Thu, Apr 9
AI Trực tuyến
Series (4)

MRI•MRA•1 / 24
Ca bệnhBóc tách động mạch chủ - Stanford A / DeBakey I
Bóc tách động mạch chủ - Stanford A / DeBakey I
Nguồn gốc
Dữ liệu bệnh nhân
Tuổi70 year
Giới tínhMale
Bệnh sử lâm sàng
Bệnh nhân 70 tuổi, tăng huyết áp, đau ngực và đau bụng dữ dội.
Chẩn đoán & Phát hiện
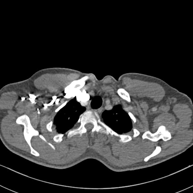
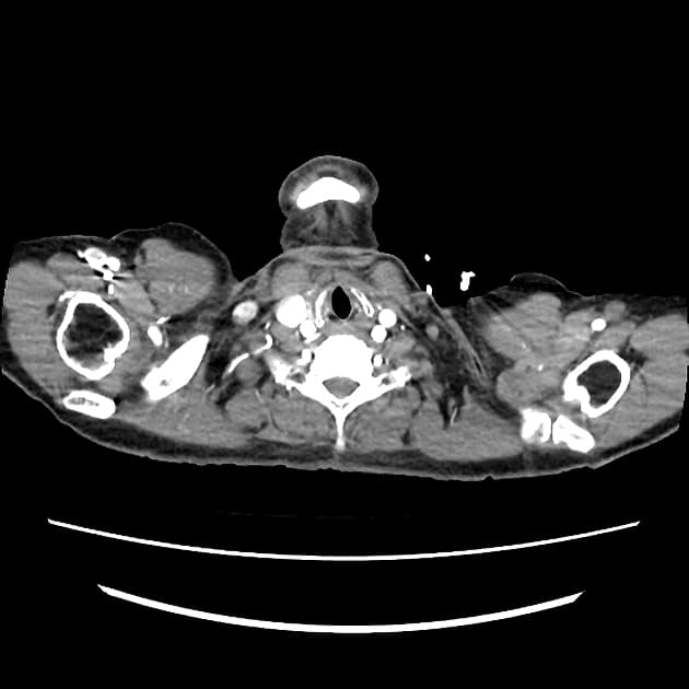
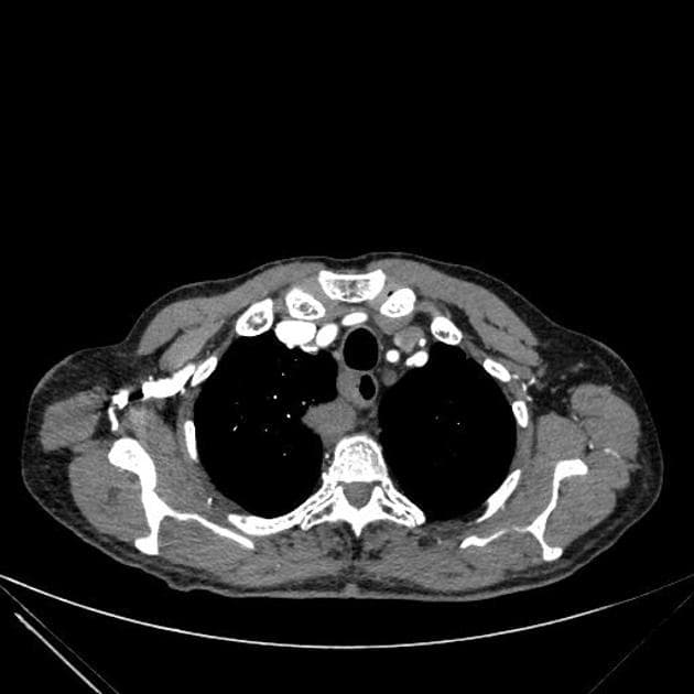
- Thấy vạt bóc tách (flap) trong động mạch chủ (aorta), xuất phát ở đoạn động mạch chủ lên (ascending aorta) ngay phía dưới gốc động mạch chủ (aortic root), xoắn dọc theo toàn bộ động mạch chủ (aorta), tạo thành buồng giả (false lumen) lớn nằm chủ yếu phía sau và chèn ép buồng thật (true lumen), buồng thật có hình bầu dục trên mặt cắt ngang.
- Vạt bóc tách lan xuống đến các động mạch chậu chung (common iliac arteries) ở đoạn trên vùng khảo sát.
- Thấy các cửa sổ thông (fenestration) tại đoạn cung động mạch chủ (aortic arch) gần đoạn gần và ngay trước phân nhánh động mạch chủ (aortic bifurcation).
- Toàn bộ động mạch chủ (aorta) giãn, đường kính lớn nhất tại đoạn động mạch chủ xuống ngực (descending thoracic aorta) đo được 5,1 cm.
- Buồng giả (false lumen) có hiện tượng huyết khối thành mạch (mural thrombus) một phần, không đồng đều, dày nhất ở đoạn động mạch chủ xuống ngực (descending thoracic aorta), làm giảm đường kính lòng mạch khoảng 50%.
- Điểm hẹp nhất của buồng thật (true lumen) nằm ở mức lỗ cơ hoành (diaphragmatic hiatus), đo được 2,9 x 1 cm.
- Thân tạng (coeliac trunk), động mạch mạc treo tràng trên (mesenteric artery) và cả hai động mạch thận (renal arteries) đều xuất phát từ buồng thật (true lumen); các động mạch thận (renal arteries) có vẻ tản rộng do động mạch chủ (aorta) giãn và dịch chuyển.
DISCUSSION:
Trường hợp này cho thấy hình ảnh bóc tách động mạch chủ (aortic dissection) loại Stanford A / DeBakey I.
Ca lâm sàng do BS. Ahmad Yousry và BS. Mohammed A. Elbeialy cung cấp.
Chẩn đoán
Bóc tách động mạch chủ - Stanford A / DeBakey I (aortic dissection - Stanford A / DeBakey I)
Chẩn đoán phân biệt
- 1.Huyết khối thành động mạch chủ
- 2.Loét xơ vữa xuyên thành
- 3.Phình động mạch chủ có buồng giả bị huyết khối
Điểm giảng dạy
- "Bóc tách động mạch chủ Stanford A liên quan đến đoạn động mạch chủ lên và cần can thiệp phẫu thuật khẩn cấp."
- "Bóc tách DeBakey loại I khởi phát ở đoạn động mạch chủ lên và lan đến cung động mạch chủ, thường xuyên lan xa hơn."
- "Sự chèn ép buồng thật bởi buồng giả có huyết khối có thể làm giảm tưới máu cơ quan đích, đặc biệt ở các động mạch tạng và thận."
Thảo luận
Trường hợp này minh họa một ví dụ điển hình của bóc tách động mạch chủ loại Stanford A / DeBakey I, đặc trưng bởi vết rách nội mạc ở đoạn động mạch chủ lên, lan theo vạt bóc tách dọc cung động mạch chủ và động mạch chủ xuống đến động mạch chủ bụng và động mạch chậu chung. Loại bóc tách này đe dọa tính mạng do nguy cơ chèn ép tim, hở van động mạch chủ cấp, thiếu máu cơ tim và hội chứng thiếu tưới máu cơ quan. Phẫu thuật cấp cứu là cần thiết để ngăn vỡ mạch và tử vong. Các dấu hiệu hình ảnh như giãn động mạch chủ, vạt bóc tách xoắn, chèn ép buồng thật và huyết khối một phần buồng giả giúp chẩn đoán. Việc phân biệt với huyết khối thành động mạch chủ và loét xơ vữa xuyên thành là rất quan trọng vì cách xử trí khác biệt rõ rệt.









