Series (9)
Coronal T2

U nang ống mật chủ - type I
Nguồn gốc
Bệnh sử lâm sàng
Đau bụng và vàng da
Chẩn đoán & Phát hiện
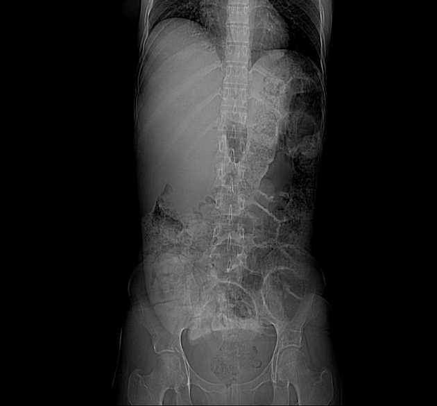
- Có giãn dạng thoi các ống mật ngoài gan (bao gồm ống mật chủ và ống gan chung) chứa nhiều ổ giảm tín hiệu trên mọi chuỗi xung, phân bố theo trọng lực, phù hợp với hình ảnh sỏi.
- Không có giãn đường mật trong gan.
- Có một tổn thương nhỏ dạng nang (tín hiệu cao trên T2, thấp trên T1 và không ngấm thuốc) ở đầu tụy, thông với một nhánh ống tụy nhỏ, phù hợp với IPMN nhánh bên (side branch IPMN).
- Không giãn ống tụy chính.
- Không thấy thành phần tăng mật độ có ngấm thuốc.
Interpretation: U nang ống mật chủ (type 1) kèm theo tổn thương IPMN nhánh bên phát hiện tình cờ (incidental side branch IPMN).
Chẩn đoán
U nang ống mật chủ - type I (choledochal cyst - type I)
Chẩn đoán phân biệt
- 1.Thông nối bất thường đường mật - tụy với u nang đường mật
- 2.Viêm đường mật xơ hóa nguyên phát
- 3.U ác tuyến đường mật đoạn xa kèm giãn nang thứ phát
Điểm giảng dạy
- "U nang ống mật chủ type I đặc trưng bởi tình trạng giãn dạng thoi ống mật ngoài gan và làm tăng nguy cơ ung thư đường mật."
- "IPMN nhánh bên phát hiện tình cờ thường gặp ở người lớn và có nguy cơ ác tính thấp nếu kích thước nhỏ và không triệu chứng."
- "Sự hiện diện của thông nối bất thường giữa đường mật và đường tụy là yếu tố phôi thai học then chốt trong sinh bệnh học u nang ống mật chủ."
Thảo luận
Bài viết liên quan
Ca bệnh liên quan

Giant Choledochal Cyst (U nang ống mật chủ khổng lồ)

Choledochal Cyst - Type 4a (Nang ống mật chủ - type 4a)

Choledochal Cyst Types (Todani Classification) (Các loại nang ống mật chủ (sơ đồ))
Choledochal Cyst - Type IV (Nang ống mật chủ - type IV)

Cholangiocarcinoma (Ung thư tế bào ống mật (Cholangiocarcinoma))

Choledochal Cyst - Type I (MRCP) (Nang ống mật chủ - type I (MRCP))
Chẩn đoán phân biệt

Distal Cholangiocarcinoma (Ung thư biểu mô tế bào gan đoạn xa)

Biliary Stenting for Lower Common Bile Duct Cholangiocarcinoma (Đặt stent đường mật – ung thư biểu mô ống mật chủ đoạn dưới)

Pancreatic Adenocarcinoma Presenting with Obstructive Jaundice (Ung thư biểu mô tuyến tụy)

Klatskin Tumor (U Klatskin)

Pancreatic Adenocarcinoma with Vascular Encasement (Ung thư biểu mô tuyến tụy)

Hepatic Carcinoid (Ung thư tuyến nội tiết gan)