Series (9)
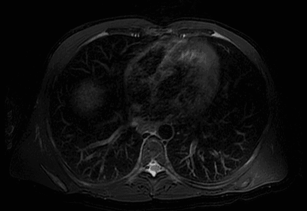
Axial DWI

Xơ gan lan tỏa
Nguồn gốc
Dữ liệu bệnh nhân
Bệnh sử lâm sàng
Bệnh nhân có tiền sử bệnh gan mạn tính và đã cắt túi mật (cholecystectomized), đến khám do các đợt ứ mật, được bác sĩ chuyên khoa gan chuyển đến dịch vụ chẩn đoán hình ảnh.
Chẩn đoán & Phát hiện
- Gan biến dạng (xơ gan - cirrhosis).
- Co kéo màng gan (capsular retractions) trùng khớp với các tổn thương có bờ lõm, hiện diện dưới dạng các vùng hình tam giác, đáy ngoại vi và đỉnh ở rốn gan (hilar vertex), nằm ở phân đoạn VI, VIII, IV và mức độ nhẹ hơn ở phân đoạn I.
- Các tổn thương này giảm tín hiệu trên hình ảnh T1 (hypointense), tăng tín hiệu trên T2 (hyperintense), hình ảnh khuếch tán (DWI), và tăng quang (enhancement) tiến triển theo thời gian sau khi tiêm thuốc cản quang tĩnh mạch.
- Ở các khu vực này, ống mật trong gan (intrahepatic bile duct) giãn (ectasic).
- Các hình ảnh này phù hợp với (consistent with) xơ gan lan tỏa (confluent hepatic fibrosis).
[DISCUSSION]
Sau phẫu thuật, bệnh nhân xuất hiện nhiễm trùng huyết (sepsis) và hạ huyết áp (hypotension), dẫn đến thời gian nằm viện kéo dài. Khi được xuất viện, bệnh nhân có các triệu chứng ngứa ngắt quãng, vàng da và sốt.
Việc phân biệt các tổn thương xơ hóa lan tỏa ở nhu mô gan với các tổn thương nốt tân sinh (neoplasic nodular lesions), chẳng hạn như ung thư tế bào gan trong gan (intrahepatic cholangiocarcinoma), đôi khi rất khó khăn. Trong trường hợp này, đặc điểm bờ tổn thương và phân bố của chúng là điểm nổi bật.
Việc có sẵn kết quả sinh thiết gan được lấy trong lúc cắt túi mật cũng rất hữu ích, với kết quả báo cáo điểm METAVIR A1 F1.
Chẩn đoán
Xơ gan lan tỏa (confluent hepatic fibrosis)
Chẩn đoán phân biệt
- 1.Ung thư tế bào gan trong gan
- 2.Tổn thương xơ gan nốt tái tạo
- 3.Di căn gan kèm phản ứng xơ
Điểm giảng dạy
- "Xơ gan lan tỏa thường biểu hiện co kéo màng gan và các tổn thương hình tam giác, dạng nan hoa, hướng về rốn gan."
- "Tăng quang tiến triển ở pha muộn giúp phân biệt tổn thương xơ với khối u ác tính."
- "Kết hợp sinh thiết (ví dụ: điểm METAVIR) và tiền sử lâm sàng giúp nâng cao độ chính xác chẩn đoán tổn thương gan ở bệnh nhân xơ gan."
Thảo luận
Bài viết liên quan
Ca bệnh liên quan
Chẩn đoán phân biệt

Distal Cholangiocarcinoma (Ung thư biểu mô tế bào gan đoạn xa)

Pancreatic Adenocarcinoma Presenting with Obstructive Jaundice (Ung thư biểu mô tuyến tụy)

Cholangiocarcinoma (Ung thư tế bào ống mật (Cholangiocarcinoma))

Diffuse Hepatic Steatosis - Grade III (Thoái hóa mỡ gan lan tỏa - độ III)

Klatskin Tumor (U Klatskin)

Choledochal Cyst - Type I (MRCP) (Nang ống mật chủ - type I (MRCP))

