Series (17)
Frontal

Thủng đại tràng do bệnh Crohn
Nguồn gốc
Dữ liệu bệnh nhân
Bệnh sử lâm sàng
Bệnh nhân có tiền sử bệnh Crohn đến khoa cấp cứu với triệu chứng đau bụng dưới và bụng cứng.
Chẩn đoán & Phát hiện
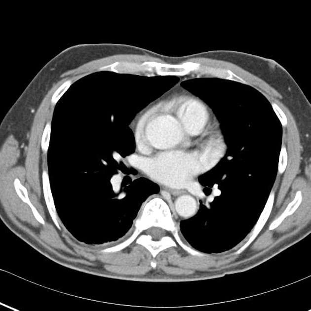
Chụp X-quang bụng và ngực tư thế đứng thấy có khí tự do dưới cơ hoành, gợi ý liềm hơi dưới hoành (pneumoperitoneum).
Các quai ruột vùng hạ vị phải mờ không rõ nét, thành ruột dày, phù nề và không đều. Có ổ dịch vùng chậu chứa khí và chất giống phân (cắt ngang, mặt đứng dọc). Ngoài ra, thấy dịch tự do trong ổ bụng có tỷ trọng hơi tăng nhẹ và hình ảnh liềm hơi dưới hoành (pneumoperitoneum) trên cửa sổ nhu mô phổi.
Thành đoạn đại tràng xuống đoạn cuối và đại tràng sigma dày lên.
Tăng mạch máu và tăng sinh nhẹ mô mỡ xơ ở mạc treo (mesentery).
Các quai ruột non chứa dịch giãn nhẹ.
Dày thành phúc mạc và tăng quang thành phúc mạc, phù hợp với viêm phúc mạc (peritonitis).
Nhiều hạch bạch huyết mạc treo (mesenteric lymph nodes) phì đại.
Hình ảnh trong mổ thấy manh tràng bị thủng.
Cắt bỏ đoạn ruột hồi - manh tràng.
Hình ảnh do bác sĩ Wael Eisa, bác sĩ tư vấn phẫu thuật, Bệnh viện Đa khoa Vua Faisal, Taif, Vương quốc Ả Rập Xê Út cung cấp.
Xét nghiệm giải phẫu bệnh học của đoạn hồi - manh tràng cắt bỏ nghiêng về chẩn đoán bệnh Crohn (Crohn's disease).
6 tháng trước
Thấy hình ảnh dày thành vòng quanh và lan tỏa ở manh tràng, ruột thừa và hồi tràng cuối, kèm theo hình ảnh dải mỡ xung quanh và các hạch bạch huyết to, gợi ý quá trình viêm. Ngoài ra, thấy hình ảnh giảm tăng quang thành ruột nhẹ và vùng dịch kế cận, gợi ý khả năng thủng ruột sắp xảy ra hoặc thủng đã được bịt kín.
Dày thành vòng quanh đoạn đại tràng xuống và đại tràng sigma liền kề, kèm theo hiện tượng mỡ xơ hóa lan tỏa xung quanh tổn thương.
Dày thành đoạn trực tràng - sigma (cắt ngang, mặt đứng dọc) và hình ảnh nhẹ của dải mỡ viêm.
Xét nghiệm giải phẫu bệnh học từ mẫu sinh thiết nội soi tại thời điểm đầu cách đây 6 tháng gợi ý bệnh viêm ruột (inflammatory bowel disease - IBD).
DISCUSSION:
Áp xe trong ổ bụng (intra-abdominal abscesses - IAAs) xảy ra ở tới 10% bệnh nhân bệnh Crohn, thường do thủng ruột hoặc rò, và hay gặp nhất ở vùng hồi tràng cuối. Trên CT, các áp xe này hiện diện như các ổ dịch bắt thuốc viền (rim-enhancing) kèm theo hình ảnh dải mỡ viêm, nhưng có thể bị nhầm với các quai ruột. Áp xe tái phát thường gặp, do đó việc đánh giá hình ảnh cẩn thận là rất quan trọng, đặc biệt ở những bệnh nhân có rò hoặc tiền sử áp xe trước đó.
Bệnh nhân từng đến khám cách đây 6 tháng với triệu chứng táo bón mạn tính và chảy máu trực tràng. Chụp CT cho thấy hình ảnh dày thành ruột, chủ yếu ở vùng hồi - manh tràng và trực tràng - sigma. Bệnh nhân được nhập viện để đánh giá thêm nhằm loại trừ bệnh viêm ruột (inflammatory bowel disease - IBD). Nội soi đại tràng thực hiện được đến 20 cm tính từ rìa hậu môn, phát hiện nhiều loét aphthous, viêm từng mảng kèm loét và dễ chảy máu (điểm Mayo: 3). Phát hiện một đoạn hẹp nặng khiến không thể đưa ống nội soi vượt qua. Nhiều mẫu sinh thiết được lấy để xét nghiệm giải phẫu bệnh học, kết quả khẳng định chẩn đoán bệnh viêm ruột, cụ thể là bệnh Crohn (Crohn’s disease).
Hiện tại, bệnh nhân đến khám với hội chứng bụng cấp tính (acute abdomen) do thủng ruột (bowel perforation), cần phẫu thuật cấp cứu cắt bỏ đoạn hồi - manh tràng. Xét nghiệm giải phẫu bệnh học trên mẫu mô cắt bỏ xác nhận chẩn đoán bệnh viêm ruột, cụ thể là bệnh Crohn (Crohn’s disease).
Chẩn đoán
Thủng đại tràng do bệnh Crohn (Colonic perforation in Crohn disease)
Chẩn đoán phân biệt
- 1.Thủng do bệnh diverticulitis
- 2.Thủng ruột thừa kèm áp xe
- 3.Viêm phúc mạc nguyên phát
Điểm giảng dạy
- "Liềm hơi dưới hoành trên X-quang ngực hoặc bụng tư thế đứng là dấu hiệu quan trọng của thủng tiêu hóa."
- "Ở bệnh Crohn, tình trạng viêm xuyên thành ruột làm suy yếu thành ruột, dễ dẫn đến thủng, ngay cả khi không có hẹp."
- "Các dấu hiệu mạn tính như mỡ lan tỏa, tăng sinh mô mỡ xơ và hạch mạc treo to trên hình ảnh học hỗ trợ chẩn đoán bệnh Crohn."








