Thu, Apr 9
AI Trực tuyến
Series (3)
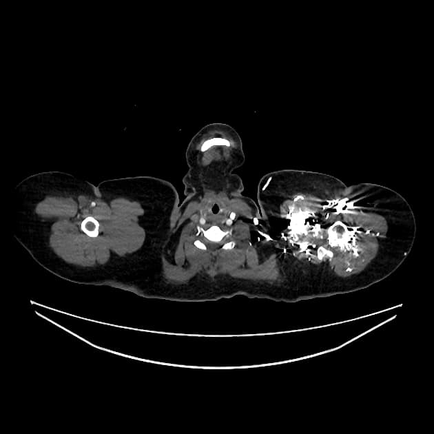
Oblique C+ arterial phase

CT•Oblique C+ arterial phase•1 Img
Ca bệnhCòn ống động mạch (patent ductus arteriosus)
Còn ống động mạch (patent ductus arteriosus)
Nguồn gốc
Dữ liệu bệnh nhân
Giới tínhMale
Bệnh sử lâm sàng
Đột quỵ. Rung nhĩ. Đau ngực. Siêu âm tim (cardiac US): giãn động mạch chủ lên. Cần thực hiện chụp CT để loại trừ phình tách động mạch chủ (aortic dissection).
Chẩn đoán & Phát hiện
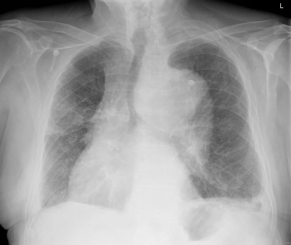
Chụp CT động mạch chủ (Aorta CT)
- Phình động mạch chủ lên (ascendant aorta aneurysm) >50 mm.
- Ống động mạch còn ống (patent ductus arteriosus), dạng kéo dài (elongated type), có hình ảnh thuốc cản quang đổ vào thân động mạch phổi giãn vừa (shunt trái sang phải - left to right shunt).
- Nhĩ trái giãn, kèm dày vách liên thuỳ và dày quanh phế quản - mạch máu, phù hợp với phù do tim nhẹ (mild cardiogenic edema).
DISCUSSION:
- Với kích thước phình động mạch chủ >50 mm, việc điều trị là cần thiết.
- Trong trường hợp này, không thấy hình ảnh (no evidence of) dị tật tim bẩm sinh đi kèm.
- Ống động mạch còn ống có thể dẫn đến tăng áp lực động mạch phổi (pulmonary hypertension).
- Điều trị có thể thực hiện bằng đóng ống qua đường nội mạch (endovascular closure) hoặc phẫu thuật thắt (surgical ligation).
Chẩn đoán
Ống động mạch còn ống (patent ductus arteriosus)
Chẩn đoán phân biệt
- 1.Phình tách động mạch chủ
- 2.Tăng huyết áp động mạch phổi tiên phát
- 3.Thông liên nhĩ
Điểm giảng dạy
- "Ống động mạch còn ống có thể tồn tại đến tuổi trưởng thành và dẫn đến các biến chứng như tăng áp lực động mạch phổi và suy tim."
- "Phình động mạch chủ lên lớn hơn 50 mm cần được can thiệp do nguy cơ vỡ hoặc tách cao."
- "Đóng ống qua đường nội mạch là phương pháp điều trị ít xâm lấn cho ống động mạch còn ống, đặc biệt ở người lớn."
Thảo luận
Ống động mạch còn ống (PDA) là một dị tật tim bẩm sinh khi ống động mạch không đóng lại sau sinh, gây shunt trái sang phải giữa động mạch chủ và động mạch phổi. Ở người lớn, PDA không được điều trị có thể dẫn đến quá tải thể tích tâm thất trái, tăng áp lực động mạch phổi và cuối cùng là hội chứng Eisenmenger. Trong trường hợp này, sự hiện diện của phình động mạch chủ lên >50 mm đòi hỏi can thiệp vì nguy cơ vỡ hoặc tách tăng đáng kể ở đường kính này. Mặc dù PDA thường đi kèm các dị tật tim bẩm sinh khác, trường hợp này không thấy dị tật liên quan. Quản lý PDA bao gồm đóng bằng coil nội mạch hoặc phẫu thuật thắt, cả hai đều hiệu quả trong việc ngăn ngừa biến chứng lâu dài. Theo dõi định kỳ và can thiệp kịp thời là rất quan trọng để ngăn ngừa tiến triển thành bệnh lý mạch phổi không hồi phục.
Ca bệnh liên quan

Marfan syndrome with ascending aortic aneurysm and Stanford A, DeBakey I aortic dissection

Patent ductus arteriosus closure device

Multiple congenital mediastinal vascular anomalies

Patent ductus arteriosus

Krichenko angiographic classification of patent ductus arteriosus (illustration)

Patent ductus arteriosus





