối này là khối đặc thận (solid renal mass) kèm theo thay đổi nang/hoại tử (cystic/necrotic changes); bởi vì tiên lượng của ung thư biểu mô tế bào thận (renal cell carcinoma) dạng đặc có thay đổi nang/hoại tử (cystic/necrotic changes) thường xấu hơn so với ung thư biểu mô tế bào thận (renal cell carcinoma) phát triển từ khối nang thận Bosniak loại IV¹.
Chẩn đoán
Ung thư biểu mô tế bào thận với thay đổi hoại tử chiếm ưu thế (Renal cell carcinoma with dominant necrotic changes)
Chẩn đoán phân biệt
- 1.Khối nang thận Bosniak loại IV
- 2.Áp xe thận với ngấm thuốc viền
- 3.U di căn thận kèm hoại tử
Điểm giảng dạy
- "Hoại tử trung tâm thường gặp ở các khối ung thư biểu mô tế bào thận lớn và gợi ý sinh học khối u ác tính."
- "Khi thành phần đặc ngấm thuốc vượt quá 25% thể tích tổn thương, không nên áp dụng phân loại Bosniak mà cần xử trí như một khối đặc thận."
- "Các khối thận đặc kèm hoại tử rộng liên quan đến tiên lượng xấu hơn so với ung thư biểu mô tế bào thận từ khối nang Bosniak loại IV."
Thảo luận
Bài viết liên quan
Ca bệnh liên quan

Renal Cell Carcinoma with Cystic Changes (Ung thư biểu mô tế bào thận có biến đổi dạng nang)

Von Hippel-Lindau disease (Bệnh Von Hippel Lindau)

Renal cell carcinoma (stage I) (Ung thư biểu mô tế bào thận (giai đoạn I))

Renal Cell Carcinoma with Collecting System Involvement (Ung thư tế bào thận xâm lấn hệ thống đài bể thận)

Pancreatic Metastasis from Renal Cell Carcinoma (Di căn tụy từ ung thư biểu mô tế bào thận)

Von Hippel-Lindau Disease with Pancreatic and Renal Involvement (Bệnh Von Hippel-Lindau)
Chẩn đoán phân biệt

Giant Choledochal Cyst (U nang ống mật chủ khổng lồ)

Renal Cystic Mass (Bosniak Class IIF) in an Ectopic Kidney (Khối nang thận (Bosniak class IIF))

Primary CNS lymphoma in HIV/AIDS patient --- Tiếng Việt --- Lymphoma hệ thần kinh trung ương nguyên phát ở bệnh nhân HIV/AIDS

Renal Cystic Mass - Bosniak Class IV (Khối nang thận - phân loại Bosniak IV)

Renal Cystic Mass - Bosniak Class III (Khối nang thận - phân loại Bosniak III)

Renal Abscess (Áp xe thận)