Series (15)
Sagittal T1 C+

U nguyên bào thần kinh đệm IDH dạng hoang dại (thân não)
Nguồn gốc
Dữ liệu bệnh nhân
Bệnh sử lâm sàng
Chuyển đến trung tâm chuyên khoa sau khi phát hiện bất thường trên CT sọ não tại bệnh viện tuyến huyện.
Chẩn đoán & Phát hiện
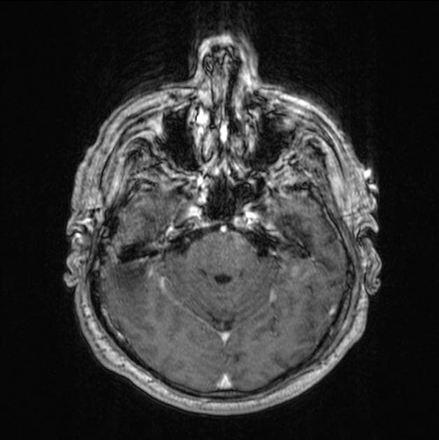
MRI sọ não
Có một tổn thương lớn bắt thuốc dạng viền (ring-enhancing) làm giãn cầu não, chủ yếu bên trái, lan vào cuống não trái. Các tổn thương nhỏ tương tự khác thấy ở cuống não phải và nhân nhạt/gai trong của bao trong bên trái, với vùng tăng tín hiệu trên FLAIR nối liền các tổn thương này. Một số ổ giảm giá trị ADC rải rác trong các tổn thương, chủ yếu ở vùng ngoại vi, cùng với thể tích máu não (CBV) tăng nhẹ ở viền tăng quang. Phổ đơn voxel cho thấy đỉnh lactate rõ rệt trong tổn thương cầu não lớn và phổ không bất thường ở vùng nhân nền trái. Các artefact "blooming" ở phần dưới tổn thương cầu não có thể biểu hiện sản phẩm xuất huyết hoặc vôi hóa; đối chiếu với CT trước đó sẽ hữu ích. Phần còn lại của não không có bất thường. Các não thất và bể não nền bình thường. Không có lệch đường giữa (midline shift) hay thoát vị não (cerebral herniation).
THẢO LUẬN:
Trường hợp này cho thấy tổn thương liên tục ở thân não và nhân nhạt trái/bao trong với nhiều vùng bắt thuốc dạng viền. Hình ảnh và vị trí gợi ý viêm tiểu não – cầu não (rhomboencephalitis) hoặc u thần kinh đệm độ cao, trong đó u thần kinh đệm độ cao được ưu tiên hơn dựa trên bối cảnh lâm sàng. Bệnh di căn được cho là ít khả năng do phân bố tổn thương.
MÔ TẢ HIẾN VI:
1-3. Các tiêu bản cho thấy các mảnh u thần kinh đệm sao bào tăng sinh vừa. Tế bào u biểu hiện độ dị hình nhân và tế bào vừa. Các hình ảnh phân bào rải rác được ghi nhận. Có sự tăng sinh rõ rệt của vi mạch với các lớp tế bào bất thường bao quanh lòng mạch. Các vùng hoại tử u dạng xếp hàng (palisaded necrosis) cũng được ghi nhận.
Kết quả miễn dịch hóa học cho thấy tế bào u bắt màu:
- GFAP Dương tính
- Nestin Dương tính (mức cao)
- NogoA Dương tính
- IDH1 R132H Âm tính (không đột biến)
- ATRX Dương tính (không đột biến)
- p53 Không rõ (equivocal)
- p16 CDKN2A Âm tính
Chỉ số đánh dấu Topoisomerase: 20%.
CHẨN ĐOÁN: Mô não, sinh thiết: U thần kinh đệm độ cao có hoại tử
Các chẩn đoán phân biệt bao gồm U nguyên bào thần kinh đệm IDH dạng hoang dại (WHO độ IV) và u oligodendroglioma ác tính (WHO độ III). Sẽ thực hiện xét nghiệm phân tử để tìm đột biến IDH1/2, mất đoạn đồng thời 1p19q và đột biến H3K27M.
BÁO CÁO BỔ SUNG:
-
Giải trình tự IDH1, IDH2 và H3F3A:
- IDH-1: không phát hiện biến thể (IDH-1 dạng hoang dại)
- IDH-2: không phát hiện biến thể (IDH-2 dạng hoang dại)
- Giải trình tự H3F3A:
- Codon 27: không phát hiện biến thể
- Codon 34: không phát hiện biến thể
-
FISH tìm mất đoạn nhiễm sắc thể 1p/19q:
- Nhiễm sắc thể 1:
- Số bản sao trung bình 1p mỗi tế bào: 1,72
- Số bản sao trung bình 1q mỗi tế bào: 1,65
- Tỷ lệ 1p/1q: 1,04
- Kết luận: Không phát hiện mất 1p bằng FISH
- Nhiễm sắc thể 19:
- Số bản sao trung bình 19q mỗi tế bào: 1,73
- Số bản sao trung bình 19p mỗi tế bào: 1,78
- Tỷ lệ 19q/19p: 0,97
- Kết luận: Không phát hiện mất 19q bằng FISH
- TÓM TẮT: Không phát hiện mất đoạn đồng thời 1p/19q
- Nhiễm sắc thể 1:
CHẨN ĐOÁN CUỐI CÙNG: "U thân não": U nguyên bào thần kinh đệm IDH dạng hoang dại (WHO độ IV).
Chẩn đoán
U nguyên bào thần kinh đệm IDH dạng hoang dại (thân não) (Glioblastoma IDH wild type - brainstem)
Chẩn đoán phân biệt
- 1.Viêm tiểu não – cầu não (ví dụ do nguyên nhân tự miễn hoặc nhiễm trùng)
- 2.U não di căn
- 3.U oligodendroglioma ác tính (WHO độ III)
Điểm giảng dạy
- "U nguyên bào thần kinh đệm IDH dạng hoang dại là khối u não ác tính nguyên phát phổ biến nhất ở người lớn, thường biểu hiện bằng tổn thương bắt thuốc dạng viền, hoại tử và phù quanh tổn thương."
- "Việc không có đột biến IDH và mất đoạn đồng thời 1p/19q, cùng với tăng sinh vi mạch và hoại tử, hỗ trợ chẩn đoán u nguyên bào thần kinh đệm IDH dạng hoang dại."
- "Vị trí u ở cầu não là hiếm và thường tiên lượng xấu hơn do ảnh hưởng đến vùng giải phẫu quan trọng và khả năng cắt bỏ hạn chế."
Thảo luận
Bài viết liên quan
Ca bệnh liên quan
Chẩn đoán phân biệt

Cerebral Abscess Following Penetrating Trauma (Áp xe não)

Cerebral Abscesses with Ventriculitis (Áp xe não (cerebral abscesses))

Cerebellar Abscess (Áp xe tiểu não)

Von Hippel-Lindau Disease with Spinal Hemangioblastoma (Bệnh Von Hippel-Lindau với u mạch bào ở tủy sống)

Cerebral Radiation Necrosis Following Radiosurgery for Brain Metastasis (Hoại tử não do tia xạ)

Pyogenic Brain Abscess in Late Capsular Stage (Áp xe não (brain abscess))




