Thu, Apr 9
AI Trực tuyến
Series (5)
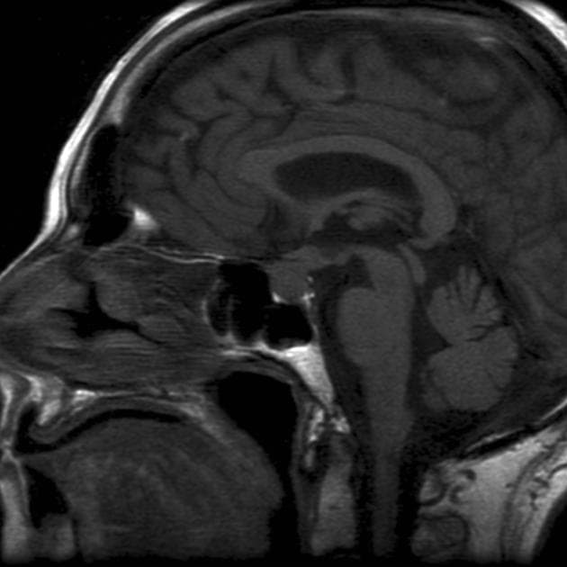
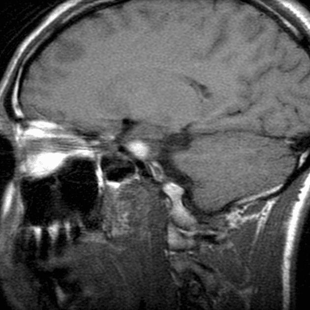
Sagittal T1

MRI•Sagittal T1•1 Img
Ca bệnhU Pituicytoma
U Pituicytoma
Nguồn gốc
Bệnh sử lâm sàng
Chẩn đoán & Phát hiện
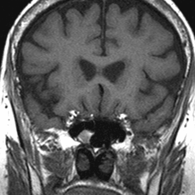
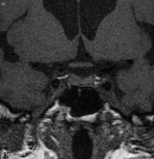
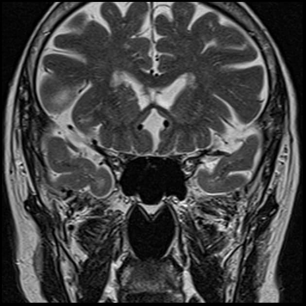
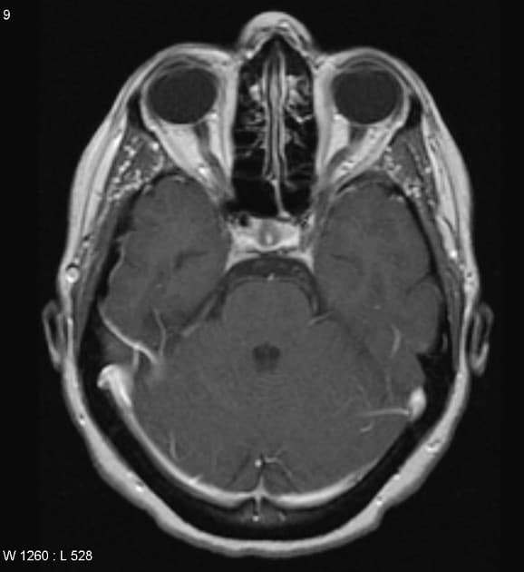
- Khối liên tục với cuống yên, làm giãn cuống này cả phía trên và phía dưới.
- Phù hợp với kiểu tăng quang đặc trưng và nằm trong cuống yên (infundibulum).
DISCUSSION:
- Chẩn đoán nghi ngờ u Pituicytoma: chưa được chứng minh bằng mô bệnh học.
- Khối phù hợp với kiểu tăng quang đặc trưng và nằm trong cuống yên (infundibulum).
- Khối liên tục với cuống yên, làm giãn cuống cả phía trên và phía dưới.
- Bệnh nhân hiện tại trong tình trạng toàn thân ổn định, không có dấu hiệu ung thư, và đã được theo dõi trong nhiều năm mà không ghi nhận sự thay đổi.
Chẩn đoán
U Pituicytoma (Pituicytoma)
Chẩn đoán phân biệt
- 1.U Pituicytoma
- 2.U tuyến yên có liên quan đến cuống yên
- 3.Bệnh tổ chức bào Langerhans
Điểm giảng dạy
- "U Pituicytoma là khối u thần kinh đệm độ thấp hiếm gặp, xuất phát từ các tế bào pituicyte ở thùy sau tuyến yên hoặc cuống yên."
- "Đặc điểm hình ảnh gồm khối u ranh giới rõ, tăng quang mạnh, liên tục với và làm giãn cuống yên."
- "Tình trạng ổn định dài hạn, không tiến triển, hỗ trợ chẩn đoán tổn thương lành tính, phát triển chậm như u Pituicytoma."
Thảo luận
U Pituicytoma là một loại khối u thần kinh đệm lành tính, phát triển chậm và hiếm gặp, xuất phát từ các tế bào pituicyte ở thùy sau tuyến yên hoặc cuống yên. Khối u thường biểu hiện như một tổn thương ranh giới rõ, tăng quang mạnh và liên tục với, đồng thời làm giãn cuống yên. Trên cộng hưởng từ (MRI), khối u thường có tín hiệu đẳng trên hình ảnh T1 và tăng quang đồng nhất sau khi tiêm thuốc cản quang. Việc không có dấu hiệu ác tính, không bệnh toàn thân và tổn thương ổn định dài hạn trên hình ảnh học làm tăng khả năng chẩn đoán u Pituicytoma, ngay cả khi chưa xác định bằng mô bệnh học. Các chẩn đoán phân biệt bao gồm u tuyến yên có liên quan đến cuống yên, u màng não và bệnh tổ chức bào Langerhans, những bệnh này có thể có hình ảnh tương tự. Tuy nhiên, vị trí đặc hiệu trong cuống yên và sự liên tục với cuống làm nghiêng về chẩn đoán u Pituicytoma. Điều trị thường mang tính theo dõi bảo tồn, đặc biệt ở bệnh nhân không có triệu chứng.










