Thu, Apr 9
AI Trực tuyến
Series (7)
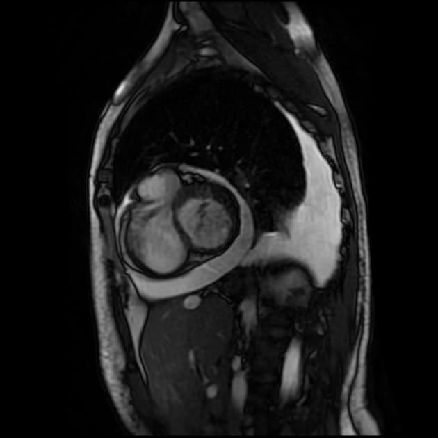
Short axis Cine SSFP

MRI•Short axis Cine SSFP•1 / 25
Ca bệnhBệnh cơ tim Takotsubo - vị trí bất thường
Bệnh cơ tim Takotsubo - vị trí bất thường
Nguồn gốc
Dữ liệu bệnh nhân
Tuổi55 year
Giới tínhFemale
Bệnh sử lâm sàng
Nghi ngờ phình thất và vỡ thất được kiểm soát trên siêu âm tim qua thành ngực.
Chẩn đoán & Phát hiện
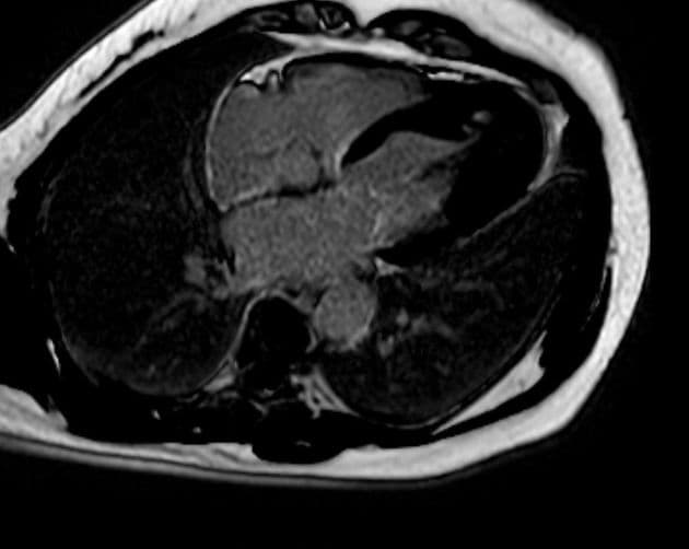
- Không thấy hình ảnh (no evidence of) vỡ thất, nhưng hình ảnh động (cine images) cho thấy thành trước giữa thất trái bị rối loạn vận động (dyskinetic), phồng ra ngoài trong thì tâm thu.
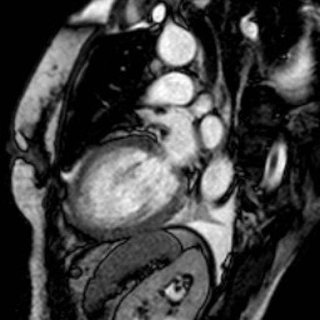
- Trên hình STIR, đoạn cơ tim tổn thương tăng tín hiệu (hyperintense), phù hợp với phù (edema).
- Không thấy huyết khối (thrombus) trên hình gadolinium sớm, và không thấy tăng quang cơ tim (myocardial hyperenhancement) trên hình gadolinium muộn.
- Có tràn dịch màng ngoài tim lượng nhỏ (small pericardial effusion).
- Phân suất tống máu thất trái (left ventricular ejection fraction) tính được nằm trong giới hạn thấp bình thường (không hiển thị).
[DISCUSSION]
- Siêu âm tim qua thành ngực lặp lại sau 4 tuần cho thấy thành trước rối loạn vận động đã hồi phục, tràn dịch màng ngoài tim (pericardial effusion) đã biến mất, đồng thời phân suất tống máu cải thiện.
- Hình ảnh kết hợp với sự hồi phục tự phát và chậm (spontaneous delayed resolution) phù hợp với bệnh cơ tim Takotsubo (tâm phình do stress) (Takotsubo [stress-induced] cardiomyopathy).
- Vị trí tổn thương là bất thường, vì thường thì các đoạn đỉnh (apical segments) bị ảnh hưởng trong bệnh lý này. Tuy nhiên, ba kiểu hình ảnh khác biệt đã được ghi nhận: hai thất (biventricular), giữa thất (mid-ventricular – như trường hợp này), và đoạn đáy (basal).
- Đa số bệnh nhân mắc bệnh cơ tim Takotsubo là phụ nữ sau mãn kinh, và khoảng 70% có yếu tố khởi phát gây stress.
- Trên cộng hưởng từ (MRI), các phát hiện điển hình gồm phù cơ tim (myocardial edema) và không có thiếu máu cục bộ (ischemia) hay xơ hóa (fibrosis), điều này được chứng minh bằng việc không tăng quang ở thì muộn sau tiêm gadolinium (lack of enhancement at late gadolinium imaging).
Chẩn đoán
Bệnh cơ tim Takotsubo - vị trí bất thường (Takotsubo cardiomyopathy - atypical location)
Chẩn đoán phân biệt
- 1.Nhồi máu cơ tim trước cấp tính
- 2.Viêm cơ tim
- 3.Phình thất trái
Điểm giảng dạy
- "Bệnh cơ tim Takotsubo có thể biểu hiện các bất thường vận động thành tim tại vùng bất thường, như tổn thương đoạn giữa thất, không chỉ giới hạn ở thể đỉnh."
- "Việc không thấy tăng quang muộn ở thì tiêm gadolinium trên cộng hưởng từ tim giúp phân biệt bệnh cơ tim Takotsubo với nhồi máu cơ tim hoặc viêm cơ tim."
- "Sự hồi phục tự phát các bất thường vận động thành tim và tràn dịch màng ngoài tim trong vài tuần hỗ trợ chẩn đoán bệnh cơ tim Takotsubo."
Thảo luận
Bệnh cơ tim Takotsubo, còn gọi là bệnh cơ tim do stress, đặc trưng bởi rối loạn chức năng thất trái tạm thời do stress về mặt cảm xúc hoặc thể chất, thường gặp ở phụ nữ sau mãn kinh. Mặc dù thể 'phình đỉnh' cổ điển là phổ biến nhất, các thể bất thường như thể giữa thất, thể đáy và thể hai thất ngày càng được nhận biết rõ. Trường hợp này biểu hiện thể giữa thất với rối loạn vận động của thành trước giữa và phù cơ tim trên cộng hưởng từ, nhưng không có dấu hiệu nhồi máu hay xơ hóa. Việc không thấy tăng quang muộn là điểm phân biệt quan trọng với tổn thương do thiếu máu. Diễn tiến lâm sàng với cải thiện tự phát trong vài tuần khẳng định chẩn đoán. Nhận biết các biểu hiện bất thường này là rất quan trọng để tránh chẩn đoán nhầm thành hội chứng vành cấp.











