Thu, Apr 9
AI Trực tuyến
Series (4)
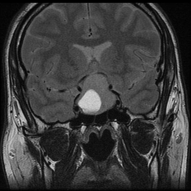
Coronal T1

MRI•Coronal T1•1 Img
Ca bệnhU tuyến yên nhỏ
U tuyến yên nhỏ
Nguồn gốc
Dữ liệu bệnh nhân
Giới tínhMale
Bệnh sử lâm sàng
Nam giới cao tuổi đến khám với rối loạn nội tiết.
Chẩn đoán & Phát hiện
- Tuyến yên (pituitary gland) giãn tròn, lệch về bên phải đường giữa, đẩy cuống tuyến yên sang trái.
- Trên hình ảnh sau tiêm thuốc cản quang, u tuyến yên nhỏ (pituitary microadenoma) tăng quang kém hơn so với mô tuyến yên xung quanh.
[DISCUSSION]
Chụp cộng hưởng từ (MRI) cho thấy các hình ảnh phù hợp với u tuyến yên nhỏ (pituitary microadenoma).
Chẩn đoán
U tuyến yên nhỏ (pituitary microadenoma)
Chẩn đoán phân biệt
- 1.U tuyến yên không chức năng
- 2.Nang khe Rathke
- 3.Tai biến xuất huyết tuyến yên (giai đoạn bán cấp)
Điểm giảng dạy
- "U tuyến yên nhỏ được định nghĩa là khối u tuyến yên có đường kính nhỏ hơn 10 mm."
- "Chúng thường tăng quang kém hơn mô tuyến yên bình thường trên cộng hưởng từ (MRI) sau tiêm thuốc cản quang."
- "U tuyến yên nhỏ có thể gây rối loạn nội tiết do tiết quá mức hormone hoặc chèn ép các cấu trúc xung quanh."
Thảo luận
U tuyến yên nhỏ là các khối u lành tính xuất phát từ thùy trước tuyến yên, có kích thước nhỏ hơn 10 mm. Chúng thường được phát hiện tình cờ hoặc khi có các rối loạn nội tiết như tăng prolactin, bệnh Cushing hoặc to đầu chi. Trên cộng hưởng từ (MRI), đặc biệt là hình ảnh T1 sau tiêm thuốc cản quang, u tuyến yên nhỏ thường hiện diện như các tổn thương tăng quang kém trong nhu mô tuyến yên, với tốc độ tăng quang chậm hơn mô tuyến yên bình thường xung quanh. Mô tuyến yên bình thường tăng quang nhanh nhờ hệ tuần hoàn cửa, trong khi u tuyến tăng quang chậm hơn. Chẩn đoán chính xác đòi hỏi hình ảnh độ phân giải cao và đối chiếu với lâm sàng cùng các xét nghiệm nội tiết. Hầu hết u tuyến yên nhỏ ổn định theo thời gian, nhưng một số có thể phát triển hoặc gây rối loạn hormone tiến triển, cần theo dõi hoặc điều trị.









