Series (4)
Sagittal C+ portal venous phase

Ung thư biểu mô tuyến tá tràng giai đoạn tiến xa tại chỗ
Nguồn gốc
Dữ liệu bệnh nhân
Bệnh sử lâm sàng
Đau bụng và nôn. Khám lâm sàng thấy khối ở vùng bụng giữa.
Chẩn đoán & Phát hiện
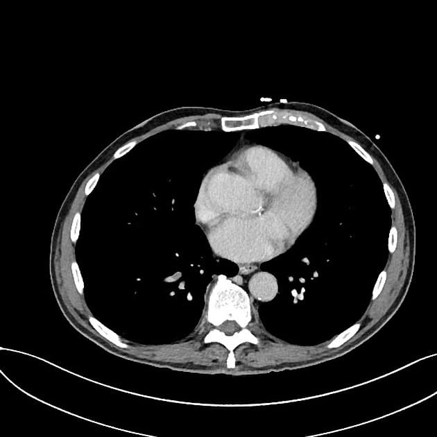
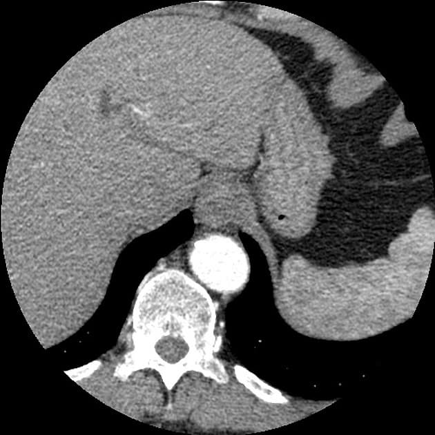
- Dày thành không đối xứng do xâm lấn bởi khối u ở đoạn hai và đoạn ba tá tràng, với sự xâm lấn vào đầu tụy kề bên và gây hẹp lòng tá tràng (duodenal luminal narrowing). Khối u chèn ép tĩnh mạch chủ dưới (IVC) và đẩy lệch các mạch máu mạc treo (mesenteric vessels), nhưng không có xâm lấn hay bao quanh mạch. Ống tụy (pancreatic duct) không giãn.
- Một vài hạch bạch huyết (lymph node) nổi bật thấy ở vùng lân cận khối u.
- Một tổn thương dạng khối giới hạn không rõ (ill-defined), tăng quang kém, kích thước 25mm, ở phân đoạn gan thứ 6. Ngoài ra, hai khối nhỏ hơn, kích thước 15mm và 7mm, được quan sát thấy ở phân đoạn gan thứ 7. Tất cả các tổn thương nêu trên đều trở nên đồng tỷ trọng (isodense) so với nhu mô gan xung quanh trên các hình ảnh pha trễ (delayed images).
- Một vài nang vỏ đơn thuần (simple cortical cysts) nhỏ, không tăng quang, thấy ở cả hai thận. Hai viên sỏi nhỏ dưới 5mm cũng được thấy ở các đài trên của thận phải.
- Tuyến tiền liệt (prostate gland) to.
DISCUSSION:
Chẩn đoán mô bệnh học và miễn dịch hóa học (IHC) xác nhận ung thư biểu mô tuyến tá tràng (duodenal adenocarcinoma) với xâm lấn đầu tụy.
Hầu hết các khối u xâm lấn cả đầu tụy và tá tràng thường là ung thư tụy; ung thư biểu mô tuyến tá tràng ít gặp hơn.
Mặc dù ung thư biểu mô tuyến tá tràng là ung thư nguyên phát phổ biến nhất ở tá tràng, nhưng chỉ chiếm 0,3% tổng số các ung thư đường tiêu hóa. Hơn 50% các trường hợp ung thư biểu mô tuyến tá tràng đã có di căn tại thời điểm chẩn đoán.
Chẩn đoán
Ung thư biểu mô tuyến tá tràng giai đoạn tiến xa tại chỗ (locally advanced duodenal adenocarcinoma)
Chẩn đoán phân biệt
- 1.Ung thư biểu mô ống tụy
- 2.Ung thư vùng nhú tá tràng
- 3.U mô đệm đường tiêu hóa (GIST) tá tràng
Điểm giảng dạy
- "Ung thư biểu mô tuyến tá tràng là ung thư nguyên phát phổ biến nhất ở tá tràng, mặc dù hiếm gặp, chỉ chiếm 0,3% các ung thư tiêu hóa."
- "Phân biệt ung thư biểu mô tuyến tá tràng với ung thư đầu tụy rất khó; việc xác định chính xác vị trí trung tâm khối u và ống tụy còn nguyên vẹn là dấu hiệu hình ảnh quan trọng."
- "Hơn 50% trường hợp ung thư biểu mô tuyến tá tràng đã di căn tại thời điểm chẩn đoán, thường đến gan, nhấn mạnh vai trò của việc đánh giá giai đoạn bằng CT có cản quang."
Thảo luận
Bài viết liên quan
Ca bệnh liên quan

Cholangiocarcinoma with Hepatic Metastases and Portal Vein Involvement (Ung thư tế bào gan đường mật)

Metastatic Pancreatic Adenocarcinoma of the Tail with Colon Obstruction (Ung thư biểu mô tuyến di căn ở đuôi tụy kèm tắc ruột già)

Pancreatic Cancer (Ung thư tụy)

Cholangiocarcinoma (Ung thư tế bào gan đường mật)
Chẩn đoán phân biệt

Pancreatic Sarcoidosis (U sarcoid ở tụy)

Islet-cell tumor of the pancreas (U tế bào đảo tụy)

Pancreatic Metastasis from Renal Cell Carcinoma (Di căn tụy từ ung thư biểu mô tế bào thận)

Choledochocoele (U nang ống mật chủ type III (Choledochocoele))

Adenocarcinoma of the Gastric Antrum (Ung thư biểu mô tuyến vùng môn vị dạ dày)

Pancreatic Adenocarcinoma of the Uncinate Process (Ung thư biểu mô tuyến tụy - mỏm móc)