Thu, Apr 9
AI Trực tuyến
Series (13)
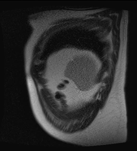
Axial T2

MRI•Axial T2•1 / 26
Ca bệnhXuất huyết vào u tuyến gan
Xuất huyết vào u tuyến gan
Nguồn gốc
Dữ liệu bệnh nhân
Tuổi40 year
Giới tínhFemale
Bệnh sử lâm sàng
- Bệnh nhân đến khám với triệu chứng đau vùng hạ sườn phải trong một tuần.
Chẩn đoán & Phát hiện
- Thấy một tổn thương tăng tín hiệu trên T1, giảm tín hiệu trên T2 (T1 hyperintense, T2 hypointense), khu trú tại thùy đuôi gan, có hạn chế khuếch tán ở vùng trung tâm (central restricted diffusion) và không có tăng quang đáng kể sau tiêm thuốc cản quang (no significant post-contrast enhancement).
- Không thấy mỡ trên hình ảnh out-of-phase (no fat on out-of-phase images).
- Các tĩnh mạch cửa và tĩnh mạch gan thông thương tốt (patent portal and hepatic veins).
- Không có giãn đường mật trong gan hoặc ngoài gan (no intra or extrahepatic biliary dilatation).
- Túi mật thành mỏng, chứa nhiều sỏi nhỏ lắng theo trọng lực.
- Tuyến thượng thận, tụy, thận và lách bình thường.
- Không thấy hạch to vùng thượng vị hoặc dịch ổ bụng (no enlarged upper abdominal lymph nodes or ascites).
DISCUSSION:
- Hình ảnh học phù hợp nhất với u tuyến gan có xuất huyết vào trong tổn thương (imaging features are most consistent with a hepatic adenoma with hemorrhage into it).
- Không có tiền sử sốt hoặc tăng các chỉ số viêm (no history of fever or raised inflammatory markers).
- Tiền sử chi tiết cho thấy bệnh nhân có dùng thuốc tránh thai đường uống đều đặn, đây là yếu tố nguy cơ gây u tuyến gan (on detailed history, the patient was known to take oral contraceptive pills regularly, which is a risk factor for hepatic adenoma).
Chẩn đoán
- Xuất huyết vào u tuyến gan (hemorrhage into hepatic adenoma)
Chẩn đoán phân biệt
- 1.Tăng sản nốt khu trú
- 2.Ung thư biểu mô tế bào gan
- 3.U máu gan kèm xuất huyết
Điểm giảng dạy
- "U tuyến gan là khối u lành tính liên quan đến việc sử dụng thuốc tránh thai đường uống và có nguy cơ xuất huyết."
- "Xuất huyết trong tổn thương u tuyến gan có thể biểu hiện tăng tín hiệu trên T1, giảm tín hiệu trên T2 và hạn chế khuếch tán."
- "Việc không thấy mỡ trên hình ảnh out-of-phase giúp phân biệt u tuyến gan xuất huyết với các tổn thương khác như vùng gan rải rác mỡ hoặc u cơ mỡ thần kinh."
Thảo luận
Xuất huyết vào u tuyến gan là một biến chứng nghiêm trọng tiềm tàng của khối u gan lành tính, thường liên quan đến việc sử dụng thuốc tránh thai đường uống kéo dài. Hình ảnh học thường cho thấy tổn thương tăng tín hiệu trên T1, giảm tín hiệu trên T2 do methemoglobin trong xuất huyết bán cấp, với mức độ tăng quang thay đổi. Việc không thấy mỡ trên hình ảnh out-of-phase và không tăng quang đáng kể giúp phân biệt với các khối ác tính như ung thư biểu mô tế bào gan. Việc xác định chẩn đoán cần kết hợp lâm sàng, đặc biệt là tiền sử sử dụng hormone. Quản lý có thể bao gồm ngưng thuốc tránh thai, theo dõi định kỳ hoặc cắt bỏ ngoại khoa tùy theo kích thước, triệu chứng và nguy cơ vỡ.











