Series (14)
Axial T2

Bệnh Crohn và ống nội soi dạng viên nang bị kẹt
Nguồn gốc
Dữ liệu bệnh nhân
Bệnh sử lâm sàng
Bệnh nhân đã biết mắc bệnh Crohn, đến làm cộng hưởng từ ruột (MR enterography). Phát hiện tình cờ.
Chẩn đoán & Phát hiện
-
Biến dạng cấu trúc (architectural distortion) ruột kèm các đoạn hẹp (strictures) và các đường rò (fistulae) tại hố chậu phải, liên quan đến hồi cuối (terminal ileum). Cụ thể, phát hiện nhiều đường rò hồi – hồi (ileo-ileal) và hồi – đại tràng (ileocolonic), liên quan đến đại tràng lên và đại tràng xích-ma (sigmoid colon).
-
Không thấy hình ảnh (no evidence of) áp xe (abscess) hay dịch tụ có thể dẫn lưu.
-
Cộng hưởng từ ruột (MRI enterography) phải dừng sớm khi phát hiện hình cản quang kim loại tại vùng chậu giữa và hố chậu trái.
-
Do hình cản quang kim loại, yêu cầu thực hiện MRI ruột được chuyển sang chụp cắt lớp vi tính (CT).
-
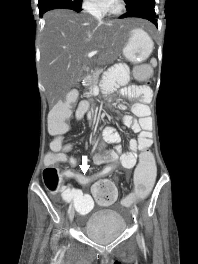
Chụp X-quang bụng không chuẩn bị (CT scanogram) cho thấy hình tăng tỷ trọng (metallic density) tại nửa bụng phải, cụ thể là ống nội soi dạng viên nang bị kẹt (trapped capsule endoscope). Hình ảnh này được xác nhận nằm trong lòng ruột (intraluminal), trong một quai hồi tràng.
-
Hình ảnh vệt thuốc cản quang barium rải rác thấy trong toàn bộ ống tiêu hóa chứa dịch, do bệnh nhân đã uống dung dịch barium loãng và Osmitrol trước khi làm MRI enterography.
-
Hình ảnh tăng quang (hyperenhancement) và thành ruột non dày lên tại nửa bụng phải, cũng như tại đại tràng trực – xích-ma.
-
Có các đoạn hẹp (strictures) tại hồi tràng cuối và nhiều đường rò ruột – ruột (entero-enteric) và ruột – đại tràng (entero-colonic) tại hố chậu phải.
-
Có hiện tượng giãn đoạn trước hẹp (prestenotic dilatation) hồi tràng và đại tràng trực – xích-ma, mức độ thay đổi.
-
Không thấy hình ảnh áp xe hay dịch tụ có thể dẫn lưu.
-
Đường mật – gan (hepato-biliary tract), đường tiết niệu – thận (renal tract), tụy (pancreas) và các khớp cùng chậu (sacroiliac joints) bình thường, không thấy biến chứng ngoài ruột của bệnh Crohn.
-
Chụp X-quang bụng được thực hiện sau khi làm MRI và CT, xác nhận ống nội soi dạng viên nang bị kẹt tại vùng hạ sườn phải (right hypochondrium).
-
Hình khí ruột phân bố lệch tâm (eccentric bowel gas pattern), phù hợp với hình ảnh CT.
-
Các chấm tăng tỷ trọng (punctate radiodensities) đại diện cho barium loãng.
-
Đường tiết niệu được cản quang sau tiêm thuốc cản quang tĩnh mạch trong CT (opacified renal tract post-CT intravenous contrast administration).
[DISCUSSION]
-
Tiền sử đã từng làm nội soi ống dạng viên nang và khả năng ống nội soi bị kẹt chưa được cung cấp trước khi yêu cầu và thực hiện MRI enterography.
-
Không có yêu cầu hình ảnh học trước đó để xác định ống nội soi bị kẹt hay thậm chí là kiểm tra viên nang thông suốt (patency capsule).
-
Ngay khi phát hiện hình cản quang kim loại, MRI đã được dừng lại.
-
Các ống nội soi dạng viên nang không tương thích với MRI, do đó MRI chống chỉ định trong các trường hợp này.
-
May mắn là trường hợp này không xảy ra biến chứng.
-
Sự cố này đã thúc đẩy việc sàng lọc kỹ lưỡng hơn cho các bệnh nhân làm MRI enterography, và cân nhắc chụp X-quang bụng trước khi thực hiện trong các trường hợp nghi ngờ.
-
Hình cản quang kim loại ban đầu xuất hiện ở vùng chậu giữa và hố chậu trái, nhưng thật đáng ngạc nhiên là ống nội soi bị kẹt lại nằm trong lòng ruột, bên phải, và có thể đã di chuyển trong quá trình làm MRI.
-
Hình ảnh học xác nhận bệnh Crohn thể biến chứng với các hình ảnh: biến dạng cấu trúc (distortion), giãn đoạn trước hẹp (prestenotic dilatation) tại hồi tràng giữa đến cuối, và nhiều đường rò ruột – ruột (entero-enteric), ruột – đại tràng (entero-colonic), kèm theo các đoạn hẹp (strictures).
Case courtesy: TS. M.N. Patel
Chẩn đoán
- Bệnh Crohn (Crohn's disease)
- Ống nội soi dạng viên nang bị kẹt (trapped capsule endoscope)
Chẩn đoán phân biệt
- 1.Ung thư biểu mô ruột non
- 2.Lao ruột
- 3.Bệnh Behçet
Điểm giảng dạy
- "Nội soi ống dạng viên nang chống chỉ định ở bệnh nhân có đoạn hẹp ruột đã biết hoặc nghi ngờ do nguy cơ bị giữ lại."
- "Chụp cộng hưởng từ (MRI) chống chỉ định ở bệnh nhân có ống nội soi viên nang còn sót lại do thành phần kim loại và nguy cơ tổn thương mô."
- "Việc sàng lọc tiền sử nội soi viên nang cần được thực hiện định kỳ trước khi làm MRI ruột."











