Series (6)
Coronal T2

U nguyên bào dạng dây chằng của não thất ba (Chordoid glioma of third ventricle)
Nguồn gốc
Dữ liệu bệnh nhân
Bệnh sử lâm sàng
Đau đầu, giảm thị lực và tăng cân trong 6 tháng
Chẩn đoán & Phát hiện
Chụp cộng hưởng từ (MRI) sọ não
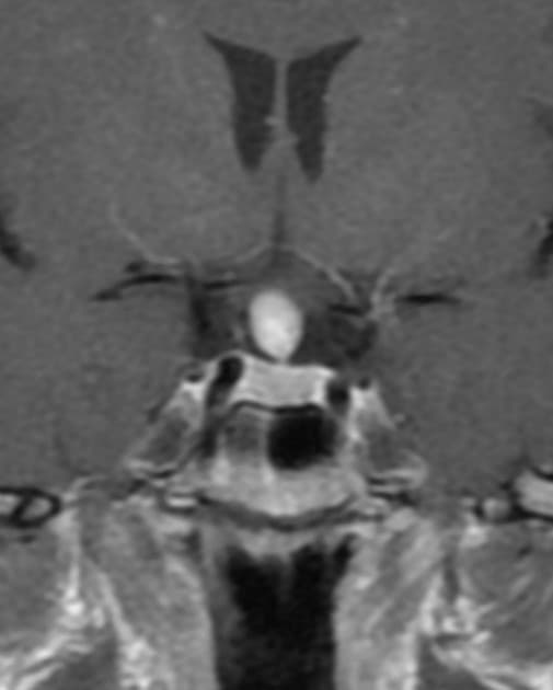
Chụp MRI sọ não phát hiện khối tổn thương dạng đặc, nhiều thùy (multilobulated, solid) nằm ở phần trước của não thất ba (third ventricle).
Khối tổn thương có tín hiệu đồng tín hiệu (isointense) trên hình ảnh T1W, tăng tín hiệu không đồng nhất (heterogenous hyperintense) trên hình ảnh T2W, không có hạn chế khuếch tán (no diffusion restriction), với một số vùng nhỏ có giá trị ADC thấp. Sau tiêm thuốc tương phản, khối cho thấy tăng quang mạnh (vivid enhancement) và đồng nhất (homogenous enhancement).
Về vị trí, hình ảnh tuyến yên (pituitary gland) và ngách trên thị (supraoptic recess) còn nguyên vẹn (intact) – thấy rõ nhất trên hình T1W – cho thấy khối không xuất phát từ vùng yên (sellar) hay vùng trên yên (suprasellar). Thay vào đó, khối làm cong xuống phía dưới sàn não thất ba và cuống yên (infundibulum), do đó khối nằm trong não thất ba (3rd ventricle).
THẢO LUẬN:
Hình ảnh MRI sọ não này thể hiện các đặc điểm hình ảnh điển hình của u nguyên bào dạng dây chằng (chordoid glioma).
U nguyên bào dạng dây chằng là những khối u độ ác tính thấp, phát triển chậm, hiếm gặp, xuất phát từ phần trước của não thất ba. Khối thường cho thấy kiểu tăng quang mạnh và đồng nhất. Vị trí đặc biệt và kiểu tăng quang gợi ý chẩn đoán trước mổ.
Bệnh nhân sau đó được mổ mở sọ (craniotomy) và cắt bỏ một phần khối u.
Giải phẫu bệnh:
Hình ảnh học cho thấy các tế bào dạng biểu mô (epithelioid cells) sắp xếp thành từng đám hoặc dây, với chất nền chứa xâm nhập tế bào lympho và tương bào (lymphoplasmacytic infiltrate).
Kết quả giải phẫu bệnh và miễn dịch hóa học (immunohistochemical) xác nhận chẩn đoán u nguyên bào dạng dây chằng điển hình (typical chordoid glioma).
CHẨN ĐOÁN CUỐI CÙNG:
U nguyên bào dạng dây chằng (Chordoid glioma).
Chẩn đoán phân biệt bao gồm các khối u khác ở vùng trên yên (suprasellar regions) như u màng não (meningioma), u sao bào (craniopharyngioma).
Tuy nhiên, việc tuyến yên và ngách trên thị còn nguyên vẹn giúp loại trừ các khối u vùng yên và trên yên như adenoma lớn (macroadenoma).
U sao bào nội não thất ba (intrinsic third ventricular craniopharyngioma) cũng là một chẩn đoán phân biệt, nhưng thường cho hình ảnh tăng quang không đồng nhất (heterogenous enhancement).
Chẩn đoán
U nguyên bào dạng dây chằng của não thất ba (Chordoid glioma of third ventricle)
Chẩn đoán phân biệt
- 1.U màng não
- 2.U sao bào
- 3.U sao bào nội não thất ba
Điểm giảng dạy
- "U nguyên bào dạng dây chằng là khối u thần kinh đệm độ thấp, hiếm gặp, thường nằm ở phần trước não thất ba."
- "Đặc điểm hình ảnh điển hình bao gồm tăng quang mạnh, đồng nhất và khối đặc, nhiều thùy, không hạn chế khuếch tán."
- "Việc bảo tồn tuyến yên và ngách trên thị giúp phân biệt u nguyên bào dạng dây chằng với các khối u vùng yên và trên yên."










