Series (5)
Axial C+ portal venous phase

Nhiều dị tật mạch máu trung thất bẩm sinh
Nguồn gốc
Dữ liệu bệnh nhân
Bệnh sử lâm sàng
Phát hiện tình cờ.
Chẩn đoán & Phát hiện
-
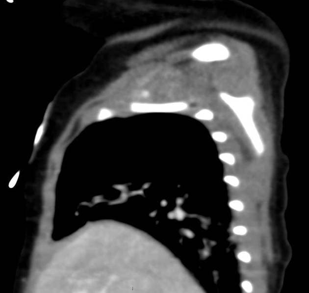
Tái lập tĩnh mạch chủ trên (superior vena cava - SVC) với tĩnh mạch chủ trên phải (right SVC) có vị trí bình thường nhưng đường kính nhỏ hơn bình thường.
-
Tĩnh mạch chủ trên trái (left SVC) đổ vào tâm nhĩ phải thông qua xoang vành (coronary sinus).
-
Có sự thông nối giữa tĩnh mạch chủ trên trái và phải qua một tĩnh mạch nhỏ nằm ở phía trước, tương ứng với tĩnh mạch cánh tay đầu trái (left brachiocephalic vein), nằm trước động mạch chủ (aorta).
-
Tĩnh mạch phổi trên trái và tĩnh mạch phổi dưới trái đổ vào tĩnh mạch chủ trên trái (left SVC) thay vì đổ vào tâm nhĩ trái, phù hợp với tình trạng hồi lưu bất thường một phần của tĩnh mạch phổi (partial anomalous pulmonary venous return - PAPVR).
-
Động mạch dưới đòn phải bất thường (aberrant right subclavian artery) xuất phát từ cung động mạch chủ trái đoạn xa và đi sang bên phải, đi qua phía sau thực quản (esophagus).
-
Ngay phía dưới vị trí này là hẹp eo động mạch chủ (coarctation of the aorta).
-
Có ống động mạch (ductus arteriosus) hoặc PDA nhỏ tại vị trí dây chằng động mạch (ligamentum arteriosum).
DISCUSSION:
Ca này thể hiện sự kết hợp hiếm gặp của nhiều dị tật mạch máu trung thất bẩm sinh. Sự hiện diện đồng thời của các dị tật này gợi ý một quá trình phát triển phôi thai phức tạp, ảnh hưởng đến cả hệ thống động mạch và tĩnh mạch.
-
Hẹp eo động mạch chủ thường đi kèm với van động mạch chủ hai lá (bicuspid aortic valve), các dị tật tim bẩm sinh khác và hội chứng Turner, có thể dẫn đến tăng huyết áp hệ thống thứ phát. Trong trường hợp này, hẹp eo nhẹ với gradient nhỏ, tâm thất trái bình thường và không có động mạch bàng hệ giãn to. Nghe tim thấy tiếng thổi tâm thu là biểu hiện điển hình.
-
Van động mạch chủ hai lá làm tăng nguy cơ hẹp van động mạch chủ (aortic stenosis) và có thể gây tiếng thổi tâm thu. Trong trường hợp này, hẹp van động mạch chủ hiện tại nhẹ và tâm thất trái bình thường.
-
PDA tồn tại cho thấy ống động mạch không đóng hoàn toàn, dẫn đến tình trạng shunt trái sang phải, làm tăng áp lực động mạch phổi. PDA thường được phát hiện khi nghe tim: chênh lệch áp lực cao trong suốt chu kỳ gây shunt, nghe thấy tiếng thổi kiểu "máy móc" (machinery murmur) rõ và có thể sờ thấy rung tâm thu (thrill) ở trẻ sơ sinh.
-
Hồi lưu bất thường một phần tĩnh mạch phổi (PAPVR) xảy ra khi một hoặc nhiều tĩnh mạch phổi không nối bình thường với tâm nhĩ trái, mà đổ vào hệ tuần hoàn tĩnh mạch hệ thống, tức là shunt trái sang phải. PAPVR thường ít triệu chứng; trong trường hợp này, gần một nửa thể tích tuần hoàn được tuần hoàn lại qua tim phải, làm tăng tiếng thổi do dòng chảy ở tim phải. Tổng kích thước các shunt sẽ định hướng điều trị tiếp theo, vì tăng áp động mạch phổi sẽ tiến triển theo tuổi.
-
Động mạch dưới đòn phải bất thường xảy ra do thoái hóa bất thường cung động mạch chủ phải thứ tư và tồn tại động mạch chủ lưng phải. Đây thường là phát hiện tình cờ, lành tính.
-
Tái lập tĩnh mạch chủ trên là do tĩnh mạch chủ đầu trái (left cardinal vein) không thoái hóa trong quá trình phát triển bào thai.
Case co-author: Chuyên gia tư vấn Trần Quyết Thắng, Bệnh viện Quân y 175, Việt Nam.
Chẩn đoán
Nhiều dị tật mạch máu trung thất bẩm sinh (multiple congenital mediastinal vascular anomalies)
Chẩn đoán phân biệt
- 1.Hồi lưu tĩnh mạch phổi bất thường toàn phần
- 2.Tĩnh mạch chủ trên gián đoạn với nối tiếp qua tĩnh mạch đơn
- 3.Cung động mạch chủ phải với động mạch dưới đòn trái bất thường
Điểm giảng dạy
- "Hồi lưu bất thường một phần tĩnh mạch phổi (PAPVR) xảy ra khi một hoặc nhiều tĩnh mạch phổi đổ vào hệ tĩnh mạch hệ thống thay vì tâm nhĩ trái, gây shunt trái sang phải và có thể dẫn đến tăng áp động mạch phổi."
- "Hẹp eo động mạch chủ là tình trạng thu hẹp lòng động mạch chủ, thường ở đoạn sau động mạch dưới đòn trái, liên quan đến van động mạch chủ hai lá và tăng huyết áp hệ thống."
- "Ống động mạch tồn tại (PDA) gây shunt liên tục từ trái sang phải, tạo ra tiếng thổi kiểu 'máy móc' đặc trưng và làm tăng lưu lượng máu đến phổi."






