Series (4)
Axial T1 in-phase

Bóc tách động mạch chủ
Nguồn gốc
Dữ liệu bệnh nhân
Bệnh sử lâm sàng
Tiền sử đã cắt túi mật cách đây 2 năm do sỏi ống mật chủ (choledocholithiasis). Đau bụng – thực hiện cộng hưởng từ đường mật tụy (MRCP) để loại trừ sỏi còn sót ở ống mật chủ (CBD).
Chẩn đoán & Phát hiện
-
Hai lòng mạch riêng biệt với sự khác biệt về cường độ tín hiệu, tạo nên hình ảnh "động mạch chủ hai lòng" (double barrel aorta) được quan sát thấy trên các dãy ảnh MRCP.
-
Ghi nhận tình trạng thoái hóa mỡ gan lan tỏa (diffuse liver steatosis), biểu hiện bằng giảm cường độ tín hiệu gan trên ảnh lệch pha (out-of-phase) so với ảnh đồng pha (in-phase).
-
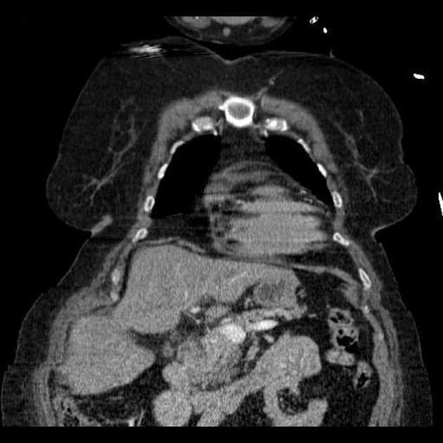
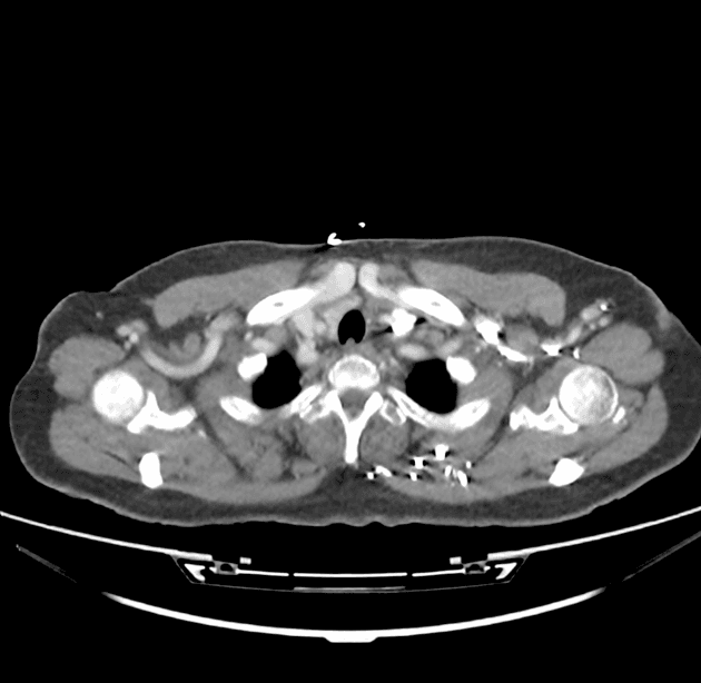
Chụp cắt lớp vi tính động mạch chủ (CTA) xác nhận tình trạng bóc tách động mạch chủ type B (Stanford B). Vị trí bóc tách bắt đầu ở đoạn động mạch chủ phía dưới (distal) gốc động mạch thân cánh tay đầu (brachiocephalic trunk), kéo dài đến động mạch chậu chung trái.
-
Lòng giả (false lumen) lan vào động mạch thận trái, gây giảm tưới máu (reduced perfusion), phù hợp với hiện tượng giảm tăng quang của thận trái so với bên đối diện.
-
Ghi nhận hẹp đáng kể (significant stenosis) ở gốc động mạch thân tạng (coeliac trunk).
-
Động mạch mạc treo tràng trên (SMA) được làm đầy bởi lòng thật (true lumen), không thấy hẹp đáng kể.
[DISCUSSION]
Có thể nói đây là một trường hợp bóc tách động mạch chủ được phát hiện tình cờ (incidentally detected) do bệnh nhân đến khám với các triệu chứng không điển hình. Cơn đau bụng của bệnh nhân ban đầu nghi do sỏi ống mật chủ (CBD), vì vậy được chỉ định làm MRCP nhằm loại trừ, nhưng lại phát hiện bất thường tại động mạch chủ. Chụp CT sau đó xác nhận chẩn đoán bóc tách type B. Trường hợp này nhấn mạnh tầm quan trọng của việc đánh giá toàn bộ các cơ quan và cấu trúc giải phẫu nằm ngoài vùng khảo sát chính trong mọi trường hợp hình ảnh học.
Chẩn đoán
Bóc tách động mạch chủ (aortic dissection)
Chẩn đoán phân biệt
- 1.Phình động mạch chủ kèm huyết khối
- 2.Loét thủng động mạch chủ
- 3.Huyết khối thành động mạch
Điểm giảng dạy
- "Bóc tách động mạch chủ có thể biểu hiện bằng các triệu chứng không điển hình như đau bụng, dễ nhầm với các bệnh lý gan - mật."
- "Dấu hiệu 'động mạch chủ hai lòng' trên hình ảnh học là dấu hiệu quan trọng gợi ý bóc tách động mạch chủ."
- "Phát hiện tình cờ bóc tách động mạch chủ nhấn mạnh tầm quan trọng của việc đánh giá hệ thống tất cả cấu trúc trên các hình ảnh cắt lớp."











