Thu, Apr 9
AI Trực tuyến
Series (9)
4 chamber PSIR gado
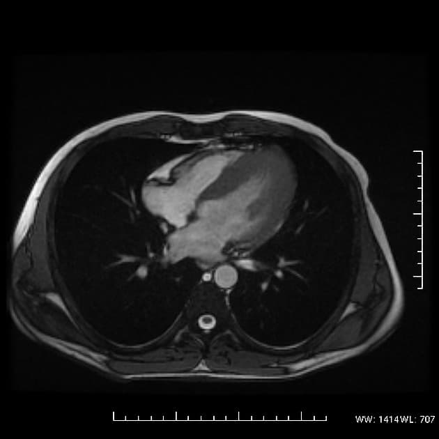
4 chamber SSFP cine
LVOT SSFP cine
Long Axis SSFP cine
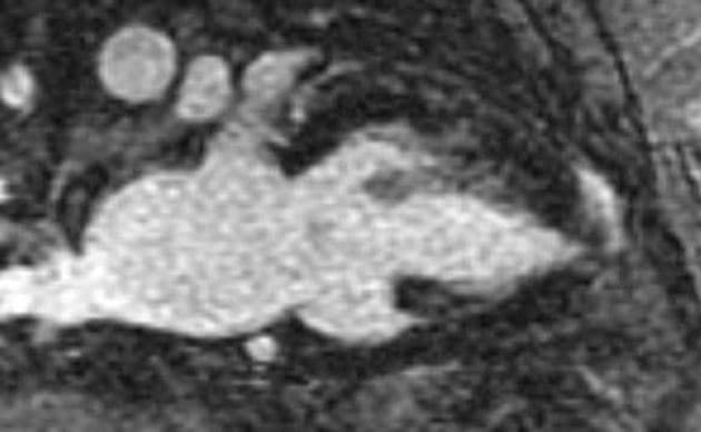
Small axis SSFP cine

MRI•4 chamber PSIR gado•1 Img
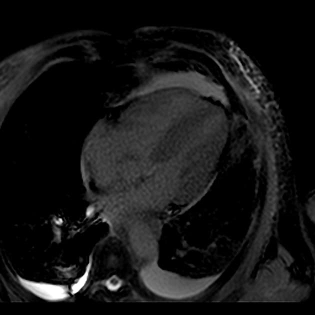
Ca bệnhBệnh cơ tim phì đại - dạng đỉnh thất với tắc nghẽn ở đoạn giữa thất
Bệnh cơ tim phì đại - dạng đỉnh thất với tắc nghẽn ở đoạn giữa thất
Nguồn gốc
Dữ liệu bệnh nhân
Giới tínhMale
Bệnh sử lâm sàng
Khó thở nhẹ khi gắng sức và đau ngực nhẹ.
Chẩn đoán & Phát hiện
- Bệnh cơ tim phì đại dạng đỉnh thất (apical hypertrophic cardiomyopathy) với tắc nghẽn ở đoạn giữa thất (midventricular obstruction).
- Cả chuỗi hình ảnh LGE và PSIR có tiêm thuốc đối quang (gadolinium) đều cho thấy xơ hóa thành thất dạng ổ (patchy midwall fibrosis), có liên quan đến lớp dưới nội tâm mạc (subendocardial involvement) tại đỉnh thất (apex).
- Necrosis dưới nội tâm mạc ở đỉnh thất (apical subendocardial necrosis) có thể là nguyên nhân gây đau ngực (chest pain).
- Không thấy huyết khối (no thrombus).
[DISCUSSION]
- Dạng bệnh cơ tim phì đại do bất thường ở sợi co cơ (sarcomeric hypertrophic cardiomyopathy) này ít gặp hơn so với dạng phì đại không đối xứng điển hình ở vùng trước vách-đỉnh (anteroseptoapical) và cũng ít gặp hơn dạng phì đại ở vùng sau vách (inferoseptal pattern).
- Tiên lượng (prognosis) ở dạng đỉnh thất (apical pattern) này có thể xấu hơn do tăng tần suất các biến cố tim mạch bất lợi (increased incidence of adverse cardiac events).
Chẩn đoán
Bệnh cơ tim phì đại - dạng đỉnh thất với tắc nghẽn ở đoạn giữa thất (Hypertrophic cardiomyopathy - apical pattern with midventricular obstruction)
Chẩn đoán phân biệt
- 1.Dạng đỉnh thất của bệnh cơ tim phì đại
- 2.Nhồi máu cơ tim có tổn thương vùng đỉnh
- 3.Viêm cơ tim do sarcoid với xơ hóa đỉnh thất
Điểm giảng dạy
- "Bệnh cơ tim phì đại dạng đỉnh thất là thể hiếm, đặc trưng bởi phì đại cô lập ở đỉnh thất trái."
- "Tắc nghẽn đoạn giữa thất có thể gây tăng áp lực trong buồng tim và thiếu máu cơ tim vùng đỉnh, dẫn đến hoại tử và xơ hóa lớp dưới nội tâm mạc."
- "Hình ảnh tăng sáng muộn (LGE) ở vùng dưới nội tâm mạc đỉnh giúp phân biệt tình trạng này với các nguyên nhân khác gây dày thành tim vùng đỉnh."
Thảo luận
Bệnh cơ tim phì đại dạng đỉnh thất là một thể hình thái riêng biệt của bệnh cơ tim phì đại do bất thường sợi co cơ, chủ yếu ảnh hưởng đến đỉnh thất trái. Khác với thể phì đại vách không đối xứng phổ biến hơn, thể này biểu hiện bằng sự dày lên cô lập ở vùng đỉnh, thường dẫn đến tắc nghẽn đoạn giữa thất và tạo gradient áp lực. Tình trạng căng thẳng huyết động này có thể gây thiếu máu cơ tim vùng đỉnh, hoại tử lớp dưới nội tâm mạc và xơ hóa thành thất dạng ổ, như thấy trên hình ảnh cộng hưởng từ tăng sáng muộn. Sự hiện diện của mô xơ liên quan đến nguy cơ cao hơn về rối loạn nhịp và các biến cố tim bất lợi, làm tiên lượng có thể xấu hơn. Chẩn đoán phân biệt bao gồm nhồi máu cơ tim, bệnh cơ tim do amyloid và sarcoid, nhưng hình ảnh đặc trưng dạng 'bích' trên chụp buồng thất trái và sự vắng mặt của bệnh động mạch vành giúp khẳng định chẩn đoán.









