Series (16)
Coronal C+ portal venous phase

Thiếu máu cục bộ mạc treo do tắc động mạch
Nguồn gốc
Dữ liệu bệnh nhân
Bệnh sử lâm sàng
Đau bụng dữ dội khởi phát cấp tính, chủ yếu vùng thượng vị và bên phải, tình trạng nhiễm độc, sốt cao và vã mồ hôi. Công thức máu cho thấy tăng bạch cầu.
Chẩn đoán & Phát hiện
Chụp CT định kỳ ban đầu
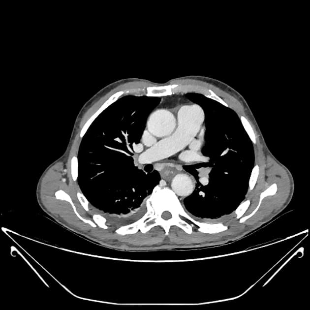
Chụp CT có tiêm thuốc cản quang (pha tĩnh mạch cửa) cho thấy các hình ảnh sau:
Chụp CT (pha động mạch)
Có tắc hoàn toàn thân chính đoạn xa của động mạch mạc treo tràng trên và các nhánh của nó, ngoại trừ các nhánh ruột non gần bên trái và động mạch đại tràng giữa bên phải. Các nhánh ruột non xa, nhánh hồi tràng, động mạch hồi – đại tràng và động mạch đại tràng phải đều bị tắc.
Hình ảnh trong mổ
Ảnh chụp trong mổ cho thấy ranh giới rõ rệt giữa màu hồng của đoạn ruột non gần còn sống và các đoạn ruột hoại tử màu sẫm.
Hình ảnh CT có chú thích
Các hình ảnh có chú thích làm rõ các phát hiện chính trên xét nghiệm.
Giải phẫu bình thường của động mạch mạc treo tràng trên...
Giải phẫu bình thường của động mạch mạc treo tràng trên để đối chiếu.
Các hình ảnh có chú thích làm rõ động mạch mạc treo tràng trên và các nhánh của nó trong một trường hợp bình thường khác để so sánh.
THẢO LUẬN:
Đây là một trường hợp rất khó với các diễn biến bất ngờ cả về lâm sàng lẫn hình ảnh học. Bệnh nhân ở tuổi trung niên, cơn đau chủ yếu ở vùng thượng vị và bên phải, không có xơ vữa động mạch, không có bệnh tim, không có tiền sử bệnh lý liên quan. Vì vậy, tại sao ai cũng có thể nghi ngờ thiếu máu cục bộ mạc treo trong hoàn cảnh này? Một dấu hiệu lâm sàng quan trọng có mặt và có thể giúp ích: cơn đau không giảm sau khi dùng thuốc giảm đau.
Trong trường hợp này, chúng ta cần lưu ý rằng các thay đổi ở ruột trong thiếu máu cục bộ động mạch rất tinh tế và dễ bị bỏ sót: thành ruột không dày lên mà thậm chí còn mỏng đi, và khí trong thành ruột (pneumatosis) rất mờ nhạt. Ngoài ra, cần chú ý rằng mô mỡ mạc treo rất rõ ràng. Điều này hoàn toàn khác biệt với thiếu máu cục bộ tĩnh mạch, trong đó có dày thành ruột rõ rệt, xuất huyết nội thành, và mô mỡ mạc treo bị phù nề mờ đi.
Trong chụp CT đơn pha thông thường ở pha tĩnh mạch cửa, việc chẩn đoán sẽ ngày càng khó khăn hơn vì mức độ tăng quang của động mạch sẽ không rõ ràng.
Trong trường hợp này, đoạn ruột non gần vẫn còn sống nhờ các nhánh ruột non gần bên trái còn thông thoáng, và đại tràng phải cũng vẫn còn sống dù động mạch đại tràng phải bị tắc, do được cấp máu bởi động mạch biên của Drummond.
Điều đáng ngạc nhiên là bệnh nhân sống sót sau mổ và được xuất viện trong tình trạng tốt, tuy nhiên bệnh nhân sẽ cần chăm sóc đặc biệt do vấn đề mới mắc phải: "hội chứng ruột ngắn (short-gut syndrome)".
Thiếu máu cục bộ mạc treo có thể là cơn ác mộng đối với các bác sĩ chẩn đoán hình ảnh. Dưới đây là một số điểm quan trọng cần ghi nhớ:
-
Việc đánh giá các động mạch và tĩnh mạch tạng nên là một phần thường quy trong đánh giá chụp CT bụng, ngay cả khi lâm sàng không gợi ý thiếu máu cục bộ.
-
Theo dõi động mạch và tĩnh mạch dọc theo đường đi của chúng, đồng thời đánh giá các nhánh nhỏ của chúng.
-
Cân nhắc chụp CT có tiêm thuốc cản quang đa pha trong các trường hợp đau bụng cấp.
-
Ruột hoại tử thứ phát do thiếu máu cục bộ mạc treo động mạch không có thành dày, thậm chí thành mỏng, và khí trong thành ruột có thể rất tối thiểu hoặc không có – điều này hoàn toàn khác biệt so với thiếu máu cục bộ mạc treo tĩnh mạch.
Ảnh chụp trong mổ do bác sĩ Adel Abdelwahed cung cấp.
Chẩn đoán
Thiếu máu cục bộ mạc treo do tắc động mạch (arterial occlusive mesenteric ischemia)
Chẩn đoán phân biệt
- 1.Thiếu máu cục bộ mạc treo do tắc tĩnh mạch
- 2.Viêm tụy cấp
- 3.Thủng loét dạ dày tá tràng
Điểm giảng dạy
- "Thiếu máu cục bộ mạc treo cần được nghĩ đến trong các trường hợp đau bụng cấp tính, ngay cả khi không có các yếu tố nguy cơ điển hình như xơ vữa động mạch hay bệnh tim."
- "Thiếu máu cục bộ động mạch mạc treo thường biểu hiện thành ruột mỏng hoặc bình thường và khí trong thành ruột rất nhẹ, khác với thiếu máu tĩnh mạch có dày thành ruột rõ và mờ nhu mô mỡ mạc treo."
- "Chụp CT bụng có cản quang đa pha tốt hơn chụp đơn pha ở thì tĩnh mạch cửa trong phát hiện tắc động mạch khi nghi ngờ thiếu máu mạc treo."








