Thu, Apr 9
AI Trực tuyến
Series (1)
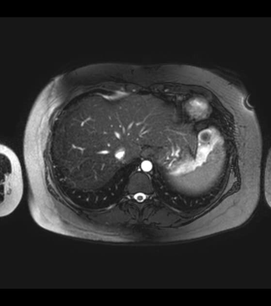
Axial T2

MRI•Axial T2•1 / 4
Ca bệnhBệnh cơ tim phì đại đỉnh không tắc nghẽn (hội chứng Yamaguchi)
Bệnh cơ tim phì đại đỉnh không tắc nghẽn (hội chứng Yamaguchi)
Nguồn gốc
Dữ liệu bệnh nhân
Tuổi20 year
Giới tínhMale
Bệnh sử lâm sàng
Bệnh nhân có tiền sử hút thuốc lá mạn tính đến khám vì đau ngực tái phát và khó thở.
Chẩn đoán & Phát hiện
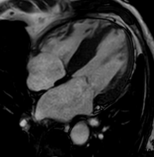
Tim
- Thấy hình ảnh phì đại cơ tim rõ rệt ở thành bên trái thất trái, với sự dày cơ tâm thất đáng kể tại đỉnh tim và hẹp đáng kể trong thì tâm thu.
THẢO LUẬN:
- Điện tâm đồ (ECG) của bệnh nhân cho thấy sóng 'T' âm lớn, kết hợp với các dấu hiệu trên siêu âm tim 2D gợi ý bệnh cơ tim phì đại đỉnh (còn được gọi là hội chứng Yamaguchi).
Chẩn đoán
Bệnh cơ tim phì đại đỉnh không tắc nghẽn (apical non-obstructive hypertrophic cardiomyopathy - Yamaguchi hypertrophy)
Chẩn đoán phân biệt
- 1.Nhồi máu cơ tim vùng đỉnh
- 2.Bệnh thoái hóa tinh thể cơ tim
- 3.Thất trái vách không đặc
Điểm giảng dạy
- "Bệnh cơ tim phì đại đỉnh, hay hội chứng Yamaguchi, là một dạng biến thể của bệnh cơ tim phì đại, đặc trưng bởi tình trạng phì đại riêng biệt ở đỉnh thất trái."
- "Bệnh phổ biến hơn ở các quần thể Đông Á, đặc biệt là nam giới người Nhật."
- "Các dấu hiệu điển hình trên điện tâm đồ bao gồm sóng T âm lớn ở các chuyển đạo trước tim (V3–V6), có thể bắt chước tình trạng thiếu máu cơ tim hoặc hội chứng vành cấp."
Thảo luận
Bệnh cơ tim phì đại đỉnh không tắc nghẽn, còn gọi là hội chứng Yamaguchi, là một dạng biến thể hình thái của bệnh cơ tim phì đại, chủ yếu ảnh hưởng đến đỉnh thất trái mà không có tắc nghẽn đoạn ra thất trái. Bệnh lần đầu được mô tả ở Nhật Bản và phổ biến hơn ở các quần thể châu Á. Các phương tiện hình ảnh như siêu âm tim và cộng hưởng từ tim cho thấy hình ảnh dày thành đỉnh rõ rệt, thường có hình dạng giống 'cái xẻng' ở thất trái trong thì tâm trương. Mặc dù không tắc nghẽn, bệnh nhân vẫn có thể gặp các triệu chứng như đau ngực, khó thở hoặc rối loạn nhịp do rối loạn chức năng tâm trương hoặc thiếu máu vi mạch. Dấu hiệu điện tâm đồ đặc trưng là sóng T âm lớn ở các chuyển đạo trước tim giúp phân biệt với các nguyên nhân khác gây phì đại đỉnh hoặc bệnh tim thiếu máu cục bộ. Tiên lượng dài hạn thường thuận lợi, nhưng nguy cơ đột tử do tim, dù hiếm, vẫn cần được theo dõi.







